Formation

Odontologie restauratrice

Article réservé à nos abonnés Système d’évaluation de l’usure dentaire (SEUD)

L’usure dentaire est un phénomène d’origine multifactorielle conduisant à la perte des tissus dentaires durs, c’est-à-dire l’émail, la dentine et...
Prothèse

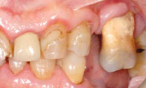
Article réservé à nos abonnés L’endocouronne : jusqu’où peut-on aller ?

ce jour, aucun consensus de restauration de la dent postérieure délabrée et dépulpée n’est admis, et le choix des restaurations...
Prothèse amovible

Article réservé à nos abonnés Prothèse partielle amovible : conception et fabrication assistées par ordinateur

Prothèse partielle amovible, armature métallique : le futur est déjà là !La révolution numérique est en marche et gagne tous les secteurs...
ODF

Article réservé à nos abonnés Présentation générale des anomalies de l’émail

On distingue quatre types d’atteintes amélaires : les white spot lesions (WSL) ou leucomes, les fluoroses, les hypominéralisations traumatiques et la...
Odontologie restauratrice

Article réservé à nos abonnés Choix d’une approche additive dans les traitements d’usures érosives et attritives : intérêts des full mock up

Les patients atteints d’érosion/usure de nature chimique consultent de manière quasi exponentielle au sein des cabinets, avec des degrés d’atteinte...
Odontologie restauratrice

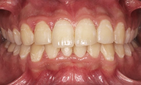
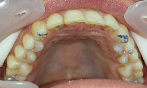
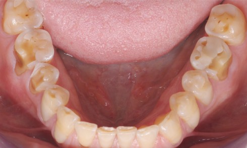
Article réservé à nos abonnés Usure dentaire : origines et formes des lésions

L’usure est la détérioration que produit l’usage. Cette manifestation dynamique, cumulative et adaptative existe depuis l’origine de l’Humanité. C’est un...
Odontologie restauratrice

Article réservé à nos abonnés Usure et compensations dento-alvéolaires

Les compensations dento-alvéolaires peuvent être assimilées à un système dynamique et adaptatif destiné à assurer et à maintenir dans le...

Article réservé à nos abonnés Dossier Douleur

Pour consulter le dossier, cliquez ci dessous sur « Visualiser le document ». Le dossier apparaîtra dans une nouvelle fenêtre dans notre...
Dermatologie buccale

Article réservé à nos abonnés La muqueuse buccale et ses altérations physiopathologiques

Chaque lésion élémentaire représente une altération clé sur le plan histologique qui donne des indices quant à l’origine de cette...

Article réservé à nos abonnés Et si ce n’était pas un lichen ?

Cas 1     Motif de la consultation. Patient de 51 ans venu consulter pour des douleurs jugales gauches. Histoire...
Occlusodontologie

Article réservé à nos abonnés Bruxisme en pratique clinique

L’EPP a été menée sous la forme d’une enquête déclarative par questionnaire anonyme en ligne (enregistré auprès de la Commission...
CFAO

Article réservé à nos abonnés L’esthétique, la fonction et la CFAO : un cas complet

Ont participé à cette réalisation – Madalena Pires. Prothésiste et formatrice Exocad – Rossano Canova. Prothésiste et spécialiste Exocad– Charlotte...
Dermatologie buccale

Article réservé à nos abonnés Exemples de diagnostics différentiels rencontrés en pratique

I. Des plaques blanches sur la langue : lichen plan bipolaire ou langue géographique ? Cas n° 1 Un patient de 38 ans...
Dermatologie buccale

Article réservé à nos abonnés Crèmes solaires : indices de protection et autres symboles

Le domaine de ces rayonnements électromagnétiques de courte longueur d’onde est divisé en trois parties : les UV-A (400-315 nm) représentent...
Dermatologie buccale

Article réservé à nos abonnés Les verrues, de petites tumeurs ?

ans le cas des verrues, c’est un des cinquante papillomavirus (HPV 1, 2,… 50) aujourd’hui identifiés qui colonise la partie...
Dermatologie buccale

Article réservé à nos abonnés Dermatologie buccale : le rôle de l’assistante dentaire

L’assistante dentaire doit rassurer le patient qui, généralement, arrive avec une inquiétude marquée concernant son « problème de bouche ». Elle est...