Formation

Odontologie pédiatrique

Article réservé à nos abonnés Une enquête par questionnaire dans un département français

Une récente revue systématique de la littérature a permis de constater qu’au moins 24 % des dents temporaires affectées par des...

Article réservé à nos abonnés Adhésifs universels

Matériel +/- seringue de gel d’acide orthophosphorique à 37 % Adhésif en flacon ou en unidose de préférence Microbrosses Lampe à...
Biomatériaux

Article réservé à nos abonnés LES MATÉRIAUX POLYMERES

La structure des polymères est extrêmement importante puisque les propriétés mécaniques et physico-chimiques des matériaux, ainsi que leurs processabilités sont...

Article réservé à nos abonnés L’ostéointégration

CHIMIE DES SURFACES IMPLANTAIRES La chimie du matériau utilisé pour produire l’implant et/ou recouvrir sa surface est de première importance....

Article réservé à nos abonnés Les substituts osseux en odontologie

L’augmentation du volume osseux pour des raisons thérapeutiques (volume osseux pré-implantaire insuffisant, par exemple) ou pour le comblement de pertes...
Matériels

Article réservé à nos abonnés Les systèmes adhésifs auto-mordançants

Les systèmes adhésifs précédés d’un mordançage à l’acide phosphorique, que nous avons précédemment développés dans Biomatériaux Cliniques [1], utilisent classiquement...
Matériels

Article réservé à nos abonnés ZIRCONE(S) Partie 1 – À la rencontre de céramiques pas comme les autre

Avant de dresser le portrait critique des matériaux zircone, on peut se demander au préalable à quoi devrait ressembler le...
Matériels

Article réservé à nos abonnés Les résines composites – Partie 1

Depuis leur apparition dans les années 1960, les résines composites (RC) se sont multipliées et sont aujourd’hui les matériaux les...

Article réservé à nos abonnés Allons vers les patients vulnérables

Combien sont-ils ? Quel est le nombre de patients vulnérables n’accédant plus au cabinet dentaire ? Personne ne peut répondre précisément...
Prothèse

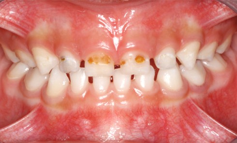
Article réservé à nos abonnés Réhabilitations prothétiques postérieures et carie de la petite enfance

En France, la carie de la petite enfance (CPE) est souvent négligée chez l’enfant en denture temporaire, 24 % des dents...
Esthétique

Article réservé à nos abonnés Polychromie gingivale : quand composite rime avec esthétique

En prothèse complète muco et implanto retenue, il est incontestable que le facteur esthétique principal est assuré par l’arcade prothétique....
ODF

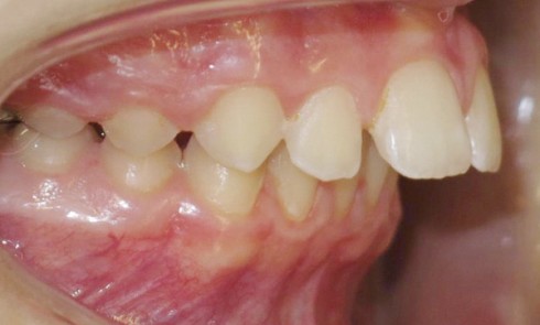
Article réservé à nos abonnés Agénésies des incisives latérales et classe III

La jeune patiente présente, à l’examen clinique extra-oral, une tendance classe III qui se traduit par une protrusion de la...
ODF

Article réservé à nos abonnés Apports des propulseurs mandibulaires dans la prise en charge de la classe II

Mlle B. présente une classe II squelettique par retrognathie mandibulaire dans un contexte vertical hypodivergent. La patiente a déjà bénéficié...
ODF

Article réservé à nos abonnés Traitement d’une classe II 1 – hypodivergente avec inclusion de 17-27

Examen clinique La patiente a bénéficié, à l’âge de 10 ans, d’un traitement interceptif par distracteur maxillaire et arrêt de...
ODF

Article réservé à nos abonnés Objectif : sourire

Ce congrès nous offrira l’occasion inédite de mettre en exergue la transdisciplinarité que convoque la problématique du sourire, bien loin...
ODF

Article réservé à nos abonnés Les latérognathies mandibulaires

Les latéromandibulies (à préférer à « latérognathies mandibulaires ») touchent autant les femmes que les hommes, mais les femmes sont plus nombreuses...