Une patiente consulte car elle ne supporte plus le port de sa prothèse amovible mandibulaire, pourtant suffisamment stable grâce à une belle épaisseur du rempart vestibulaire (fig. 1). Elle est âgée de 76 ans, non fumeuse, et ne présente aucune contre-indication à une chirurgie implantaire.
La pose de 8 implants avec réalisation d’une mise en charge immédiate lui est proposée.
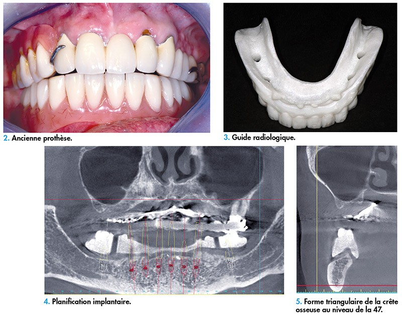
Phase préparatoire
Avant d’envisager la planification implantaire, il est impératif de valider le projet le projet prothétique qui va notamment devoir répondre aux souhaits esthétiques de la patiente. Dans ce cas, l’ancienne prothèse n’étant pas conforme à ses doléances (fig. 2), il est nécessaire de réaliser un nouvel appareil mandibulaire correspondant à ses attentes.
De ce nouveau montage découle une gouttière radiologique qui est la copie conforme de la prothèse d’usage (fig. 3). La planification est ensuite réalisée (fig. 4). Ici, il a été décidé d’anguler 35 et 45 en raison de la position des foramens mentonniers.
Il est facile d’estimer l’épaisseur gingivale présente et ainsi de choisir la hauteur du col du futur implant au niveau du secteur antérieur. En revanche, dans les zones postérieures, la forme de la crête osseuse nécessite la réalisation d’une plastie osseuse (fig. 5). L’incertitude d’obtenir une stabilité primaire suffisante dans le secteur postérieur nous conduit à préconiser une pose d’implants Axiom BL (implant sous-crestal ou juxta-osseux – Bone Level, Anthogyr) en deux temps opératoires. Dans les autres secteurs, des implants Axiom TL (implant transgingival – Tissue Level, Anthogyr) seront choisis, en raison de leur simplicité d’utilisation dans la gestion prothétique.
Réalisation de l’intervention
Lors de l’intervention, le guide chirurgical est essayé (fig. 6 et 7). En raison du volume alvéolaire résiduel, sa stabilité est parfaite. Si…
