Qu’est-ce qu’une parodontite stade I grade A selon Chicago 2017 ?
Il s’agit d’une parodontite débutante à progression lente [1].
Les outils à notre disposition
Sonde parodontale.
Radiographie rétro-alvéolaire avec angulateur de Rhin.
Notions abordées
Le stade est basé sur la sévérité et la complexité de prise en charge globale, l’étendue de la maladie (localisée ou généralisée si 30 % ou plus des dents sont atteintes) et sa distribution (incisive, prémolaire et/ou molaire).
Le grade fournit des informations sur le risque de progression de la maladie, les aspects biologiques, le pronostic du traitement et les effets sur la santé générale.
Utilisation de ces notions
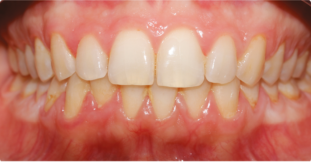
Le stade I est caractérisé par :
- une perte d’attache clinique (CAL)* interdentaire (dans le site le plus atteint et sur au moins 2 dents non adjacentes) de 1 à 2 mm ;
- une perte osseuse radiographique** ne dépassant pas 15 % du support osseux initial et essentiellement horizontale ;
- l’absence d’une dent perdue pour raison parodontale ;
- une profondeur de sondage ≤ 4 mm ;
- l’absence d’atteinte de furcation de classe II ou III ;
- l’absence de besoin de réhabilitation complexe.
- Le saignement au sondage (BoP) est ≥ 10 %.
- Le grade A est défini par :
- l’absence de progression de la parodontite en 5 ans ;
- un ratio pourcentage d’alvéolyse/âge*** ne dépassant pas 0,25 ;
- une quantité de plaque bactérienne abondante par rapport au faible niveau de destruction du parodonte.
Les facteurs de risque impliqués dans la progression de la parodontite, comme le tabac et le diabète, modifient le grade de la maladie. Concernant le grade A, le patient est non fumeur et n’est pas diabétique.
Applications cliniques
Une patiente, âgée de 28 ans, se présente en consultation pour des saignements de gencive au brossage et des gonflements dans les secteurs postérieurs.

