Formation

Prothèse fixée

Article réservé à nos abonnés Réhabilitation implantaire complète en zircone : les facteurs clés

Le succès des traitements implantaires est lié à trois points essentiels. • La prévisibilité : il est important, vu la situation de...
Prothèse fixée

Article réservé à nos abonnés Quelques clés pour réussir une prothèse complète à la mandibule

Si la prothèse amovible complète retenue par deux implants est le minimum thérapeutique proposé face à un édentement total mandibulaire...
Prothèse

Article réservé à nos abonnés Le joint vélo-palatin

La réussite du traitement d’un édentement total maxillaire par l’intermédiaire d’une prothèse amovible complète dépend notamment de l’efficacité rétentive de...
Prothèse

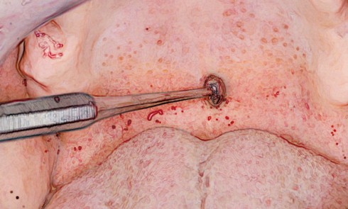
Article réservé à nos abonnés L’allongement de couronne clinique dans la gestion de la limite sous-gingivale : approche parodontale

L’allongement de couronne clinique, ou élongation coronaire, est une technique chirurgicale dont l’objectif est de rendre accessibles au traitement, qu’il...
Parodontologie

Article réservé à nos abonnés Quelques clés pour réussir une prothèse complète à la mandibule

La remontée de marge (également appelée, en anglais, coronal margin relocation ou proximal box elevation) est une technique de gestion...
Parodontologie

Article réservé à nos abonnés Gestion de la limite très sous-gingivale : et pourquoi pas l’extrusion ?

Dans les deux premiers articles du dossier, nous avons pu aborder les techniques actuelles les plus utilisées pour allonger la...
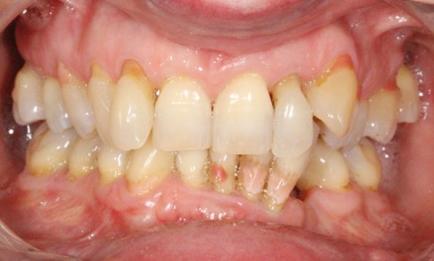
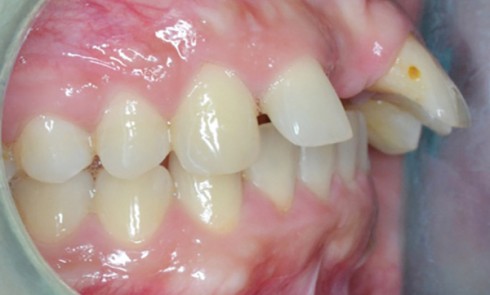
Prothèse fixée

Article réservé à nos abonnés Réhabilitation chirurgico-implanto-prothétique immédiate :

L’exérèse chirurgicale de processus néoplasiques bénins ou malins est la principale cause des pertes de substance acquises maxillo-mandibulaires. À la...
Parodontologie

Article réservé à nos abonnés Gestion de la limite très sous-gingivale : et pourquoi pas l’extrusion ?

Dans les deux premiers articles du dossier, nous avons pu aborder les techniques actuelles les plus utilisées pour allonger la...
ODF

Article réservé à nos abonnés Traitement d’une classe I DDM avec mise en place d’une molaire mandibulaire incluse

Examen clinique Sur le plan esthétique, le visage de face et de profil est harmonieux (fig. 1 et 2). Le sourire est...
ODF

Article réservé à nos abonnés La chirurgie première au service de l’orthodontie

Diagnostic Charlotte présente donc une absence de 11, un surplomb et un recouvrement augmentés associés à une retromandibulie. La patiente...
ODF

Article réservé à nos abonnés À propos d’un cas ortho-paro

Examen clinique Sur le plan exobuccal (fig. 1 à 2), la patiente présente un profil sous-nasal concave, une birétrochéilie et une bascule...
ODF

Article réservé à nos abonnés Le temps et l’orthodontie

Taormina s’est imposée pour deux raisons. Tout d’abord, le désir de retourner en Italie, pays de certains membres du CEO,...
ODF

Article réservé à nos abonnés Une technique d’attelle collée fondée sur les technologies CAD-CAM : le Memotain®

Créées en 2012 par le Dr Pascal Schumacher, orthodontiste allemand, les attelles Memotain® (fabriquées par le laboratoire allemand Ca-Digital et...

Article réservé à nos abonnés Cas d’inclusions multiples atypiques

Présentation du cas clinique Marine consulte, avec une radiographie panoramique (fig. 1), au service d’Odontologie du CHU de Bordeaux. Elle est...

Article réservé à nos abonnés La MIH en pratique

Comment la diagnostiquer ? (fig. 1a à e)• La MIH est une anomalie qualitative de l’émail.• Elle touche au moins une première...
ODF

Article réservé à nos abonnés Extractions des premières molaires atteintes de MIH

Les MIH se manifestent par des taches jaune brun ou blanchâtres préférentiellement localisées sur la moitié occlusale coronaire si l’intégralité...