Formation

Chirurgie orale

Article réservé à nos abonnés Chirurgie du lambeau lingual

Rapports de la muqueuse alvéolaire linguale avec le plancher buccal et la loge sublinguale Le plancher buccal isole deux régions...

Article réservé à nos abonnés Expertise médicale des victimes d’accidents bucco-dentaires

Au vu des particularités de l’odontologie, il convient d’établir si les expertises menées au cours de procédures civiles sont conformes...
Esthétique

Article réservé à nos abonnés Quelle place pour les concours de dentisterie esthétique ouverts aux étudiants dans leur formation ?

La dentisterie restauratrice et esthétique est une discipline pour laquelle les praticiens et les étudiants éprouvent un intérêt grandissant. En...
Endodontie

Article réservé à nos abonnés Quelle procédure d’urgence pour une pulpite irréversible ?

Identifier une pulpite irréversible Au cours de la formation en endodontie, qu’elle soit initiale ou postuniversaire, les signes cliniques de...
Prothèse

Article réservé à nos abonnés Prothèse complète sur implants zygomatiques et sur All on Four

La prothèse complète sur implant nécessite des compétences dans deux techniques souvent bien maîtrisées, la prothèse complète conventionnelle et la...
Parodontologie

Article réservé à nos abonnés La prise en charge de la récession parodontale

Diagnostic La récession parodontale se définit comme l’exposition pathologique de la surface radiculaire à la suite d’une migration apicale de...
Odontologie pédiatrique

Article réservé à nos abonnés Ré-éruption spontanée des incisives temporaires intruses

Les traumatismes des dents temporaires sont fréquents ; ils représentent 30 à 40 % des traumatismes chez les enfants en bas âge...
Esthétique

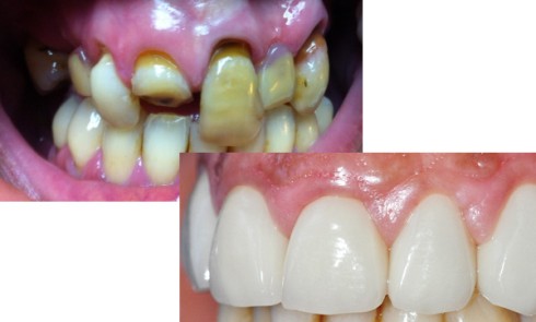
Article réservé à nos abonnés Traitement esthétique des récessions gingivales

Évaluation et problématique La ligne des collets correspond à l’exposition du contour gingival et est déterminée par le niveau de...
Dermatologie buccale

Article réservé à nos abonnés Tumeurs sur la demi-muqueuse labiale

Cas 1 Motif de la consultation. Patiente de 35 ans qui avait une tumeur labiale saignant au moindre contact, voire...
Odontologie pédiatrique

Article réservé à nos abonnés L’application de vernis fluoré, un acte de prévention efficace

L’application d’un vernis fluoré apparaît comme un élément complémentaire dans la prévention de la carie. C’est un acte rapide et...
Implantologie, Implantologie prothétique

Article réservé à nos abonnés La maintenance personnelle et professionnelle dans la prévention de la péri-implantite

Étiopathogénie et facteurs de risques La péri-implantite est une maladie multifactorielle dont l’étiologie principale est constituée par les bactéries contenues...
Biomatériaux

Article réservé à nos abonnés La clé du cantilever

Partie laboratoire Tout d’abord, il est très important d’obturer sur le modèle à la cire toutes les zones de contre-dépouille,...
Biomatériaux

Article réservé à nos abonnés L’impression 3d de céramiques

L’impression 3D de céramique est une méthode récente de mise en forme d’un objet en céramique. Elle a commencé à...
Biomatériaux

Article réservé à nos abonnés L’incisive latérale maxillaire, une dent capricieuse

L’incisive latérale est-elle simplement une incisive centrale de taille réduite ? La confusion règne quand il s’agit de décrire avec précision...
Biomatériaux

Article réservé à nos abonnés Le scellement dentinaire immédiat : protocole clinique

Les protocoles de mise en œuvre des restaurations indirectes nécessitent classiquement (hors CFAO directe au fauteuil) une étape de temporisation...
Biomatériaux

Article réservé à nos abonnés Les facettes en céramique : les clés du succès – Partie 2

Dans les cas de facettes comme dans toute réalisation prothétique antérieure, il est indispensable de fournir au laboratoire un dossier...