Formation

Article réservé à nos abonnés Prise en charge « sociale » de l’amélogenèse imparfaite

L’amélogenèse imparfaite est une affection héréditaire qui se manifeste par des défauts amélaires en dentures temporaire et permanente. Cette anomalie...
Implantologie

Article réservé à nos abonnés Implantologie séquentielle en zone esthétique

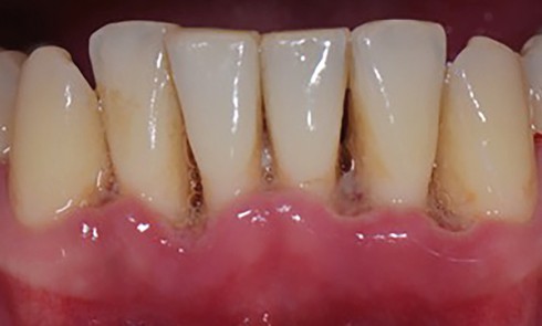
Les paramètres permettant le maintien de manière précise et reproductible des tissus péri-implantaires sur le long terme ne sont pas...
Odontologie restauratrice

Article réservé à nos abonnés Restauration pluridisciplinaire du sourire : à propos d’un cas d’agénésie

Les agénésies des incisives latérales maxillaires sont relativement courantes ; parfois bilatérales, mais le plus souvent unilatérales associées ou non à...
Médecine

Article réservé à nos abonnés À propos d’une lésion bourgeonnante buccale

Le patient présente comme principaux antécédents une démence sénile, un cancer du côlon en rémission (diagnostiqué cinq ans auparavant), une...
Esthétique

Article réservé à nos abonnés Éclaircissement interne, alternative au perborate de sodium

Le mécanisme d’action d’un éclaircissement est fondé sur une oxydation des chromophores organiques. Ces pigments sont caractérisés par la présence...

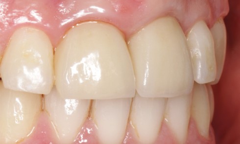
Article réservé à nos abonnés Implantation unitaire et mise en esthétique immédiate

La question Quel est l’intérêt de l’implantation et mise en esthétique immédiate implanto-portée comparée à une temporisation amovible ou collée...
Hygiène et Asepsie

Article réservé à nos abonnés L’indispensable hygiène orale…

La bouche est un lieu complexe où des tissus minéralisés (émail, dentine, cément) et des muqueuses (jugale, labiale, linguale) sont...

Article réservé à nos abonnés Kystes et pseudo-kystes gingivaux

Cas 1  Motif de la consultation. Patient de 50 ans venu consulter pour la découverte fortuite par son chirurgien-dentiste d’une...

Article réservé à nos abonnés La prise en charge en urgence des maladies parodontales ulcéro-nécrotiques

1 – Diagnostic Il s’agit d’une inflammation aiguë, douloureuse, à progression rapide, de la gencive (gingivite nécrotique) susceptible de progresser...

Article réservé à nos abonnés Tendance Février 2018

Matériel La stérilisation, pierre angulaire d’un exercice serein Shopping Focus sur l’éclairage Découverte Coralie Laverdet, sculpteur de bois et papier Espace Cap sur...
Hygiène et Asepsie

Article réservé à nos abonnés La stérilisation pierre angulaire d’un exercice serein !

Extrémité la plus sale du tube digestif », comme disait l’un de nos enseignants, la cavité bucco-dentaire fourmille de micro-organismes et...
Endodontie

Article réservé à nos abonnés Quelles innovations pour la mise en forme canalaire ?

La super-élasticité, propriété essentielle en endodontie Le Ni-Ti a la propriété de changer de structure cristalline en fonction de la...

Article réservé à nos abonnés Microbiologie au cabinet dentaire

Tous les micro-organismes vivants sont constitués d’une entité élémentaire : la cellule. On distingue les cellules eucaryotes (qui constituent les unicellulaires...

Article réservé à nos abonnés Il est normal d’avoir des microbes dans la bouche

Inutile de prétendre vouloir stériliser, par le brossage ou tout autre bain, la bouche des patients. Lors de séances de...

Article réservé à nos abonnés Les précautions standard

Les précautions standard constituent le socle de prévention des risques infectieux pour tout soin, tout lieu, tout patient et tout...

Article réservé à nos abonnés Microbiologie et maladies parodontales

Plus de 700 espèces bactériennes orales ont été identifiées, et l’on dénombre entre 100 et 200 espèces différentes dans une...