Formation

ODF

Article réservé à nos abonnés Traitement d’orthodontie et bisphosphonates

Pour le traitement de cancers osseux, les doses sont très importantes et s’étendent sur une longue période ; en revanche, pour...

Article réservé à nos abonnés Déplacement dentaire et traitements médicaux

Afin de comprendre l’effet des différents médicaments sur le déplacement dentaire orthodontique, il est nécessaire de rappeler les grandes voies...

Article réservé à nos abonnés À propos d’un cas complexe orthodontie-prothèse

Présentation du cas clinique Il s’agit d’une patiente âgée de 33 ans, adressée par sa praticienne car « elle est dans...
ODF

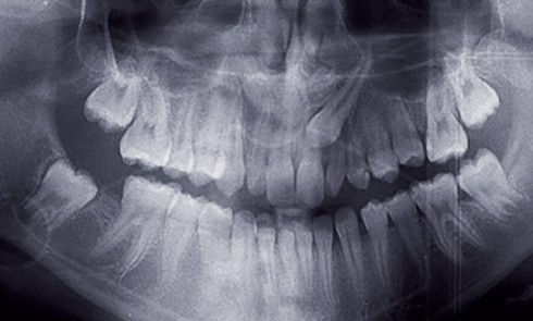
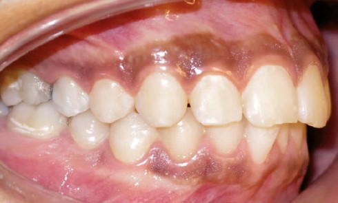
Article réservé à nos abonnés L’extraction de la première molaire permanente

Examen initial Âgée de 15 ans, cette patiente est adressée par son chirurgien-dentiste pour un avis orthodontique car une décision...
CFAO

Article réservé à nos abonnés DOSSIER : Empreinte optique, je m’équipe ?

SOMMAIRE Il était une fois…Gérard Duminil Le flux numérique : Du diagnostic à l’essayage esthétique et fonctionnel Christelle Giacomelli, Thomas...
CFAO

Article réservé à nos abonnés Empreinte optique, Je m’équipe ?

SOMMAIREIl était une fois… Gérard Duminil Le flux numérique : Du diagnostic à l’essayage esthétique et fonctionnelChristelle Giacomelli, Thomas Sastre, Julien...
Prothèse

Article réservé à nos abonnés Influence de l’état de surface de l’extrados prothétique des châssis mandibulaires sur la colonisation bactérienne

elon une étude menée en 2002 par Douglas et Watson [1], l’augmentation de l’espérance de vie génère une population partiellement...

Article réservé à nos abonnés Empreintes en prothèse partielle coulée :

Pour l’omnipraticien et en dépit des progrès de l’implantologie, la thérapeutique de prothèse partielle amovible coulée (PPAC) demeure une solution...
Prothèse

Article réservé à nos abonnés Prise en charge prothétique des patients présentant une perte de substance maxillo-faciale d’origine cancéreuse

Le traitement des cancers de la sphère oro-faciale implique parfois des chirurgies particulièrement mutilantes. Les pertes de substance maxillaire ou...
Prothèse

Article réservé à nos abonnés Les matériaux souples permanents

La perte des dents est hautement nuisible au bien-être de l’individu. Les différentes fonctions manducatrices et l’esthétique globale du visage...
Implantologie

Article réservé à nos abonnés Gestion implantaire d’un édentement antérieur maxillaire

En implantologie, la réhabilitation d’un édentement antérieur maxillaire est un véritable défi pour les praticiens, en raison des attentes élevées...
Hypnose

Article réservé à nos abonnés Ce que n’est pas l’hypnose !

Marie-Laure Grard Bobo et Vianney Descroix Dans ce premier article, et avant d’envisager les différentes définitions de ce qu’est l’hypnose,...

Article réservé à nos abonnés Le gradient prothétique de la dent unitaire

1 – Le principe Face à un traitement à dominante esthétique à étudier, il est important, en premier lieu, de...
Odontologie pédiatrique

Article réservé à nos abonnés Prise en charge prothétique d’un enfant atteint d’une dysplasie ectodermique hypohidrotique

La dysplasie ectodermique est une génodermatose héréditaire liée au chromosome X qui comprend toute une série d’anomalies du développement et...
Chirurgie orale

Article réservé à nos abonnés Prise en charge ortho-chirurgicale des canines maxillaires incluses

L’omnipraticien doit être à même d’intercepter des canines maxillaires incluses et d’orienter précocement le patient vers des praticiens spécialisés. La...
Chirurgie orale

Article réservé à nos abonnés Prise en charge ortho-chirurgicale de dents incluses multiples

L’inclusion dentaire multiple est rare et est peu décrite dans la littérature scientifique [1]. Les étiologies les plus fréquentes de...