Formation

Prothèse

Article réservé à nos abonnés Les solutions prothétiques en cas de perte précoce des dents temporaires

La perte d’une ou plusieurs dents temporaires avant leur date d’exfoliation physiologique est fréquemment observée chez l’enfant. Ces situations cliniques...
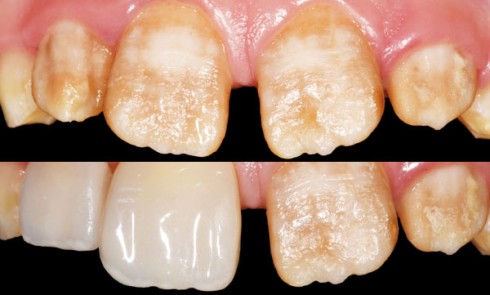
Odontologie pédiatrique

Article réservé à nos abonnés Les différentes facettes de l’odontologie pédiatrique

Les facettes pelliculaires, fréquemment décrites chez l’adulte dans la littérature, font également partie de l’arsenal de solutions thérapeutiques des odontologistes...
CFAO

Article réservé à nos abonnés CFAO et restauration de dents permanentes avec anomalies de structure

Différents types d’anomalies de structure peuvent affecter les dents permanentes. Ces anomalies peuvent être localisées à une ou plusieurs dents...
Esthétique

Article réservé à nos abonnés Facette unitaire : préparation et collage

La restauration d’une incisive centrale est toujours un challenge, car elle doit s’intégrer dans le contexte général du sourire. Le...
Endodontie

Article réservé à nos abonnés Utilisations cliniques des instruments soniques et ultrasoniques en endodontie

Caractéristiques des dispositifs L’oscillation d’un insert sonique ou ultrasonique est définie par sa fréquence de vibration, l’amplitude de ses déplacements...
Esthétique

Article réservé à nos abonnés Le polissage des restaurations à armature zircone

L’inclination actuelle pour les restaurations esthétiques tout céramique, remplaçant les reconstitutions à base métallique, génère de nouveaux défis pour le...
Prothèse

Article réservé à nos abonnés Restaurations esthétiques des molaires temporaires par CFAO

À l’heure actuelle, les CPP métalliques, avec ou sans technique de Hall (fig. 1) constituent la meilleure solution thérapeutique pour les...
Prothèse

Article réservé à nos abonnés Couronnes pédiatriques préformées esthétiques

Différents types de couronnes pédiatriques préformées (CPP) sont commercialisés pour restaurer les dents temporaires délabrées. La plus ancienne, la couronne...
Prothèse

Article réservé à nos abonnés La couronne préformée métallique en odontologie pédiatrique

Bien que leur utilisation soit préconisée par les spécialistes en odontologie pédiatrique, peu d’omnipraticiens posent des couronnes pédiatriques préformées métalliques...
Biomatériaux

Article réservé à nos abonnés Le bisphénol A en odontologie

Le BPA est une substance de synthèse couramment utilisée comme plastifiant dans l’industrie (polycarbonates ou encore résines époxy) depuis le...
Parodontologie

Article réservé à nos abonnés Aphtes et aphtoses bucco-pharyngés

DÉFINITIONLes aphtes sont des ulcérations de la muqueuse buccale spécifiques, secondaires à une vasculite leucocytoclasique. Les aphtes buccaux sont sporadiques...

Article réservé à nos abonnés Rien que du pur MALT ?

Motif de la consultation. Patiente de 19 ans venue consulter pour des douleurs dentaires en rapport avec des caries. Histoire...
Santé publique

Article réservé à nos abonnés Les bains de bouche

L’utilisation des bains de bouche est attestée dans la médecine chinoise depuis 2 700 avant Jésus Christ. Dans la seconde moitié...

Article réservé à nos abonnés ID TENDANCE

Matériel Monter un plateau technique et gérer les fournisseurs  Design intérieur Propositions de palettes de couleurs pour les zones d’attente...

Article réservé à nos abonnés Heuristiques et biais cognitifs dans la pratique odontologique

La capacité diagnostique est un élément fondamental et légitime de l’activité du médecin et du chirurgien-dentiste. Si les outils technologiques...
Implantologie

Article réservé à nos abonnés L’ostéodensification : un nouveau concept de forage en implantologie

L’importance du forage en implantologie Les conditions du succès en implantologie moderne ont été définies par Brånemark et son équipe...