Un patient de 61 ans se présente en consultation pour un contrôle de routine. L’examen endobuccal montre une volumineuse restauration en composite en distal de 45.
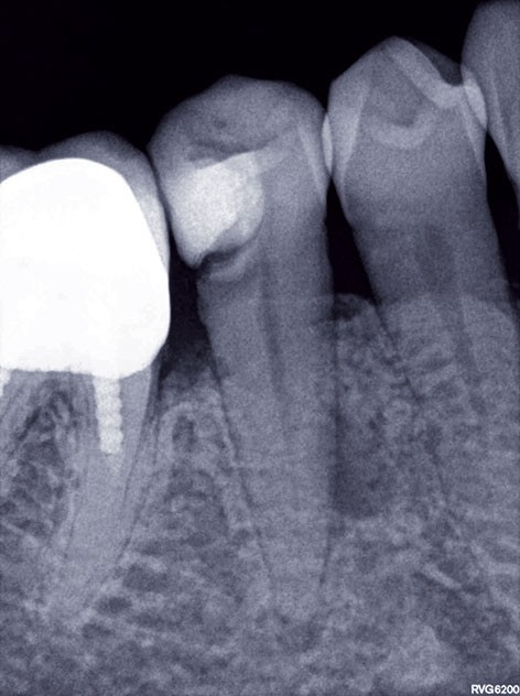
1. Une radiographie rétro-alvéolaire centrée sur 45 met en évidence une reprise de carie sous la restauration en composite et une lésion inflammatoire périradiculaire d’origine endodontique (LIPOE). Le test de vitalité est négatif.
2. Une empreinte mandibulaire est réalisée à l’aide de 3M™ Imprint™ 4 Penta™ Preliminary pour obtenir une gouttière qui servira à la réalisation de la future prothèse transitoire.
3, 4, 5. La restauration est déposée, les tissus carieux éliminés et la cavité d’accès aménagée avant la réalisation du traitement endodontique. La radiographie postopératoire permet de visualiser l’obturation du canal latéral en regard de la LIPOE.
3, 4, 5. La restauration est déposée, les tissus carieux éliminés et la cavité d’accès aménagée avant la réalisation du traitement endodontique. La radiographie postopératoire permet de visualiser l’obturation du canal latéral en regard de la LIPOE.
3, 4, 5. La restauration est déposée, les tissus carieux éliminés et la cavité d’accès aménagée avant la réalisation du traitement endodontique. La radiographie postopératoire permet de visualiser l’obturation du canal latéral en regard de la LIPOE.
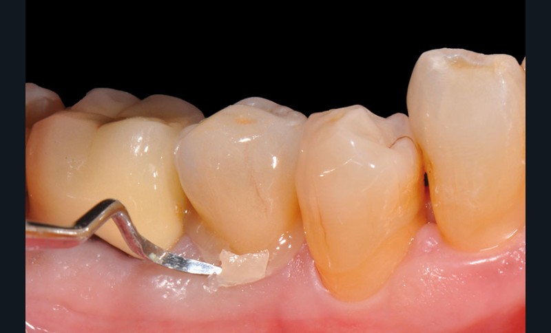
6. Après réalisation de la préparation périphérique externe, la hauteur, la largeur et l’épaisseur des parois résiduelles sont évaluées, ce qui permet de poser l’indication d’une RMIPP (reconstitution par matériaux insérés en phase plastique).
7, 8, 9. L’obturation canalaire à la gutta percha est partiellement éliminée avec le foret universel et le canal radiculaire est mis en forme avec le foret de calibrage 3M™ RelyX™ Fiber Post de 1,1 mm de diamètre. L’élimination totale de la gutta percha sur la longueur désirée est vérifiée à l’aide d’une radiographie rétro-alvéolaire. Un insert à ultrason est utilisé, son action mécanique permettant de finir de nettoyer le système canalaire et d’éliminer les résidus de ciment endodontique pouvant encore être présents.
7, 8, 9. L’obturation canalaire à la gutta percha est partiellement éliminée avec le foret universel et le canal radiculaire est mis en forme avec le foret de calibrage 3M™ RelyX™ Fiber Post de 1,1 mm de diamètre. L’élimination totale de la gutta percha sur la longueur désirée est vérifiée à l’aide d’une radiographie rétro-alvéolaire. Un insert à ultrason est utilisé, son action mécanique permettant de finir de nettoyer le système canalaire et d’éliminer les résidus de ciment endodontique pouvant encore être présents.
