Formation

Article réservé à nos abonnés Le rôle de l’assistante dentaire dans la gestion du flux numérique dans un cabinet d’orthodontie

L’assistante dentaire a un rôle central dans cette nouvelle organisation. Elle va préparer l’acquisition, gérer la transmission des données, organiser...

Article réservé à nos abonnés Un traitement orthodontico-chirurgical pour un beau sourire : pourquoi et comment ?

Bien que l’orthodontiste reste le cœur du cabinet, ses assistant(e)s ne sont pas moins concerné(e)s dans leur rôle actif sur...

Article réservé à nos abonnés Anticipez les actes cliniques, gagnez en efficacité !

S’organiser, c’est préparer chaque acte à l’avance dans un souci de vitesse, d’ergonomie, d’hygiène, de qualité des soins tant pour...

Article réservé à nos abonnés Quand l’hypnose conversationnelle dénoue une situation

Langage positif et activateur, écoute attentive et respectueuse, harmonisation sur le langage et sur la gestuelle du patient sont à...

Article réservé à nos abonnés “Transe-former ” les cabinets d’orthodontie avec l’hypnose

Des milliers de publications, une centaine de thèses, treize formations universitaires en France, plus de 10 000 professionnels de santé formés. Et...

Article réservé à nos abonnés Une mini-réunion pour bien débuter la journée !

Contenu de la réunion Les noms des patients qui ont rendez-vous sont cités, ainsi que la nature du rendez-vous (pose,...

Article réservé à nos abonnés Dossier Parcours ADF 2018

Parcours Endodontie Je souhaite conserver l’organe endodontique selon les données actuellesJe m’ouvre à la pluridisciplinaritéJe me forme à l’implantologie guider...
CFAO

Article réservé à nos abonnés Limites et réalités de l’empreinte optique en 2018

L’empreinte optique connaît un réel essor depuis ces dix dernières années. De nombreuses caméras intrabuccales sont maintenant disponibles sur le...
Prothèse

Article réservé à nos abonnés Traitement des empreintes implantaires

Avant tout protocole de traitement de l’empreinte implantaire la désinfection de celle-ci a été scrupuleusement exécutée au cabinet dentaire. Une...
Prothèse fixée

Article réservé à nos abonnés Les empreintes en prothèse implantaire fixe

L’implantologie a pris un essor remarquable depuis une décennie, essor passant du stade de discipline de quelques spécialistes à un...
Prothèse

Article réservé à nos abonnés Le traitement des empreintes au laboratoire

a gestion laboratoire des empreintes « traditionnelles » en prothèse fixée (par opposition aux empreintes numériques) est un vaste sujet. Il a...
Prothèse amovible

Article réservé à nos abonnés Traitement et coulée des empreintes de prothèse amovible

Que ce soit en prothèse amovible complète ou partielle, les empreintes reçues au laboratoire doivent être manipulées et coulées avec...
Prothèse

Article réservé à nos abonnés Comment optimiser les empreintes « conventionnelles » en prothèse fixée ?

Les thérapeutiques indirectes, c’est-à-dire faisant appel à une étape de laboratoire – conventionnelle ou numérique –, sont très fréquentes en...
Prothèse amovible

Article réservé à nos abonnés Les empreintes en prothèse amovible complète

Les empreintes constituent le premier maillon de la chaîne technologique de mise en œuvre d’une prothèse amovible complète. Leur fidélité...
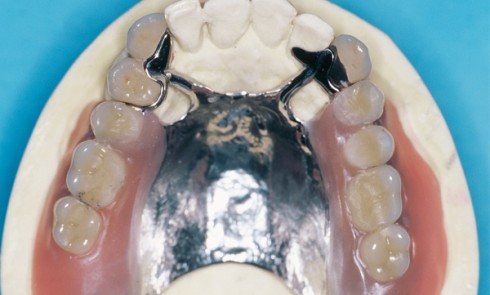
Prothèse amovible

Article réservé à nos abonnés Les empreintes en prothèse amovible partielle

Les empreintes en prothèse amovible partielle (PAP) conduisent à l’élaboration d’un modèle de travail sur lequel est réalisée la prothèse...
Hygiène et Asepsie

Article réservé à nos abonnés Comment optimiser le travail en cassette ?

Au fauteuil Après avoir ouvert l’emballage qui sert de champ stérile, la cassette est déployée et les instruments qu’elle contient...