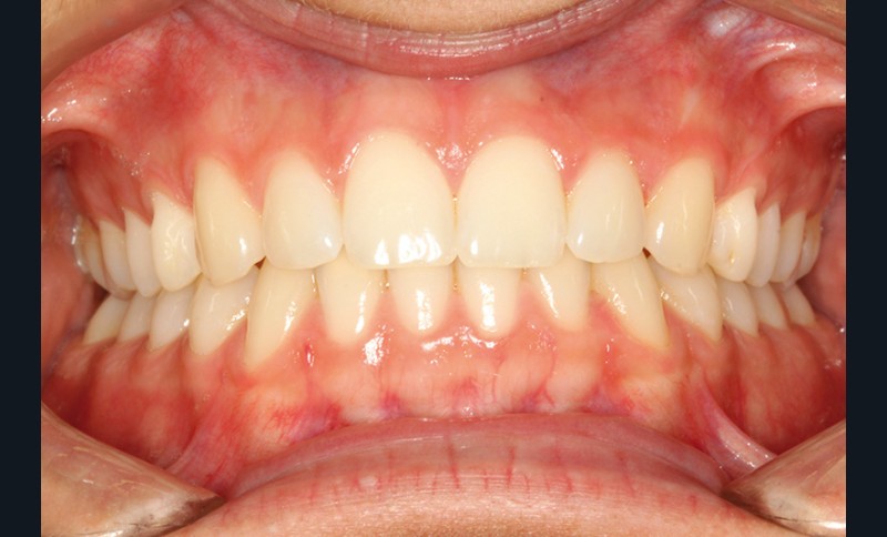
On peut définir l’occlusion comme étant la façon dont les dents s’engrènent lorsque l’on ferme la bouche (fig. 1), ce qui se produit de nombreuses fois par jour lors de la déglutition. Les dents entrent également en contact lors de la mastication des aliments. Déglutir et mastiquer sont des fonctions vitales pour l’organisme, il est donc important que le chirurgien-dentiste s’y intéresse, car une bonne occlusion est un facteur de bonne santé.
Cependant, les arcades dentaires ne sont que l’un des composants d’un système complexe comprenant également deux articulations temporomandibulaires (ATM), une gauche et une droite et l’ensemble des muscles de la mastication (fig. 2). Ces éléments anatomiques sont dépendants les uns des autres, il faut retenir que c’est la façon dont les dents s’engrènent qui détermine la position de la mâchoire contre le crâne. Un bon positionnement des ATM permet un fonctionnement harmonieux des muscles.
L’appareil masticateur fonctionne habituellement de manière automatique. Cela est possible grâce à des capteurs de pression au niveau des dents, des muscles et des articulations, qui envoient des informations vers le cerveau qui, en retour, donne les instructions aux muscles pour effectuer les mouvements de mastication et de déglutition.
Le système masticateur est également capable de s’adapter à des conditions imprévues. Par exemple, si l’on rencontre de manière inopinée un noyau d’olive en mastiquant, le fonctionnement automatique s’interrompt, puis reprendra lorsque l’obstacle aura été éliminé. Par contre, si l’occlusion est perturbée de façon durable (absence de dents, malpositions), le positionnement de la mâchoire devient progressivement instable, ce qui implique un placement inconfortable des articulations et une surcharge de travail pour les muscles. Les patients peuvent…