7, 8, 9. L’obturation canalaire à la gutta percha est partiellement éliminée avec le foret universel et le canal radiculaire est mis en forme avec le foret de calibrage 3M™ RelyX™ Fiber Post de 1,1 mm de diamètre. L’élimination totale de la gutta percha sur la longueur désirée est vérifiée à l’aide d’une radiographie rétro-alvéolaire. Un insert à ultrason est utilisé, son action mécanique permettant de finir de nettoyer le système canalaire et d’éliminer les résidus de ciment endodontique pouvant encore être présents.
10, 11, 12. Un tenon 3M™ RelyX™ Fiber Post 3D de diamètre de 1,1 mm est essayé et la longueur appropriée est déterminée grâce à l’anneau de couleur. Le tenon est coupé à la bonne longueur en extra-oral à l’aide d’un disque diamanté placé perpendiculairement avant d’être nettoyé à l’alcool puis séché à l’air.
10, 11, 12. Un tenon 3M™ RelyX™ Fiber Post 3D de diamètre de 1,1 mm est essayé et la longueur appropriée est déterminée grâce à l’anneau de couleur. Le tenon est coupé à la bonne longueur en extra-oral à l’aide d’un disque diamanté placé perpendiculairement avant d’être nettoyé à l’alcool puis séché à l’air.
10, 11, 12. Un tenon 3M™ RelyX™ Fiber Post 3D de diamètre de 1,1 mm est essayé et la longueur appropriée est déterminée grâce à l’anneau de couleur. Le tenon est coupé à la bonne longueur en extra-oral à l’aide d’un disque diamanté placé perpendiculairement avant d’être nettoyé à l’alcool puis séché à l’air.
13, 14. Le canal radiculaire est nettoyé à l’aide de chlorhexidine à 2% et soigneusement rincé à l’eau avant d’être séché avec des pointes de papier.
13, 14. Le canal radiculaire est nettoyé à l’aide de chlorhexidine à 2% et soigneusement rincé à l’eau avant d’être séché avec des pointes de papier.
15, 16. Après préparation de la seringue 3M™ RelyX™ Unicem 2 Automix avec l’embout endo, le produit est appliqué dans le canal radiculaire.
15, 16. Après préparation de la seringue 3M™ RelyX™ Unicem 2 Automix avec l’embout endo, le produit est appliqué dans le canal radiculaire.
17, 18, 19. Le tenon 3M™ RelyX™ Fiber Post 3D est lentement inséré puis les excès sont éliminés à l’aide d’une microbrush. L’initiation de la polymérisation duale de 3M™ RelyX™ Unicem 2 se fait par photopolymérisation au travers du tenon translucide.
17, 18, 19. Le tenon 3M™ RelyX™ Fiber Post 3D est lentement inséré puis les excès sont éliminés à l’aide d’une microbrush. L’initiation de la polymérisation duale de 3M™ RelyX™ Unicem 2 se fait par photopolymérisation au travers du tenon translucide.
17, 18, 19. Le tenon 3M™ RelyX™ Fiber Post 3D est lentement inséré puis les excès sont éliminés à l’aide d’une microbrush. L’initiation de la polymérisation duale de 3M™ RelyX™ Unicem 2 se fait par photopolymérisation au travers du tenon translucide.
20. De l’adhésif 3M™ Scotchbond™ Universal est appliqué sur le tenon et la structure dentaire, avant photopolymérisation.
21. Du composite 3M™ Filtek™ Bulk Fill Restauration postérieure en capsule est appliqué à l’aide d’un pistolet pour la réalisation du moignon.
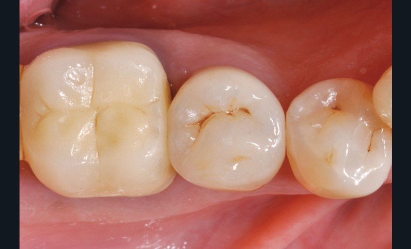
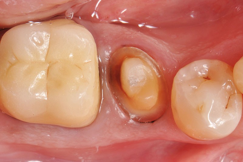
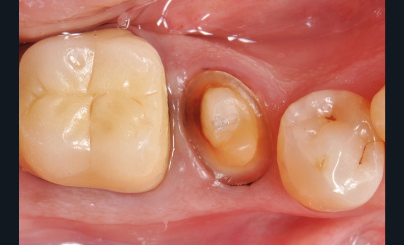
22, 23, 24. Un deuxième incrément de composite est appliqué pour terminer le moignon avant polymérisation finale. La préparation périphérique est terminée.
