Formation

Article réservé à nos abonnés ADF 2017 : Le mot du Président scientifique et du Secrétaire scientifique

Après quarante-cinq ans de pratique libérale et de formation continue, que ce soit comme participants ou formateurs, nous sommes très...

Article réservé à nos abonnés Dossier ADF 2017 – Partie 2

Le mot du président scientifique et du secrétaire scientifique Claude Launois, Bernard Weiler  La sélection bibliographique du comité scientifique Chirurgie...

Article réservé à nos abonnés A partir de quel seuil pouvons-nous parler de dissymétrie ?

Définitions La symétrie est pour Bishara un concept théorique qui n’existe que très rarement dans la nature [1].Cliniquement, il vaut...

Article réservé à nos abonnés ADF 2017 : Le mot du Président, Meyer Fitoussi

Dans un environnement délétère où chacun cherche des repères, il nous a paru judicieux de revenir aux fondamentaux pour redonner...

Article réservé à nos abonnés Dossier ADF 2017

PARCOURSQuatre congressistes dévoilent leur ADF idéal…Olivia Kérourédan, Assistante Hospitalo-Universitaire – Cécilia Lai, Interne, DES de Médecine bucco-dentaire – Mickael Griet,...
ODF

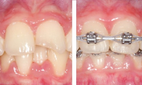
Article réservé à nos abonnés Attitude de l’orthodontiste face aux dents permanentes traumatisées

Traumatismes des tissus durs coronaires Précautions à prendre avant le début du traitement orthodontique (fig. 1) Il est indispensable de :– s’assurer...
CFAO

Article réservé à nos abonnés Interview de Laurent Petitpas, Président de l’AFOND

Quelles ont été vos motivations pour la mise en place du tout numérique en orthodontie et la création d’une association...

Article réservé à nos abonnés Orthodontie et chirurgie d’avancée mandibulaire

Longtemps l’apanage des adolescents, les traitements orthodontiques se démocratisent et se multiplient chez les patients adultes. Quelle que soit la...

Article réservé à nos abonnés Quand l’alpinisme vient révolutionner l’ancrage orthodontique

Vitali Abalakov, célèbre alpiniste soviétique, n’a sûrement jamais imaginé voir son nom dans une revue d’orthodontie ! (fig. 1)Dans les années 1930,...

Article réservé à nos abonnés Extraction asymétrique en technique linguale

Présentation du cas Nicolas D. est un patient de 38 ans qui est venu consulter pour son sourire disgracieux (fig. 1)....

Article réservé à nos abonnés Traitement d’une asymétrie faciale par latéromorphose mandibulaire avec une technique multibague customisée

Cas clinique Il s’agit d’une adolescente de 13 ans présentant une latérognathie mandibulaire modérée.Articulé inversé secteur 1/4 commençant dès 12/42...

Article réservé à nos abonnés Maxillaire dissymétrique avec excès vertical et encoche angulaire marquée : apport du chin-wing

Examen initial Mme E., 37 ans, chauffeur de bus, nous a interrogés lors de la consultation de ses enfants de façon...
CFAO

Article réservé à nos abonnés l’impression 3D

Modélisation géométrique par Conception Assistée par OrdinateurLa conception de la pièce est réalisée à l’aide d’une suite logicielle de CAO....

Article réservé à nos abonnés Le Collège Européen d’Orthodontie a 50 ans

Le C.E.O. qu’est-ce que c’est ? Fondée en 1966 dans le cadre solennel de l’abbaye de Royaumont, par Roger O’Meyer, cette...
Prothèse fixée

Article réservé à nos abonnés Prothèse implantoportée en denture mixte chez l’adolescent atteint de maladies rares

Les traitements implantoprothétiques chez l’adolescent répondent à de nombreuses spécificités, qu’elles soient d’ordre physiologique, anatomique, psychologique ou phénotypique. La mise...
Prothèse

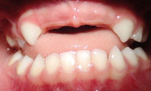
Article réservé à nos abonnés Les solutions prothétiques en cas de perte précoce des dents temporaires

La perte d’une ou plusieurs dents temporaires avant leur date d’exfoliation physiologique est fréquemment observée chez l’enfant. Ces situations cliniques...