Formation

Chirurgie orale

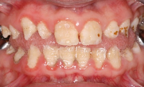
Article réservé à nos abonnés Prise en charge ortho-chirurgicale de dents incluses multiples

L’inclusion dentaire multiple est rare et est peu décrite dans la littérature scientifique [1]. Les étiologies les plus fréquentes de...

Article réservé à nos abonnés Préparation limite

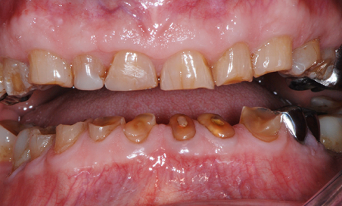
Examen clinique Ce patient est venu dans notre cabinet pour résoudre un problème esthétique vieux de trente ans : une chute...
Esthétique

Article réservé à nos abonnés La réhabilitation du sourire : une affaire de sensibilité

Ces lois qui guident le chirurgien-dentiste dans sa pratique devraient néanmoins être davantage considérées comme des points de repère plutôt...
Esthétique

Article réservé à nos abonnés Traitement de l’agénésie d’une incisive mandibulaire par un bridge cantilever

La présence d’une ou plusieurs agénésies en secteur antérieur constitue un motif de consultation fréquent de nos jeunes patients. Une...
Pathologie

Article réservé à nos abonnés Le bruxisme : actualités pratiques

L’objectif de cet article est d’accompagner les praticiens dans le diagnostic du bruxisme et les premiers pas de la prise...
Endodontie

Article réservé à nos abonnés L’anesthésie ostéocentrale a-t-elle un intérêt en endodontie ?

Les difficultés Si l’anesthésie est facile à obtenir sur les dents maxillaires ainsi que sur les incisives et mandibulaires avec...
Parodontologie

Article réservé à nos abonnés Les allogreffes dans la thérapeutique parodontale

Abandonner les greffes osseuses n’est pas raisonnable, car leur succès a été démontré dans de nombreux rapports de cas (mesures,...

Article réservé à nos abonnés Encore des épulis ?

CAS 1 Motif de la consultation. Patient de 51 ans qui est venu consulter car il avait découvert une tumeur...
Chirurgie orale

Article réservé à nos abonnés Extractions des dents incluses : indications et technique chirurgicale

Outre l’extraction, une dent incluse peut aussi bénéficier d’autres thérapeutiques :– la traction orthodontique ;– l’autotransplantation (c’est-à-dire l’extraction et le repositionnement de...
Chirurgie orale

Article réservé à nos abonnés Échecs des traitements ortho-chirurgicaux

Les échecs des traitements orthodontico-chirurgicaux se définissent comme une absence de mise en place en occlusion fonctionnelle d’une dent incluse...
Chirurgie orale

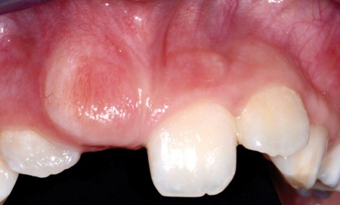
Article réservé à nos abonnés Prise en charge ortho-chirurgicale des incisives maxillaires incluses

Les incisives centrales maxillaires font leur éruption entre 7 et 8 ans et les incisives latérales maxillaires entre 8 et...
Chirurgie orale

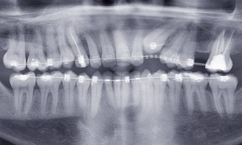
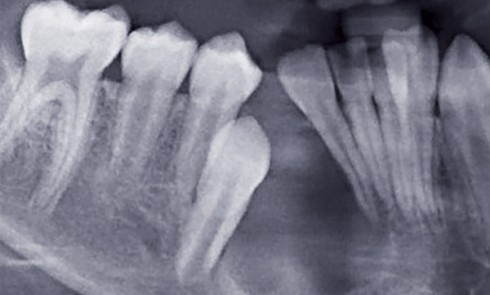
Article réservé à nos abonnés Démarche diagnostique clinique et radiologique face à une dent incluse

L’inclusion dentaire est définie comme une « dent retenue dans l’arcade maxillaire ou mandibulaire au-delà de la date d’éruption, entourée de...
Chirurgie orale

Article réservé à nos abonnés L’inclusion dentaire : définitions, fréquence, causes

Devant tout retard d’éruption, il faut effectuer un bilan clinique et radiologique à la recherche d’une anomalie locale (kyste, odontome…)...
Matériels

Article réservé à nos abonnés Adhésifs en prothèse amovible : contribution aux règles de bon usage et de prescription

Avec le vieillissement de la population et l’augmentation de l’espérance de vie, un accroissement de la population édentée uni ou...
Odontologie restauratrice

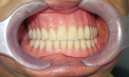
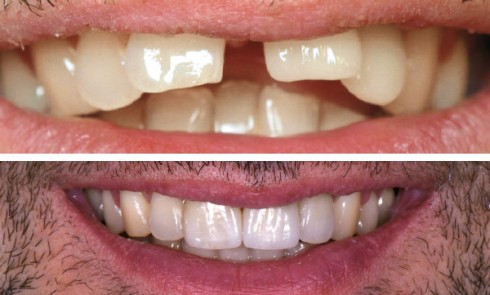
Article réservé à nos abonnés Réflexion thérapeutique et réhabilitation d’un sourire

La demande esthétique des patients ne cesse de progresser et se traduit par une augmentation du nombre de consultations ayant...
Odontologie restauratrice

Article réservé à nos abonnés Réhabilitation d’un patient “gueule cassée”

Nous nous proposons de décrire la restauration d’un cas clinique particulier, victime d’un traumatisme dento-maxillo-facial important. Nous insisterons sur l’aspect...