22, 23, 24. Un deuxième incrément de composite est appliqué pour terminer le moignon avant polymérisation finale. La préparation périphérique est terminée.
22, 23, 24. Un deuxième incrément de composite est appliqué pour terminer le moignon avant polymérisation finale. La préparation périphérique est terminée.
25. Un contrôle radiographique permet de s’assurer de l’absence de bulle au niveau de la RMIPP.
26. De la résine 3M™ Protemp™ 4 est injectée dans la gouttière en vue de la réalisation de la couronne transitoire.
27, 28, 29. La couronne transitoire est pré-polie avec la roue spirale 3M™ Sof-lex™ beige puis polie avec la roue spirale diamantée 3M™ Sof-lex™ rose.
27, 28, 29. La couronne transitoire est pré-polie avec la roue spirale 3M™ Sof-lex™ beige puis polie avec la roue spirale diamantée 3M™ Sof-lex™ rose.
27, 28, 29. La couronne transitoire est pré-polie avec la roue spirale 3M™ Sof-lex™ beige puis polie avec la roue spirale diamantée 3M™ Sof-lex™ rose.
30, 31. Après avoir pris une empreinte de la préparation, une couronne céramo-céramique est réalisée au laboratoire. Le traitement de surface de l’intrados en disilicate de lithium est effectué successivement à l’aide d’acide fluorhydrique, d’acide orthophosphorique et de silane. Le ciment 3M™ RelyX™ Unicem 2 Automix est alors mis en place dans l’intrados.
30, 31. Après avoir pris une empreinte de la préparation, une couronne céramo-céramique est réalisée au laboratoire. Le traitement de surface de l’intrados en disilicate de lithium est effectué successivement à l’aide d’acide fluorhydrique, d’acide orthophosphorique et de silane. Le ciment 3M™ RelyX™ Unicem 2 Automix est alors mis en place dans l’intrados.
32, 33. Une polymérisation flash est réalisée afin de rigidifier les excès de colle apparus lors de l’insertion de la couronne sur la préparation. Les excès solidifiés sont ensuite retirés.
32, 33. Une polymérisation flash est réalisée afin de rigidifier les excès de colle apparus lors de l’insertion de la couronne sur la préparation. Les excès solidifiés sont ensuite retirés.
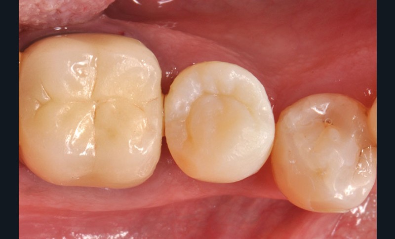
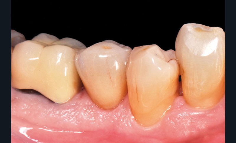
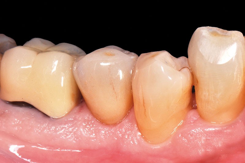
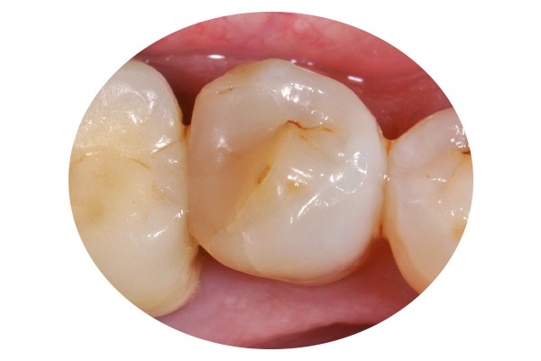
34, 35. Vues vestibulaire et occlusale de la prothèse d’usage collée sur 45 (Laboratoire du Sud-Ouest).
34, 35. Vues vestibulaire et occlusale de la prothèse d’usage collée sur 45 (Laboratoire du Sud-Ouest).
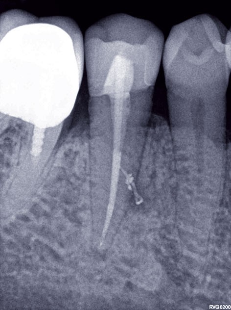
36. Radiographie postopératoire objectivant l’élimination totale des excès de colle.
Cet article est réservé aux abonnés. Pour lire la suite :
Vous êtes abonné.e ?
Connectez-vous
Pas encore abonné.e ?
Abonnez-vous
Abonnez-vous pour recevoir la revue et bénéficier des services en ligne et des avantages abonnés.