À propos d’un cas clinique
Présentation, diagnostic
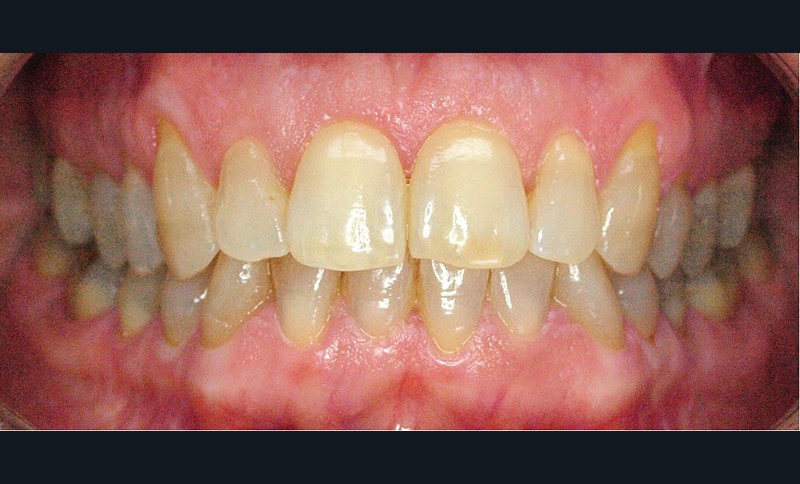
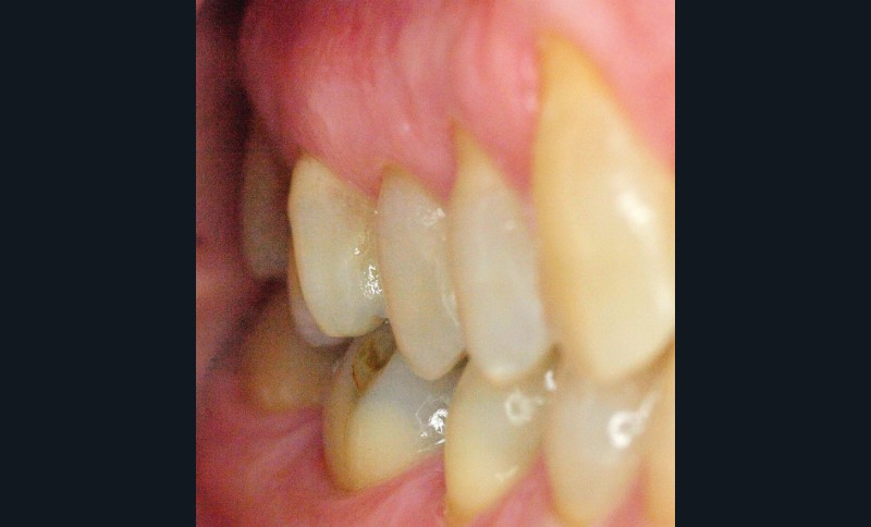
Voilà 6 mois, une patiente se présente à notre cabinet au motif d’une douleur récurrente sur le secteur molaire supérieur droit lors de la mastication. Une anamnèse rapide et cadrée est réalisée pour optimiser le temps passé et avancer les éléments diagnostiques. La patiente décrit une gêne ancienne, déclenchée essentiellement par la mastication. À l’auscultation, les examens endo-buccaux et radiologiques montrent une denture superbe avec très peu de soins, une hygiène buccale sans reproche, et des fonctions manducatrices saines [1] (fig. 1 et 2).
Ce jour-là, aucun diagnostic précis n’est posé concernant cette perception douloureuse. Aussi, nous proposons à la patiente de réévaluer cette sensibilité en fonction de son évolution, et au plus tard sous six mois. Lors de cette consultation de réévaluation, la patiente se présente avec la même doléance, majorée de quelques signes : la douleur, toujours furtive, est plus régulièrement présente, augmentée en puissance (nous n’avons malheureusement pas noté d’échelle d’évaluation douloureuse comparative), mais également déclenchée par la pression dento-dentaire (sans présence d’aliment). En complément, la patiente confirme que cette douleur est plus importante lors de la dépression, du relâché de l’occlusion que lors de la pression [2]. Comme six mois auparavant, la patiente présente un bon état de santé général, n’a ni rhume ni sinusite. L’anamnèse est donc complétée et, grâce à un protocole rigoureux [3], elle nous permet de découvrir aussi des céphalées, des douleurs musculaires et cervicales récurrentes malgré l’intervention d’un ostéopathe. En poussant plus loin l’échange, la patiente déclare une très importante période de stress depuis neuf mois, et nous mettons en évidence une attitude de contacts…

