Nouvelle classification… et gingivite

  • Par
  • Publié le . Paru dans L'Information Dentaire n°24 - 17 juin 2020 (page 22-23)

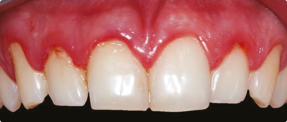
1. Patient de 24 ans en bonne santé, sans médication et sans antécédent de parodontite, présentant un érythème et un œdème gingival.. L’examen de sondage ne révèle aucune PS > 3 mm, le BOP est de 47 %. Il s’agit d’une gingivite généralisée. Le PI est de 53 %, ce qui confirme l’étiologie bactérienne.

Information dentaire
La classification d’Armitage [1], usitée jusqu’à peu, définissait la gingivite de façon complexe, incluant sous le terme « maladies gingivales » différentes étiologies faisant intervenir des composantes de prédisposition et de modification. Chicago 2017 [2] simplifie cette définition en créant deux catégories distinctes de gingivites : les gingivites induites par le biofilm et les maladies gingivales non induites par le biofilm. Le but de cet article est de définir les différentes situations cliniques des gingivites induites par le biofilm.

Qu’est-ce que la gingivite induite par le biofilm selon Chicago 2017 ?

Il s’agit d’une lésion inflammatoire résultant d’interactions entre le biofilm et la réponse immuno-inflammatoire de l’hôte, qui reste contenue dans la gencive marginale et ne s’étend pas à l’attache parodontale. Elle est réversible en réduisant le niveau de plaque à un niveau compatible avec la santé parodontale [3]. Pour les patients avec antécédents de parodontite, on préférera le terme d’inflammation gingivale.

La gingivite induite par le biofilm se divise en trois catégories :

  •  associée au biofilm uniquement ;
  •  modifiée par des facteurs de risques systémiques ou locaux ;
  • modifiée par la prise de médicaments.

Les outils à notre disposition

Seule la sonde parodontale est indispensable ! Encore mieux, une sonde parodontale à pression constante.

Notions abordées

L’anamnèse médicale.

  • L’anamnèse parodontale.
  • L’examen clinique visuel.
  • La profondeur de sondage (PS).
  • L’indice de saignement au sondage (BOP = Bleeding On Probing).

Utilisation de ces notions

Le diagnostic de la gingivite est un diagnostic clinique.

  • L’anamnèse médicale permet la recherche des facteurs de risques systémiques [3] : – tabagisme ; – hyperglycémie ; – nutrition (carence sévère en vitamine C) ; – médication ; – niveau élevé d’hormones stéroïdiennes ; – troubles hématologiques.
  • L’anamnèse parodontale (« Avez-vous déjà eu un traitement ? ») aide à déterminer si le patient a un antécédent de parodontite. Si tel est le cas, selon le degré d’inflammation, il sera considéré comme [3] : – patient parodontal contrôlé (cas de santé parodontale) ; – patient parodontal en rémission (cas d’inflammation gingivale) ; – patient parodontal non contrôlé (cas instable de parodontite récurrente).
  • L’examen clinique visuel permet de rechercher les signes cliniques de l’inflammation. Il s’agit d’érythème…

Cet article est réservé aux abonnés.
Pour lire la suite :

Vous êtes abonné.e ? Connectez-vous
Mot de passe
oublié ?

Vous pouvez également :

Acheter l'article En version numérique
Acheter le numéro À l'unité

Thèmes abordés

Sur le même sujet

Parodontologie

Article réservé à nos abonnés De la muco-esthétique à la muco qui sauve les dents

Le concept PASS au cœur de l’innovation parodontale La chirurgie plastique parodontale a connu une évolution notable, alliant avancées cliniques et technologiques...
Parodontologie

Article réservé à nos abonnés Séance SFPIO – Quelles sont les bonnes pratiques en parodontologie en 2024 ?

Responsable scientifique : Caroline Fouque Intervenants : Damien FEUILLET, Hélène RANGé, Nicolas BLANC-SYLVESTRE La parodontologie au croisement des disciplines Toutes sévérités confondues, les...