Qu’est-ce qu’une parodontite stade IV grade C selon Chicago 2017 ?
Il s’agit d’une parodontite sévère à progression rapide avec perte potentielle de toute la denture [1].
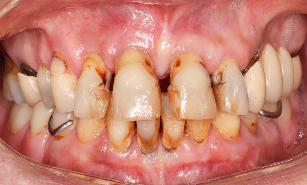
Les outils à notre disposition (récupérer les visuels dans la fiche précédente)
- Sonde parodontale
- Radiographie rétro-alvéolaire avec angulateur de Rhin
Notions abordées
- Le stade est basé sur la sévérité et la complexité de prise en charge globale, l’étendue de la maladie (localisée ou généralisée si 30 % ou plus des dents sont atteintes) et sa distribution (incisive, prémolaire et/ou molaire).
- Le grade fournit des informations sur le risque de progression de la maladie, les aspects biologiques, le pronostic du traitement et les effets sur la santé générale.
Utilisation de ces notions
Le stade IV est caractérisé par :
- une perte d’attache clinique (CAL)* interdentaire ≥ 5 mm (dans le site le plus atteint et sur au moins 2 dents non adjacentes) ;
- une perte osseuse radiographique** ≥ 50 % du support osseux initial avec une alvéolyse verticale ≥ 3 mm ;
- un nombre de dents perdues pour raison parodontale ≥ 5 ;
- une profondeur de poche ≥ 6 mm ;
- la présence de lésions inter-radiculaires de classe II ou III ;
- un défaut crestal sévère ;
- un besoin de réhabilitation complexe.
Le grade C est défini par :
- une perte d’attache ou une alvéolyse radiographique ≥ 2 mm sur les 5 dernières années ;
- un ratio pourcentage d’alvéolyse/âge*** supérieur à 1 ;
- une quantité de plaque bactérienne faible par rapport à la destruction parodontale.
Les facteurs de risque impliqués dans la progression de la parodontite comme le tabac et le diabète modifient le grade de la maladie. Concernant le grade C, le patient est fumeur avec une consommation supérieure ou égale à 10 cigarettes par jour et/ou diabétique…

