Formation

Pharmacologie

Article réservé à nos abonnés Les antibiotiques en chirurgie orale

L’utilisation des antibiotiques est banalisée du fait de leur facilité d’emploi et du confort qu’elle procure. Toutefois, les prescriptions abusives...
Esthétique

Article réservé à nos abonnés Ma première « three step technique » – partie 3

Les restaurations antérieures se font selon trois étapes 1. Empreinte, confection, usinage (CFAO) des RAC palatines et collage.2. Préparations des...
Esthétique

Article réservé à nos abonnés Des dents alignées pour un joli sourire

Actuellement, beaucoup d’adultes ont recours à l’orthodontie pour parfaire leur sourire. Mais le traitement par bagues visibles en vestibulaire, aussi...
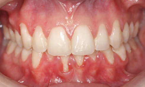
Esthétique

Article réservé à nos abonnés Et si l’esthétique d’un sourire passait par l’alignement des collets ?

La position de la ligne du sourire, la forme et la couleur des dents mais aussi l’alignement des collets sont...
Esthétique

Article réservé à nos abonnés Les critères d’analyse esthétique du patient

La demande esthétique des patients évolue de plus en plus. L’omnipraticien doit à présent faire face à ces demandes ou...
Hygiène et Asepsie

Article réservé à nos abonnés Le rôle de l’assistante dans la maintenance des prothèses

Le patient doit être informé de la nécessité d’une hygiène quotidienne de sa part, et d’une maintenance professionnelle une à...
Endodontie

Article réservé à nos abonnés Qu’est-ce que la revitalisation canalaire ?

L’endodontie régénératrice Ces mots résonnent bien dans l’air du temps, celui de la régénération… Si, sur le plan de la...
Esthétique

Article réservé à nos abonnés Ma première « three step technique » – partie 2

Une fois le projet esthétique et fonctionnel validé grâce aux full mock-up en résine [4], nous procédons à la réalisation...

Article réservé à nos abonnés Comment réussir les scellements de sillons ?

1. La méthode Les scellements de sillons, méthode de prévention dont l’efficacité a été démontrée, ont pour but de réaliser...
Esthétique

Article réservé à nos abonnés Composite antérieur : la clé palatine, l’indispensable outil de simplification de la stratification

La réalisation d’une clé palatine permettant d’établir un cadre palato-proximal, préalablement à la stratification, s’inscrit dans la ligne de simplification...
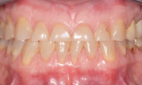
ODF

Article réservé à nos abonnés Le diagnostic muco-gingival en orthodontie : avant, pendant, après. Quand faut-il intervenir ?

L’un des objectifs de l’orthodontie est d’améliorer l’architecture dento-parodontale et par là même prévenir la survenue de pathologies parodontales sur...
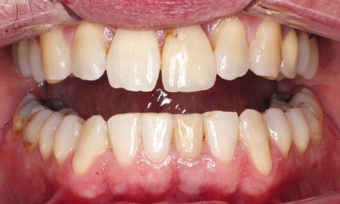
ODF

Article réservé à nos abonnés Chronologie du plan de traitement : paro, ortho, implanto

Depuis les travaux de Brånemark, l’implantologie moderne basée sur les données scientifiques offre une option thérapeutique fiable à long terme....
Chirurgie orale

Article réservé à nos abonnés Échecs des traitements ortho-chirurgicaux

Les échecs des traitements orthodontico-chirurgicaux se définissent comme une absence de mise en place en occlusion fonctionnelle d’une dent incluse...
Esthétique

Article réservé à nos abonnés Ma première « three step technique »

Les destructions des tissus dentaires liées à des phénomènes érosifs sont de plus en plus fréquentes et touchent environ 40 %...
Hygiène et Asepsie

Article réservé à nos abonnés Comment optimiser le travail en cassette ?

Le concept des « tubs and trays » Voici plus de trente-cinq ans, le Docteur Kilpatrick préconisait l’utilisation des « tubs and trays »,...

Article réservé à nos abonnés Passivation des lambeaux postérieurs mandibulaires en chirurgie d’augmentation osseuse horizontale ou verticale :

Dans l’implantologie moderne, les greffes d’augmentations osseuses mandibulaires sont parfois incontournables et ce, malgré les possibilités offertes par la chirurgie...