Qu’est-ce qu’une parodontite stade III grade A selon la classification de Chicago 2017 ?
Il s’agit d’une parodontie sévère à progression lente [1].
Les outils à notre disposition
- Sonde parodontale.
- Radiographie rétro-alvéolaire avec angulateur de Rhin.
Notions abordées
Le stade est basé sur la sévérité et la complexité de prise en charge globale, l’étendue de la maladie (localisée ou généralisée si 30 % ou plus des dents sont atteintes) et sa distribution (incisive, prémolaire et/ou molaire).
Le grade fournit des informations sur le risque de progression de la maladie, les aspects biologiques, le pronostic du traitement et les effets sur la santé générale.
Utilisation de ces notions [2]
Le stade III est caractérisée par :
- une perte d’attache clinique (CAL)* interdentaire (dans le site le plus atteint et sur ≥ 2 dents non adjacentes) ≥ 5 mm ;
- une perte osseuse radiographique** atteignant le tiers médian ou apical, dont une perte osseuse verticale ≥ 3 mm ou des défauts crestaux modérés ;
- un nombre de dents perdues pour raison parodontale ≤ 4 dents ;
- une profondeur de sondage ≥ 6 mm ;
- des atteintes de furcation de classe II ou III ;
- l’absence de besoin de réhabilitation complexe.
- Le saignement au sondage (BoP) est ≥ 10 %.
Le grade A est défini par :
- une absence de progression de la parodontite en 5 ans (s’il existe des données antérieures) ;
- un ratio pourcentage d’alvéolyse/âge*** < 0,25 ;
- une quantité de plaque bactérienne abondante par rapport au faible niveau de destruction du parodonte.
- Les facteurs de risque impliqués dans la progression de la parodontite, comme le tabac et le diabète, modifient le grade de la maladie. Concernant le grade A, le patient est non fumeur et n’est pas diabétique.
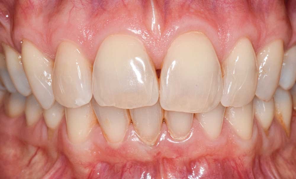
Exemple clinique
Une patiente âgée de 54 ans se présente en consultation pour des saignements…

