Formation

Article réservé à nos abonnés Toujours et encore des épulis ?

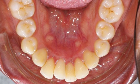
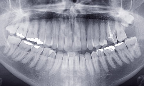
CAS 1 Motif de la consultation. Patiente de 61 ans, adressée par son chirurgien-dentiste traitant qu’elle a consulté pour une...

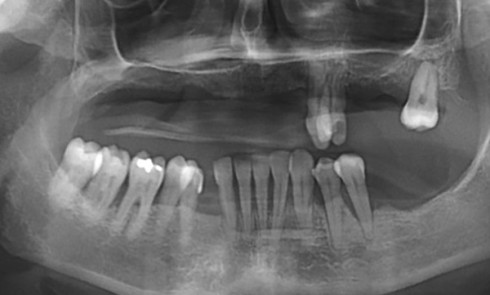
Article réservé à nos abonnés Double barre et édenté complet maxillaire

La question Quelle pérennité prothétique peut-on assurer pour les édentements complets ? Ce suivi à propos d’un cas clinique sur double...
CFAO

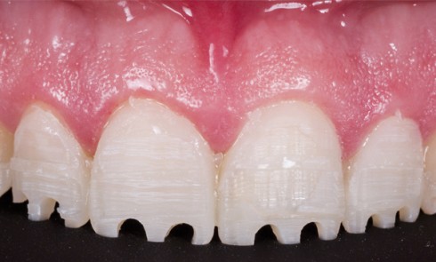
Article réservé à nos abonnés Impression 3D en Valplast® : à propos de trois cas cliniques

Malgré les progrès technologiques et l’entrée de la CFAO dans nos protocoles de traitements prothétiques, des situations de non-remplacement des...

Article réservé à nos abonnés Collaboration entre le cabinet et le laboratoire : enquête auprès de prothésistes dentaires de Dakar

La pratique prothétique requiert, entre autres facteurs déterminants, la constitution d’une équipe compétente, une coordination permanente entre praticien et prothésiste,...

Article réservé à nos abonnés Le wing, une thérapeutique dans l’air du temps

Le principal inconvénient de la génioplastie conventionnelle est son inesthétisme et son manque d’efficacité dans les cas nécessitant une forte...
Odontologie restauratrice

Article réservé à nos abonnés Restaurations esthétiques en céramique collée (RECC) et traitement de l’usure : chronologie clinique

La prise en charge thérapeutique d’une denture usée par érosion, attrition, abrasion ou, plus souvent, par une association de ces...
Odontologie restauratrice

Article réservé à nos abonnés Abrasivité des matériaux prothétiques esthétiques face à une dent saine

Comparer la morphologie des incisives permanentes d’un enfant juste après leur éruption à celles de nos aînés nous pousse à...
ODF

Article réservé à nos abonnés Extraction d’une incisive mandibulaire

Présentation du cas Il s’agit d’un patient adulte de 28 ans (fig. 1) présentant une classe I, une dysharmonie dento-maxillaire (DDM),...
ODF

Article réservé à nos abonnés Comment compenser des avulsions de 13 et 23 ?

Présentation du cas Une jeune femme de 19 ans vient consulter en raison du caractère disgracieux de son sourire. À...
Pharmacologie

Article réservé à nos abonnés Modalités de prescription des antibiotiques par les chirurgiens-dentistes

État des lieux sur la prescription des antibiotiques La France fait toujours office de mauvais élève en termes de prescriptions...
Odontologie restauratrice

Article réservé à nos abonnés Reminéralisation des lésions érosives : intérêts des complexes phospho-calciques

Le mode de vie et les habitudes alimentaires de la société moderne ont contribué au développement de lésions dentaires telle...

Article réservé à nos abonnés Dossier Régime d’exclusion : Le Mangeur

Pour consulter le dossier, cliquez ci dessous sur « Visualiser le document ». Le dossier apparaîtra dans une nouvelle fenêtre dans notre...
Prothèse amovible

Article réservé à nos abonnés Les reconstitutions partielles collées : apport de la V-Prep

En France, la réalisation d’une couronne périphérique retenue par un inlay-core reste la solution la plus utilisée pour reconstituer une...
CFAO

Article réservé à nos abonnés L’empreinte optique sans transfert implantaire : mythe ou réalité ?

L’implant est devenu un outil incontournable de nos plans de traitement de réhabilitation orale. La codification des phases d’élaboration prothétique...
ODF

Article réservé à nos abonnés Traitement des béances dentaires antérieures : quand faut-il extraire ?

Le choix d’extraire ne doit absolument pas être systématisé [5]. Il n’existe pas de « candidat idéal » ! Les béances sont souvent...
Odontologie restauratrice

Article réservé à nos abonnés Système d’évaluation de l’usure dentaire (SEUD)

L’usure dentaire est un phénomène d’origine multifactorielle conduisant à la perte des tissus dentaires durs, c’est-à-dire l’émail, la dentine et...