Formation

Parodontologie

Article réservé à nos abonnés Les relations entre parodontite et obésité

L’Organisation mondiale de la santé (OMS) définit l’obésité comme une accumulation excessive de graisses corporelles représentant un risque pour la...
Biomatériaux, Odontologie restauratrice

Article réservé à nos abonnés Inlays, onlays, overlays du direct à l’indirect : comment définir l’indication ?

Ce premier article fait le point sur les indications de ces restaurations car, si nous n’hésitons pas à réaliser des...
Biomatériaux

Article réservé à nos abonnés Les matériaux polymères – Partie 3

Les matériaux polymères sont des solides moléculaires, c’est-à-dire des solides constitués de molécules (macromolécules dans le cas des polymères) dont...
Biomatériaux

Article réservé à nos abonnés Le titane : son potentiel allergique est-il lié à sa corrosion ?

En implantologie moderne, le titane est devenu le matériau phare grâce à d’excellentes propriétés biologiques et mécaniques. Son utilisation en...
Biomatériaux

Article réservé à nos abonnés Les ciments tricalciques – Spécificités du matériau Biodentine™ – Partie 3

L’un des précédents articles concernant le silicate tricalcique Biodentine™ a présenté la manipulation et les thérapeutiques de préservation pulpaire [1]....
Biomatériaux

Article réservé à nos abonnés Les résines composites

Parmi les différentes parties qui composent le matériau [1] (matrice organique, charges, agent de couplage organo-minéral), ce sont surtout les...
Esthétique

Article réservé à nos abonnés Les lasers ou comment discipliner les photons

Le mot laser est l’acronyme de light amplification by stimulated emission of radiation, ce qui, dans la langue de Molière,...
Esthétique

Article réservé à nos abonnés Facettes dans un cas d’usure antérieure sévère : un choix raisonné

Cas clinique Un homme de 60 ans se présente en consultation avec le désir d’améliorer son sourire. Une analyse esthétique...
Esthétique

Article réservé à nos abonnés Le protocole eLAB dans la réalisation d’une restauration unitaire antérieure

Ces facteurs sont donc des sources d’erreur pouvant conduire à un échec esthétique [1]. Les étapes d’identification/transcription/communication de la couleur...
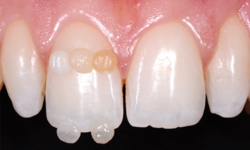
Esthétique

Article réservé à nos abonnés Restaurations directes d’incisives latérales maxillaires riziformes par technique de stratification des résines composites

Matériels et méthodes Une patiente de 24 ans a été reçue en consultation au CHU de Bordeaux, se plaignant de...
Esthétique

Article réservé à nos abonnés Indications des lasers en région péribuccale

La beauté est une notion extrêmement subjective, qui dépend de critères ethniques, socioculturels, anatomiques mais aussi de mode et de...
Implantologie chirurgicale

Article réservé à nos abonnés Utilisation du laser Erbium-YAG dans l’ajout de muqueuse kératinisée autour des implants du secteur postérieur mandibulaire

L’absence de muqueuse kératinisée et attachée autour des implants est un facteur de risque pour l’installation d’une péri-implantite. Les auteurs...
Implantologie

Article réservé à nos abonnés Le laser Er:YAG, un complément utile au traitement des péri-implantites ?

Les mécanismes inflammatoires pathologiques autour des implants sont responsables d’une destruction osseuse rapide et sévère. 80 % des implants subiront un...
Parodontologie

Article réservé à nos abonnés Le laser Er:YAG, un outil mini-invasif : applications cliniques en parodontie

Comme toutes les disciplines médicales et chirurgicales, la parodontie évolue et tend à devenir moins invasive. L’objectif est de proposer...
Endodontie

Article réservé à nos abonnés Le laser Er:YAG en endodontie

Les objectifs de l’endodontie sont parfaitement définis, qu’il s’agisse de l’élimination des tissus organiques, ou l’éradication de la flore bactérienne...
Esthétique, Odontologie restauratrice

Article réservé à nos abonnés L’utilisation du laser Er:YAG dans l’éviction carieuse

La dentisterie restauratrice, et en particulier le traitement des lésions carieuses, représente, une part importante de l’exercice d’un omnipraticien. Éviction...