Partie 1 - Faut-il adapter ses préparations dentaires pour faciliter la prise d’empreinte optique ?
En CFAO directe et semi-directe, l’acquisition des données est réalisée directement au fauteuil par un scanner intra-oral. Les différents systèmes d’empreinte optique actuels fonctionnent par projection de lumière. La déformation du motif projeté sur les volumes bucco-dentaires à enregistrer est convertie en données numériques, exploitables par le logiciel pour élaborer un modèle numérique 3D. Le fonctionnement technologique de l’empreinte optique nous impose de reconsidérer les formes de préparation pour nous permettre une acquisition simple et rapide.
L’objectif de cet article est d’une part de lister un certain nombre de points à respecter pour obtenir une empreinte optique de qualité, d’autre part de les illustrer par deux cas cliniques.
Points à respecter pour une empreinte optique de qualité
Nettoyage minutieux des dents
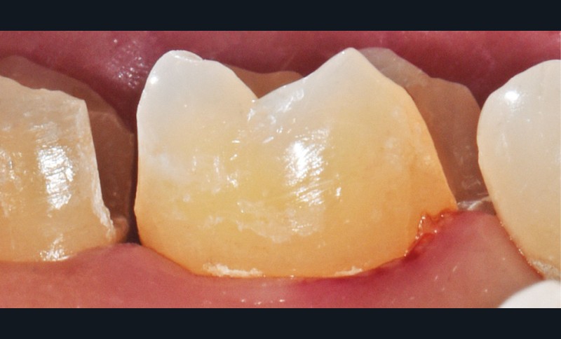
La présence de zones sombres sur certaines parties des dents (collet, faces proximales) peut nuire à la prise d’empreinte optique (fig. 1a-d). Il convient donc de parfaitement nettoyer les dents [1]. Pour cela, un détartrage minutieux parfois associé à un aéropolissage doit être réalisé, soit au cours d’une séance de soins antérieure, soit au début de la séance de soins.
Optimisation de la forme de préparation
Les règles générales de préparation des restaurations réalisées par CFAO sont identiques à celles des restaurations réalisées par technique conventionnelle [2,3] :
- pour les préparations cavitaires, il convient de respecter une épaisseur minimale des parois résiduelles de 2 à 4 mm selon la profondeur de la préparation ;
- la mise de dépouille des parois axiales doit être d’au moins 6° ;
- la réduction occlusale anatomique doit aménager un espace prothétique minimal de 1 à 2 mm selon le type de matériau utilisé [4].
À cela, viennent s’ajouter des règles spécifiques à la CFAO :
- la…



