|
L’orthodontie linguale |
L’orthodontie par Aligneurs |
|
Choix de l’appareil |
|
|
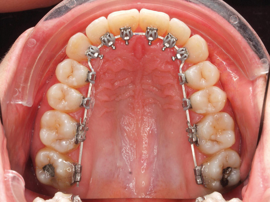
1. Appareil lingual posé en bouche. ✔ Les principes de l’orthodontie linguale sont les mêmes que ceux de l’orthodontie vestibulaire : l’appareillage lingual est constitué d’attaches (brackets), qui sont collées sur les faces linguales ou palatines de chaque dent et reliées par un arc dentaire. Ce fil métallique plié sera changé régulièrement de façon à déplacer les dents en exerçant une pression légère. La principale différence avec l’orthodontie vestibulaire réside dans l’individualisation précise de chaque attache pour qu’elle s’adapte à l’anatomie spécifique des faces linguales des dents. ✔ Sur le plan mécanique, les attaches linguales déplacent donc les dents en les tirant ou les poussant comme le font les brackets externes vestibulaires : elles permettent donc les mêmes résultats. |
2. Patient avec un aligneur et des taquets sur les prémolaires. ✔ Le principe d’un traitement par aligneurs est basé sur le port successif de gouttières en plastique transparent. À partir d’une simulation informatique du résultat souhaité, toutes les étapes de déplacement dentaire sont individualisées et une série de gouttières thermoformées est fabriquée. Le port de ces aligneurs 22h/24h va déplacer petit à petit chacune des dents pour obtenir le résultat final escompté. ✔ Les aligneurs fonctionnent uniquement par poussée et enferment les dents dans des logements ayant la forme et la position de la dent déplacée : souvent, il est utile de rajouter des taquets en composite qui forment des reliefs collés sur les dents pour améliorer la réalisation du mouvement. |
|
✔ Finalement, les deux systèmes fonctionnent différemment et n’offrent… |
|
