Formation

Prothèse

Article réservé à nos abonnés Prothèse amovible complète mandibulaire implanto-retenue par un implant

Dès 1997, Cordioli et al. [2], s’interrogeant sur le nombre d’implants nécessaires pour assurer la rétention d’une prothèse complète amovible...
Implantologie

Article réservé à nos abonnés Mise en charge immédiate mandibulaire

Une patiente consulte car elle ne supporte plus le port de sa prothèse amovible mandibulaire, pourtant suffisamment stable grâce à...

Article réservé à nos abonnés Dépistage des Dysfonctionnements de l’Appareil Manducateur et leurs facteurs de risque

Les Dysfonctionnements de l’Appareil Manducateur (DAM), aussi appelés Algies et Dysfonctionne-ments de l’Appareil Manducateur (ADAM) ou Dysfonctionnements Temporo-Mandibulaires (DTM), regroupent...
Prothèse

Article réservé à nos abonnés Approches multidisciplinaires et solutions prothétiques chez des patients à besoins spécifiques

Une définition des patients à besoins spécifiques les désigne comme étant « ceux pour lesquels une déficience ou une limitation de...
Prothèse

Article réservé à nos abonnés Prothèse amovible supra-implantaire et édentement partiel : choix raisonné d’un traitement évolutif

Devant l’édentement partiel de grande étendue, pour lequel la prothèse fixée conventionnelle est inenvisageable, plusieurs solutions thérapeutiques viennent naturellement à...
Prothèse

Article réservé à nos abonnés Le veneerlay : une option thérapeutique

La dentisterie adhésive a ouvert un champ illimité de possibilités restauratrices extrêmement conservatrices et très fiables. Les restaurations partielles ont...
Prothèse

Article réservé à nos abonnés Final esthetic validation : une nouvelle technique de validation ultime du projet esthétique en bouche

Actuellement, nos restaurations doivent présenter un aspect le plus naturel possible, grâce à un parfait biomimétisme. Les critères esthétiques à...
Prothèse

Article réservé à nos abonnés Les conus : un outil de transition vers l’édentation totale

En 1923, G.W. Gillet écrivait dans le Journal National of Dental Association « The next decade will see the end of...
Prothèse

Article réservé à nos abonnés Apport de la CFAO à la réalisation d’obturateurs maxillaires :

La prothèse obturatrice est une prothèse maxillo-faciale utilisée pour fermer, couvrir et maintenir l’intégrité des compartiments oraux et nasaux lorsque...
Implantologie

Article réservé à nos abonnés DOSSIER : Édentement maxillaire

Prothèse télescopique sur barre fraisée : une option à prendre en compte au maxillaire édenté !Anne Claire Metz, Michel Metz   Combien...
Prothèse

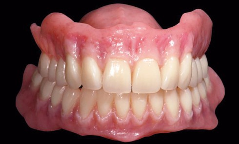
Article réservé à nos abonnés Protocole de réalisation d’une prothèse complète bimaxillaire par CFAO

Aujourd’hui, grâce à la Conception et à la Fabrication Assistée par Ordinateur (C.F.A.O.), nous avons la possibilité d’améliorer la qualité...

Article réservé à nos abonnés Montre-moi ta langue, je te dirai qui tu es !

CAS 1 Motif de la consultation. Patiente de 78 ans venue consulter pour des brûlures de la langue au moment...
Implantologie

Article réservé à nos abonnés Péri-implantite : quel traitement ?

Questions… Question 1 Quelle est l’étiologie des péri-implantites ? Question 2 Quelles sont les options thérapeutiques ? Question 3 Quels sont...
Anesthésie

Article réservé à nos abonnés Avulsion de molaires mandibulaires

La suppression de la sensation douloureuse lors de l’exodontie est un impératif incontournable si l’on veut éviter au patient « une...

Article réservé à nos abonnés L’assistante dentaire et la médecine du travail

Les risques professionnels suscitent de nombreuses discussions et interrogations de la part des personnels du cabinet dentaire. Comment appréhender et...

Article réservé à nos abonnés La digue dentaire

La digue dentaire est l’un des consommables les plus anciens à la disposition des cabinets dentaires avec l’amalgame. On attribue...