Étiopathologies
Les érosions dentaires sont une atteinte des tissus dentaires sans implication bactérienne et se caractérisent, comme dans le cas des lésions abrasives, par l’absence de tissu pathologique.
Elles sont dues à des expositions quotidiennes à de l’acidité d’origine exogène (alimentation, milieux professionnels exposés à des acides inorganiques) ou endogène (reflux gastro-œsophagien, anorexie, boulimie) [1-3].
Une atteinte unilatérale doit orienter le diagnostic vers une origine acide endogène, notamment des reflux gastro-œsophagiens durant le sommeil, le patient étant allongé sur son côté préférentiel pendant la nuit.
Des lésions localisées sur les faces palatines ou linguales des dents antérieures sont souvent signes cliniques d’un trouble du comportement alimentaire.
Enfin, la présence de lésions généralisées sur les faces vestibulaires ou occlusales caractérise un apport acide exogène.
Les lésions érosives s’observent de plus en plus fréquemment chez les patients, en raison, d’une part, du style de vie moderne et, d’autre part, du fait de l’accroissement de la durée de vie de la population [2, 3, 6]. Il est nécessaire de les identifier tôt car elles augmentent le risque de développer des lésions carieuses et des pathologies fonctionnelles [2-4, 8].
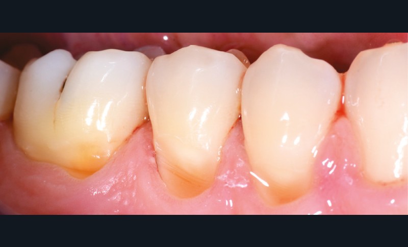
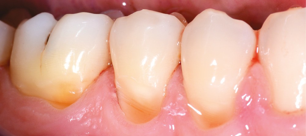
La distinction entre les lésions d’origine traumatique et acide peut être difficile car elles peuvent se trouver associées, et les facteurs étiologiques peuvent se révéler difficiles, voire impossibles à éliminer (anorexie ou boulimie) [1-3] (fig. 1).
Caractéristiques cliniques et diagnostic
Les lésions érosives précoces se caractérisent par une perte d’émail sans symptomatologie (sauf dans le cas des lésions cervicales d’usure pouvant entraîner des hypersensibilités). Ces pertes sont aisément identifiables et apparaissent comme de petites cupules dans l’émail ou de très petites plages ponctuelles…
