Depuis les débuts de la rubrique, les auteurs ont illustré chaque stade et grade de la classification des maladies parodontales de Chicago 2017 jusqu’à la parodontite de stade III grade C.
Malgré plusieurs mois de recherche et la sollicitation du Collège national des enseignants de parodontologie, ils n’ont pas diagnostiqué de parodontite de stade IV grade A. En effet, les caractéristiques du stade IV ne sont pas compatibles avec un grade A.
Ils ont également questionné à ce sujet le professeur David Herrera, ayant participé à l’élaboration de la classification de Chicago 2017, qui leur a confirmé cette incompatibilité.
Ainsi, la rubrique ne présentera pas de parodontite stade IV grade A.
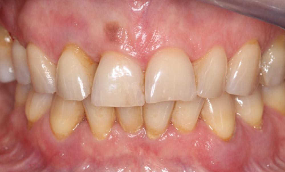
Qu’est-ce qu’une parodontite stade IV grade B selon Chicago 2017 ?
Il s’agit d’une parodontite sévère à progression modérée avec perte potentielle de toute la denture [1].
Les outils à notre disposition
- Sonde parodontale
- Radiographie rétro-alvéolaire avec angulateur de Rhin.
Notions abordées
- Le stade est basé sur la sévérité et la complexité de prise en charge globale, l’étendue de la maladie (localisée ou généralisée si 30 % ou plus des dents sont atteintes) et sa distribution (incisive, prémolaire et/ou molaire).
- Le grade fournit des informations sur le risque de progression de la maladie, les aspects biologiques, le pronostic du traitement et les effets sur la santé générale.
utilisation de ces notions
Le stade IV est caractérisé par :
- une perte d’attache clinique (CAL)* interdentaire (dans le site le plus atteint et sur au moins 2 dents non adjacentes) ≥ 5 mm ;
- une perte osseuse radiographique** s’étendant jusqu’au tiers moyen ou apical de la racine ;
- un nombre de dents perdues pour raison parodontale ≥ 5 ;
- une profondeur de poche ≥ 6 mm ;
- une alvéolyse verticale ≥ 3 mm ;
- la présence de lésions…

