Formation

Esthétique, Odontologie restauratrice

Article réservé à nos abonnés L’utilisation du laser Er:YAG dans l’éviction carieuse

La dentisterie restauratrice, et en particulier le traitement des lésions carieuses, représente, une part importante de l’exercice d’un omnipraticien. Éviction...
Médecine

Article réservé à nos abonnés « Boule palatine » : démarche diagnostique et thérapeutique

1. Quelle est votre hypothèse diagnostique ? a. Adénome pléomorphe b. Lipome c. Carcinome adénoïde kystique d. Sialométaplasie nécrosante e. Mucocèle...
Biomatériaux

Article réservé à nos abonnés L’évaluation dans une approche par compétence

Si l’on met de côté le besoin de sélection lors du concours de PACES1, l’évaluation dans les formations de santé...
Implantologie chirurgicale

Article réservé à nos abonnés L’extraction implantation immédiate en présence d’un déficit osseux vestibulaire

La question Il s’agit d’évaluer la prédictibilité des différents protocoles d’extraction implantation immédiate en présence d’un déficit osseux alvéolaire ainsi...
CFAO

Article réservé à nos abonnés Table-tops et overlays par CFAO directe : quand et comment ?

Les patients présentant des situations avancées d’usures et d’érosions dentaires plurales sont de plus en plus nombreux à venir nous consulter....
Médecine, Parodontologie

Article réservé à nos abonnés Applications cliniques de la Recherche

Consultez le pdf pour lire l’ensemble des articles du dossier Applications cliniques de la Recherche

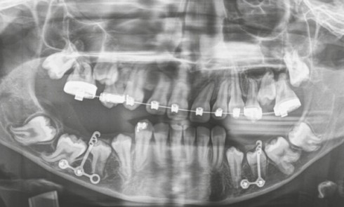
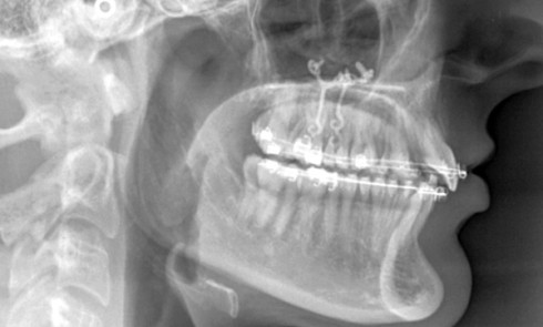
Article réservé à nos abonnés Classe II ortho-chirurgicale ou « l’appétit vient en mangeant »

Madame P., âgée de 43 ans, consulte pour la première fois en octobre 2012 et nous dit : « J’ai l’impression que mes...
ODF

Article réservé à nos abonnés Apport des contraintes masticatrices fortes dans la stabilisation de l’expansion maxillaire par disjonction : proposition d’un protocole de recherche

Introduction Les insuffisances transversales maxillaires sont une pathologie courante ; elles sont traitées par disjonction maxillaire. La correction du sens transversal...
ODF

Article réservé à nos abonnés Suivi thérapeutique des patients porteurs de fente labio-palatine non syndromique :

Introduction En France, les fentes labiales associées ou non à une fente palatine concernent environ 1 naissance sur 700. La...
ODF

Article réservé à nos abonnés Pratiques des orthodontistes en matière de contention en France

Introduction La stabilité après traitement est une préoccupation majeure en orthodontie. Le recours à un dispositif de contention se justifie...
ODF

Article réservé à nos abonnés Approche fonctionnelle des dysfonctions orales chez l’enfant porteur de trisomie 21 : la plaque palatine

Les patients porteurs de trisomie 21 présentent des caractéristiques qui s’expriment au niveau facial. Quelles sont-elles et comment participez-vous à...

Article réservé à nos abonnés Traitement de compromis chez l’adulte : le bon choix thérapeutique

Présentation du cas Un homme de 27 ans et 7 mois vient consulter pour un motif esthétique : son sourire est...
ODF

Article réservé à nos abonnés Gestion orthodontique préprothétique d’une microdontie de 12

Diagnostic Elle présente une classe I dentaire en denture adulte. Son sourire est perturbé, notamment par la microdontie de son...
ODF

Article réservé à nos abonnés La distalisation maxillaire au service de la désinclusion de canines :

Diagnostic Aline se présente à la consultation pour une demande esthétique concernant ses deux canines lactéales qu’elle trouve trop petites...
ODF

Article réservé à nos abonnés Traitement orthodontique multi-attaches et modifications posturales : étude de cohorte

Introduction Depuis les années 1990, des liens ont été suggérés entre l’occlusion dentaire et la posture, que ceux-ci soient descendants...

Article réservé à nos abonnés Discussion autour d’un cas complexe d’inclusions multiples atypiques

En l’absence d’obstacle mécanique et d’antécédents médico-chirurgicaux particuliers, le cas décrit précédemment évoque un tableau clinico-radiologique de défaut primaire d’éruption...