Formation

Pharmacologie

Article réservé à nos abonnés Prescrire chez le patient adulte en oncologie

La nécessité de délivrer rapidement un traitement anticancéreux lorsque le diagnostic de cancer est posé occasionne fréquemment des aménagements voire...
Pharmacologie

Article réservé à nos abonnés Utilisation des antibiotiques en odontologie : les nouveaux défis

Le clinicien doit avoir une utilisation raisonnée au niveau du bénéfice/risque de chaque molécule afin de limiter les résistances [1]....

Article réservé à nos abonnés Traitement des douleurs chroniques : les médicaments des douleurs neuropathiques

La définition la plus consensuelle et la plus récente de la douleur neuropatique (DN) est une douleur entraînée par une...

Article réservé à nos abonnés La prise en charge des douleurs aiguës en chirurgie orale

La prise en charge de la douleur aiguë en chirurgie orale repose sur l’évaluation globale de la douleur avant d’instaurer...
Pharmacologie

Article réservé à nos abonnés Prescrire des probiotiques : Pourquoi ? Comment ?

Les probiotiques peuvent être prescrits et utilisés en complément des thérapeutiques de référence, dans le traitement de lésions carieuses, parodontales...
Pharmacologie

Article réservé à nos abonnés Effets indésirables et interactions médicamenteuses d’intérêt en odontologie

Selon le code la santé publique, les chirurgiens-dentistes peuvent prescrire tous les médicaments nécessaires à l’art dentaire (art. L.4141-2 du...
Prothèse

Article réservé à nos abonnés Réalisation d’une plaque métallique

1 – L’empreinte prise par le praticien est coulée Il s’agit du modèle de travail. Le modèle est passé au...
Prothèse

Article réservé à nos abonnés Réalisation d’une prothèse complète

L’empreinte primaire L’empreinte primaire se réalise avec des porte-empreintes (PE) du commerce, spécifiques à la prothèse complète. Elle peut être...
Prothèse amovible

Article réservé à nos abonnés La prothèse amovible complète

Au stade post-prothétique Étape(s) clinique(s) n° 1 : Les réponses aux doléances (fig. 21)Les impressions et les difficultés rencontrées après...
Prothèse amovible

Article réservé à nos abonnés Prothèse amovible et esthétique

Pour palier l’édentement, la solution implantaire est celle privilégiée en termes de confort, mais elle n’est pas envisageable pour tous...

Article réservé à nos abonnés Transposition de la nouvelle directive Euratom

En 2001, dans une certaine précipitation, la France avait procédé par ordonnance (2001-270 du 28 mars 2001) à la transposition de...

Article réservé à nos abonnés Préservation tissulaire

SOMMAIRE – Préservation tissulaire en odontologie conservatrice. Des outils, un concept, une pratique, un rêve ? Pierre Colon, Caroline Mocquot –...
Endodontie

Article réservé à nos abonnés Qu’est-ce qu’une lésion apicale ?

Infectieuse ou inflammatoire ? Appelée kyste, granulome, LOE (lésion d’origine endodontique), lésion Endos ou encore LIPPE (lésion inflammatoire péri radiculaire d’origine...
Médecine

Article réservé à nos abonnés Prescription et terrains particuliers

La prescription médicamenteuse est un acte quotidien. Cet acte doit être pensé et adapté aux terrains physiologiques mais aussi à...
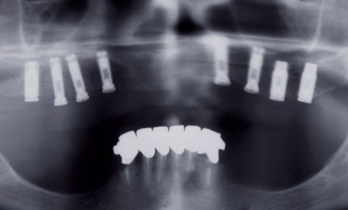
Implantologie

Article réservé à nos abonnés Temporisation en implantologie

Questions… Question 1. Quelles sont les techniques de réalisation ? Question 2. Quelles sont les formes de contour idéales ? Question 3....
Prothèse

Article réservé à nos abonnés Édentement maxillaire : Les complications phonétiques

La présence d’implants antérieurs, lorsque l’édentement est ancien et la résorption osseuse importante, oblige à la création d’espaces entre les...