CAS 1
Motif de la consultation
Patiente de 51 ans sans antécédent médical et chirurgical adressée par son parodontiste pour une lésion gingivale d’apparition récente.
Histoire de la maladie
Patiente suivie par un parodontiste qui a réalisé un surfaçage gingival. À la fin des soins est survenu un nodule gingival déformant la lèvre supérieure.
Interrogatoire
Il révélait l’apparition de la lésion une quinzaine de jours avant la consultation. La patiente alléguait des douleurs au niveau des membres et une asthénie depuis quelques semaines.
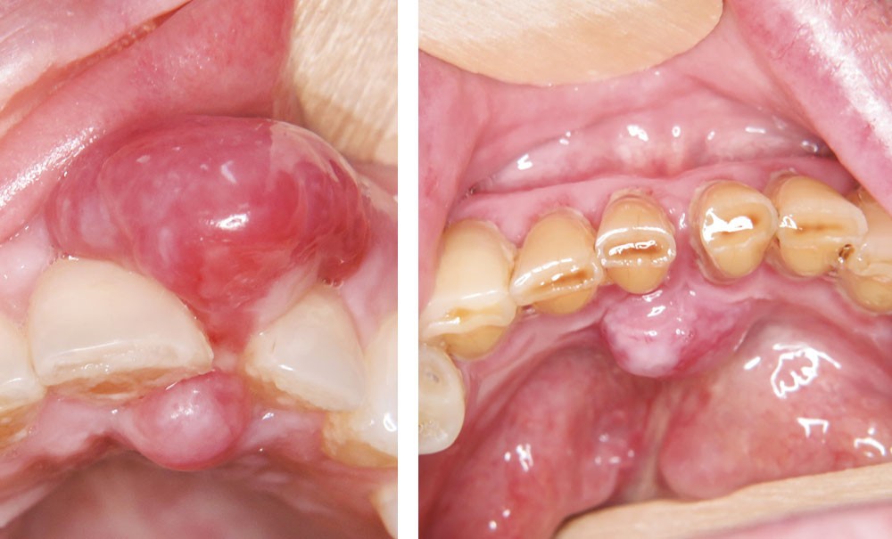
Examen clinique
On observait un nodule gingival en bissac d’environ 1,5 cm de diamètre développé entre 21 et 22. Le nodule avait un aspect érythémateux violine et était par place ulcéré. La palpation révélait une lésion de consistance ferme. Le sondage objectivait une poche de 10 mm en vestibulaire de 22.
Examen paraclinique
Une exérèse de la lésion a été réalisée. L’examen anatomopathologique a révélé un épithélium malpighien acanthosique kératinisant. Le chorion était entièrement tumoral, composé de petits plasmocytes matures. L’étude immunohistochimique montrait une positivité du CD 138 assortie d’une monotypie de type Kappa. L’index de prolifération était estimé à 40 %. L’étude génétique a montré un réarrangement monoclonal du gène IGH des chaînes lourdes des immunoglobulines
Synthèse
L’examen anatomopathologique a conclu à un plasmocytome. Les plasmocytomes peuvent être isolés ou faire partie du tableau clinique du myélome multiple. Dans le cas présenté, un myélogramme et une électrophorèse des protéines sériques ont été réalisés. Ils ont révélé une gammapathie monoclonale à IgG et une prolifération de plasmocytes monoclonaux dans la moelle osseuse. Le bilan d’imagerie a confirmé la présence de lésions osseuses à l’origine des douleurs. L’ensemble de ces examens…
