Ne pas se fier aux apparences

  • Par
  • Publié le . Paru dans L'Information Dentaire n°7 - 24 février 2021 (page 23-24)
Information dentaire
– Une patiente de 66 ans est adressée par son chirurgien-dentiste traitant pour avis et prise en charge d’une tuméfaction gingivale maxillaire droite de découverte fortuite, lors d’un examen dentaire de routine.
– La patiente n’indique aucune pathologie systémique.
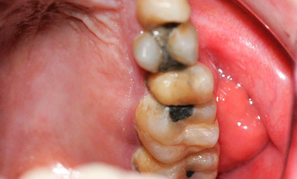
– On observe une tuméfaction gingivale comblant le fond du vestibule supérieur en regard de la 26, recouverte d’une muqueuse d’aspect rosée relativement homogène avec la muqueuse jugale.
– Une petite ulcération est néanmoins observée dans le fond du vestibule sur la partie antérieure de la tuméfaction.
– La palpation de la lésion est indolore, non hémorragique et de consistance molle.
– Il n’est pas retrouvé d’adénopathies cervico-faciales.

1. Quel(s) diagnostic(s) doit-on évoquer en première intention ?

a. Epulis

b. Abcès parodontal

c. Fibrome

d. Abcès d’origine endodontique

2. Quels sont les examens complémentaires nécessaires en première intention ?

a. Radiographie panoramique et rétroalvéolaire

b. IRM

c. Examen CBCT

d. NFS

3. Quel est le geste thérapeutique à réaliser ?

a. Détartrage puis réévaluation à trois mois

b. Exérèse de la lésion

c. Traitement canalaire de la 26

d. Abstention thérapeutique

4. Quelle attitude faut-il adopter après le résultat anatomopathologique ?

a. Avulsion de 26 et reprise d’exérèse

b. Exérèse en zone saine de la lésion

c. Résection non interruptrice de l’hémi-maxillaire gauche

d. Adresser rapidement le patient vers un médecin gastro-entérologue/oncologue

Réponses 1 : a ; 2 : a ; 3 : b ; 4 : d

Discussion

Le cas clinique décrit permet de poser un diagnostic de métastase buccale d’un adénocarcinome du colon, cancer primitif initialement méconnu et retrouvé lors d’une coloscopie réalisée secondairement.

Ces métastases oro-faciales constituent un défi diagnostique du fait de leur rareté (environ 1 % de toutes les tumeurs orales malignes), de leur aspect parfois bénin et de la très faible spécificité des signes cliniques, souvent évocateurs de processus inflammatoire ou réactionnel (épulis, granulome a cellule géante).

La découverte de métastases dans la cavité buccale permet de rechercher le cancer primitif, méconnu initialement dans 25 à 50 % des cas.

Toutes les lésions cancéreuses peuvent disséminer, même si certaines sont plus fréquentes avec, par ordre décroissant, les cancers du poumon (21 %), du sein (10 %), du rein (10 %) ou colorectal (9 %).

En termes de fréquence, la mandibule est la localisation la plus commune des métastases orales (35 %), caractérisées par une tuméfaction osseuse volontiers douloureuse et s’accompagnant fréquemment de…

Cet article est réservé aux abonnés.
Pour lire la suite :

Vous êtes abonné.e ? Connectez-vous
Mot de passe
oublié ?

Vous pouvez également :

Acheter l'article En version numérique
Acheter le numéro À l'unité

Thèmes abordés