Formation

Article réservé à nos abonnés Le point sur les vaccins

La vaccination constitue l’une des principales interventions de santé publique ayant contribué au recul des maladies infectieuses. Néanmoins, avec l’extension...

Article réservé à nos abonnés Évitons l’abus d’antibiotiques !

Étymologiquement, le mot antibiotique vient du grec anti (« contre ») et bios (« vie »). Il s’agit donc d’une substance chimique, produite par...
Esthétique

Article réservé à nos abonnés Le rôle essentiel des étapes de dégrossissage, finitions et polissage des restaurations en résines composites

Questions… Question 1 Quelles sont les étapes nécessaires à la confection d’une restauration en résine composite ?Question 2 Quelle procédure...
Esthétique

Article réservé à nos abonnés L’isolation dans le secteur antérieur

1. Préparation sous digue La mise en place de la digue dentaire dès cette étape permet un meilleur contrôle visuel...
Odontologie pédiatrique

Article réservé à nos abonnés Les clichés radiologiques bite-wing dans le diagnostic de caries interproximales chez l’enfant

1. Principe La sécurité d’abord. Les radiographies ne doivent jamais être prises comme une routine, mais doivent être réalisées seulement...
CFAO

Article réservé à nos abonnés L’empreinte optique en implantologie

Comme pour la méthode classique utilisant des élastomères, le principe est de situer avec précision l’implant dans les trois plans...

Article réservé à nos abonnés ID Magazine – Panorama Clinique

PANORAMA CLINIQUE Coordination scientifiqueGérard Duminil et Michel Bartala L’usinage des bases prothétiques en prothèse amovible complèteCatherine Millet, Guillaume Bonnet La...

Article réservé à nos abonnés Épulis et autres tumeurs gingivales

CAS 1 Motif de la consultation. Patient de 50 ans venu consulter pour la découverte d’une tumeur gingivale lors d’une...
CFAO

Article réservé à nos abonnés Comprendre la CFAO 4D

Il existe de très nombreuses applications à l’enregistrement dynamique du déplacement de la mandibule. Il ne s’agit plus d’une simulation...
CFAO

Article réservé à nos abonnés L’empreinte optique intra-orale en prothèse implantaire

1 – Principe L’empreinte optique intra-orale a été introduite en implantologie dans les années 2000. Son principe consiste à placer...
Odontologie pédiatrique

Article réservé à nos abonnés Incisive centrale unique et holoprosencéphalie

Une enfant et sa mère se présentent en consultation sur recommandation du pédiatre après l’apparition, à l’âge de 14 mois,...
Parodontologie

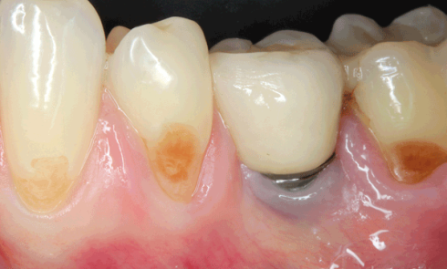
Article réservé à nos abonnés L’augmentation de tissu kératinisé en 10 questions

Orban a, pour la première fois, décrit deux parties de la gencive en 1948 : la gencive attachée, fermement adhérente à...
Endodontie

Article réservé à nos abonnés Comment bien prescrire les antibiotiques ?

Un sujet brûlant Il y a deux ou trois ans, Cécilia Bourguignon, endodontiste à Paris, alors présidente du Cercle Parisien...

Article réservé à nos abonnés Il y a de la mélanine de toutes les couleurs !

CAS 1 Motif de la consultation. Patient de 71 ans venu consulter sur les conseils de son chirurgien-dentiste après la...
Implantologie

Article réservé à nos abonnés Radiographie portable

L’implantologie est devenue quotidienne [1, 2]. Les procédures implantaires sont aujourd’hui établies et consensuelles. De l’examen clinique à la radiographie...
Médecine

Article réservé à nos abonnés À propos d’une lésion labiale

1. Quel diagnostic évoquez-vous ?a. Un lymphomeb. Un kyste salivairec. Un carcinome épidermoïded. Aucun de ces diagnostics 2. Quelle attitude préconisez-vous ?a....