Formation

Article réservé à nos abonnés La régénération osseuse guidée (ROG) : quand stabiliser la membrane ?

La question Lors d’un défaut osseux, l’indication de correction osseuse s’impose. Différents moyens sont disponibles. Nous nous intéresserons dans ce...

Article réservé à nos abonnés Les piercings oraux

Au niveau de la sphère oro-faciale, les sites les plus fréquemment percés sont la langue et les lèvres (fig. 1). En...

Article réservé à nos abonnés Lésions carieuses profondes et restaurations indirectes : intérêt de la remontée de marge

Nous utilisons dans notre pratique quotidienne de nombreux matériaux dans le cadre du traitement des organes dentaires mais aussi des...

Article réservé à nos abonnés Lésions carieuses profondes et restaurations indirectes : intérêt de la remontée de marge

La préservation tissulaire est désormais une notion fondamentale en dentisterie restauratrice. Elle permet sur le plan biologique d’être le moins...

Article réservé à nos abonnés Comment aborder les restaurations antérieures en composite, décomplexé et sûr de sa technique ?

L’emploi des résines composites (RC) couplé à l’essor des procédures d’adhésion est une étape incontournable dans les progrès effectués par...

Article réservé à nos abonnés Fermeture des diastèmes et des triangles noirs du secteur antérieur à l’aide de résines composites en technique directe

La présence d’un diastème antérieur constitue chez les adultes l’un des principaux motifs de consultation pour raison esthétique. Quant aux...
Odontologie restauratrice

Article réservé à nos abonnés Approche moderne des larges restaurations composites MOD dans les secteurs postérieurs

L’évolution de la dentisterie adhésive au cours de ces dernières années a permis aux restaurations composites de supplanter progressivement l’amalgame...

Article réservé à nos abonnés ADF – Dossier 2

Bibliographie Sept membres du comité scientifique du congrès ADF 2018 ont une nouvelle fois accepté d’apporter un éclairage sur les...

Article réservé à nos abonnés Et si j’améliorais mes photographies ?

Essayer de progresser est toujours gage de qualité. Les photographies sont des documents importants à réaliser ; à plusieurs temps du...

Article réservé à nos abonnés Informatisation du Mesh de C.F.A. Moorrees et comparaison des implémentations manuelle et informatique de cette analyse céphalométrique

Introduction L’analyse en réseau de Moorrees est une analyse céphalométrique visuelle et didactique, basée sur les proportions du massif crânio-facial...

Article réservé à nos abonnés Résorptions radiculaires des dents adjacentes aux canines maxillaires incluses constatées avant tout traitement orthodontique chez l’enfant ou l’adolescent

Introduction Les résorptions radiculaires des dents adjacentes causées par les canines maxillaires incluses sont fréquentes, mais la prévalence de ce...
ODF

Article réservé à nos abonnés Évaluation des pratiques orthodontiques dans les cabinets en France et comparaison avec les États-Unis

Introduction Les pratiques orthodontiques en France sont en perpétuelle évolution. L’ensemble de la profession est concerné par les changements des...

Article réservé à nos abonnés Évaluation de l’esthétique faciale pré- et post-thérapeutique chez des patients en classe III squelettique :

Introduction Les dysmorphoses de classe III ne constituent qu’un faible pourcentage de notre pratique orthodontique mais font partie des dysmorphoses...
CFAO

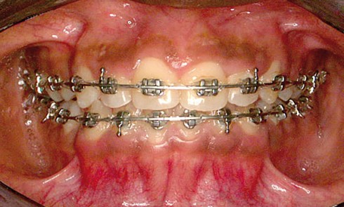
Article réservé à nos abonnés Collage indirect des attaches orthodontiques assisté par ordinateur

Le collage direct est un processus long, avec un risque de contamination des surfaces dentaires préparées, une précision aléatoire du...
ODF

Article réservé à nos abonnés Discussion autour d’un cas complexe orthodontie-prothèse

Ce premier cas présente l’intérêt de sa complexité. En effet, il entre dans la catégorie des agénésies multiples mais aussi...
ODF

Article réservé à nos abonnés Concept d’approche centrée sur le patient 

Examen clinique Anamnèse Alliah, en bonne santé générale, est adressée à un orthodontiste en 2010 par son dentiste généraliste en...