MOTS-CLÉS : Obésité, santé orale, parodontite, lésion carieuse
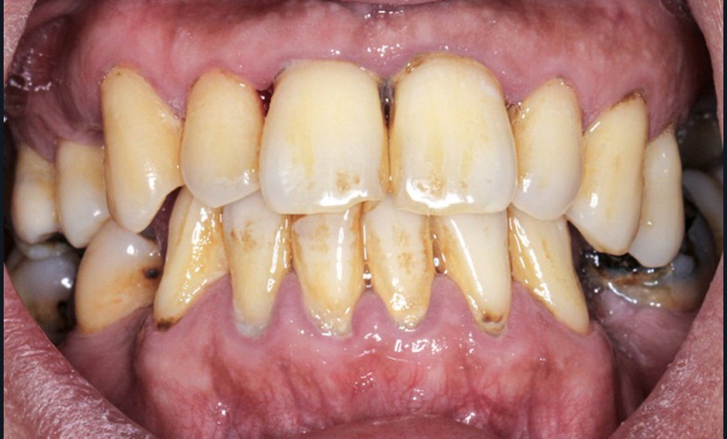
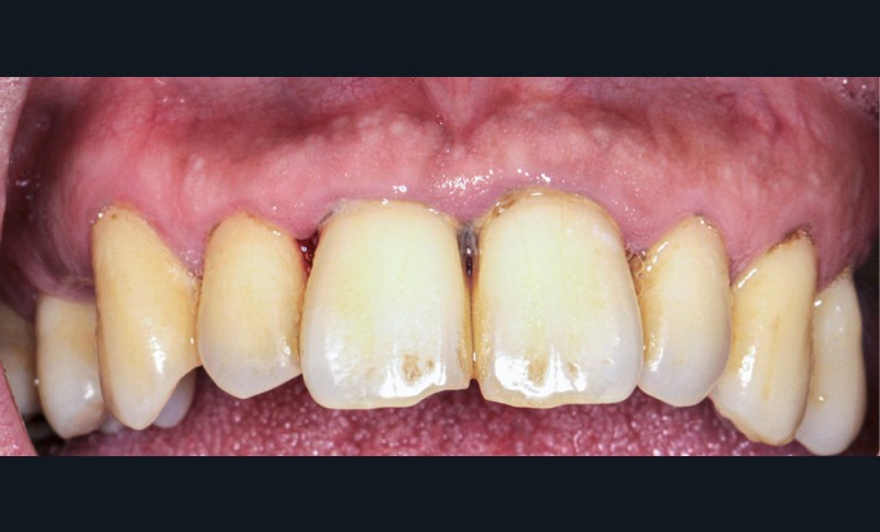
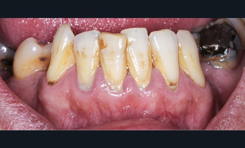
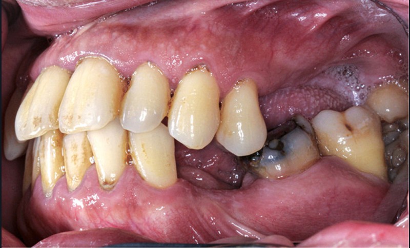
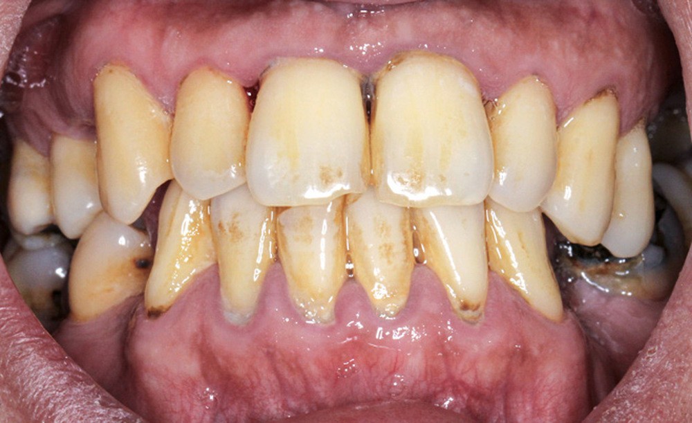
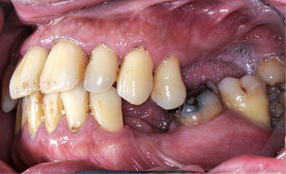
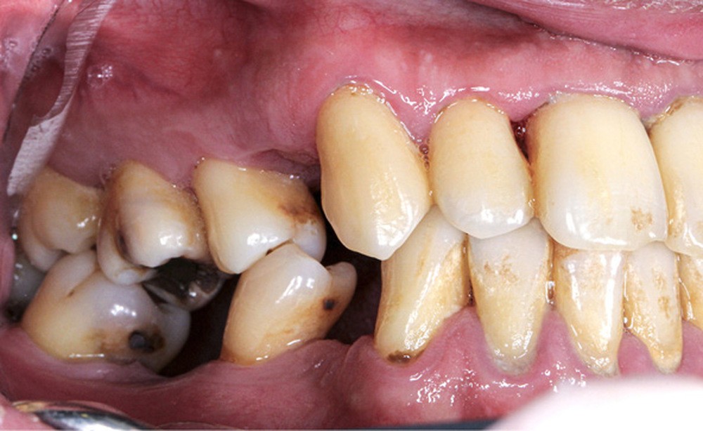
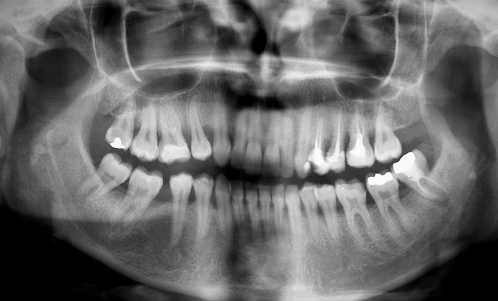
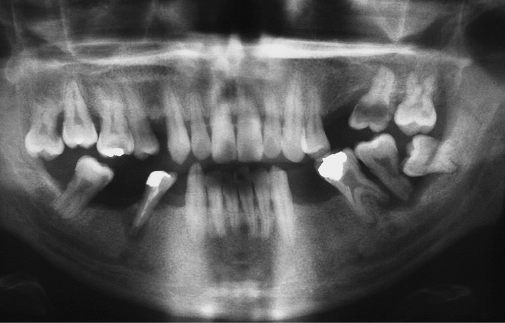
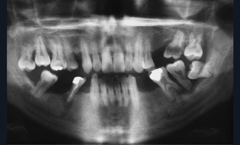
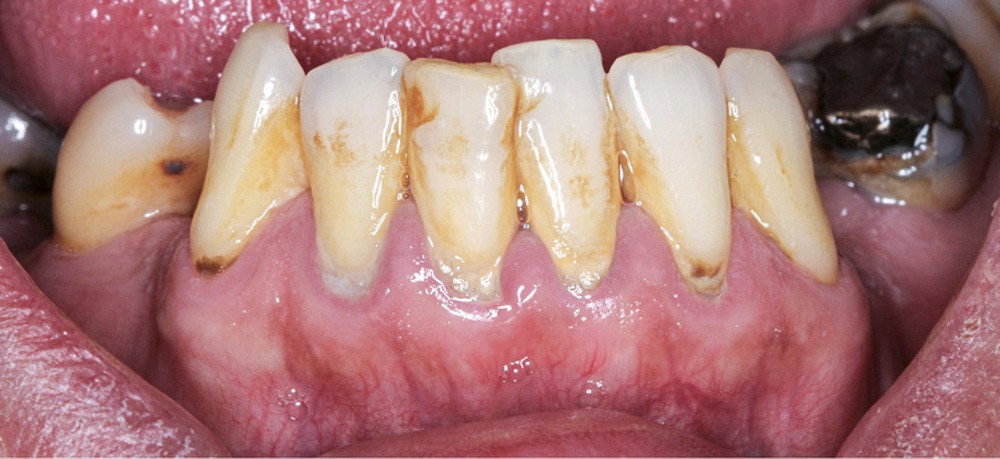
L’obésité, définie par un indice de masse corporelle (IMC) ≥ 30 kg/m2, est une maladie inflammatoire chronique complexe et multifactorielle caractérisée par un dépôt excessif de graisse dans le tissu adipeux. Selon l’OMS, depuis 1975, le nombre de cas d’obésité a presque triplé à l’échelle planétaire [1]. En 2020, près d’un Français sur deux était en surpoids, tandis que 17 % étaient obèses [2]. Or l’obésité est responsable d’une haute mortalité à l’échelle mondiale et est un facteur de risque majeur pour de nombreuses maladies, dont les maladies cardiovasculaires, le diabète de type 2 et certains cancers [1]. Son impact sur la santé des populations et son coût économique et social sont donc considérables. Ces deux dernières décennies, de nombreuses études ont montré que l’obésité pouvait aussi être incriminée dans la détérioration de la santé bucco-dentaire [3] (fig. 1 à 7).
Impact de l’obésité sur la santé orale
Effet de l’obésité sur la salive
La salive fournit un environnement fluide à l’écosystème buccal. Elle hydrate, initie la digestion, aide à la déglutition et protège les surfaces dentaires et les muqueuses contre les attaques biologiques, mécaniques et chimiques. Une sécrétion salivaire qualitative et quantitative est donc essentielle à la santé orale. Or, des études ont mis en évidence une diminution significative de la salive stimulée chez l’adolescent et l’adulte obèses [4-7]. La quantité de salive stimulée diminuerait même de façon proportionnelle à l’augmentation de l’IMC [5]. L’activité sécrétoire des glandes salivaires pourrait donc être altérée par l’augmentation du poids corporel chez l’adulte et l’adolescent.
En revanche, chez les enfants de moins de 10 ans, la sécrétion salivaire paraît moins…






