Formation

Article réservé à nos abonnés Bonus des Dysfonctionnements temporo-mandibulaires

Cas cliniques Syndrôme de Langenbeck – DTM secondaire – VISUALISER Fiche cas clinique 2 : hypercondylie gauche – VISUALISER DAM...

Article réservé à nos abonnés Dossier tabac

Sommaire Dépistage des cancers du poumon et des voies aérodigestives supérieures chez le fumeurMarie Warniez, Alexis Cortot, François Mouawad Tabagisme...

Article réservé à nos abonnés Id mag été 2017

Coordination scientifiqueGérard Duminil et Michel Bartala L’anesthésie : comment calculer les doses d’anesthésiques locaux pour un patient en bonne santé ?Thierry Collier...
Endodontie

Article réservé à nos abonnés L’évasement coronaire du canal

Les instruments d’élargissement coronaire ont pour but de travailler à la jonction corono-radiculaire et de supprimer les contraintes initiales pour...
Pathologie

Article réservé à nos abonnés Signe de Romberg postural dans le diagnostic et le suivi des pathologies de l’ATM

Les pathologies de l’articulation temporo-mandibulaire (ATM) sont de plus en plus fréquentes et multifactorielles [1-4]. La prédisposition anatomique ou génétique,...
Pathologie

Article réservé à nos abonnés L’évasement coronaire du canal

Les instruments d’élargissement coronaire ont pour but de travailler à la jonction corono-radiculaire et de supprimer les contraintes initiales pour...
Pathologie

Article réservé à nos abonnés Signe de Romberg postural dans le diagnostic et le suivi des pathologies de l’ATM

Les pathologies de l’articulation temporo-mandibulaire (ATM) sont de plus en plus fréquentes et multifactorielles [1-4]. La prédisposition anatomique ou génétique,...
Prothèse

Article réservé à nos abonnés Restauration antérieure maxillaire : compromis esthétique et fonctionnel

Toute réhabilitation prothétique impliquant le secteur incisivo-canin soulève le problème de l’esthétique du visage, de l’harmonie dento-faciale et par là...
Odontologie pédiatrique

Article réservé à nos abonnés Odontologie prothétique réformer l’évaluation des connaissances

L’évaluation des étudiants en odontologie doit être la plus objective possible. La faculté de Paris Descartes avait présenté lors des...

Article réservé à nos abonnés Piézographie : technique de choix dans la prise en charge des crêtes plates et négatives mandibulaires

Le praticien reçoit fréquemment en consultation des patients édentés totaux ayant des crêtes mandibulaires plates ou négatives avec tous les...

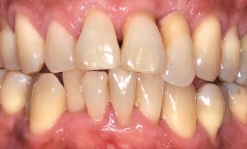
Article réservé à nos abonnés Gestion sans implant des secteurs antérieurs traumatisés

Après un traumatisme, la réhabilitation de l’édentement unitaire dans le secteur antérieur peut devenir un véritable défi, esthétique et fonctionnel,...
Esthétique

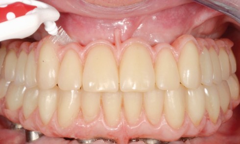
Article réservé à nos abonnés Polychromie gingivale : quand composite rime avec esthétique

En prothèse complète muco et implanto retenue, il est incontestable que le facteur esthétique principal est assuré par l’arcade prothétique....

Article réservé à nos abonnés Intérêts du montage directeur dans la planification chirurgicale et prothétique des bridges supra-implantaires sur « pilotis »

La perte de l’ensemble des dents maxillaires et/ou mandibulaires entraîne un triple handicap d’ordre : fonctionnel, esthétique et social. De nos...

Article réservé à nos abonnés Intérêts de la préservation alvéolaire

Pour Schropp et coll., au cours des 12 mois suivant l’extraction, l’épaisseur de la crête alvéolaire diminue de 50 %, ce...
ODF

Article réservé à nos abonnés Le diagnostic muco-gingival en orthodontie : avant, pendant, après. Quand faut-il intervenir ?

L’un des objectifs de l’orthodontie est d’améliorer l’architecture dento-parodontale et par là même prévenir la survenue de pathologies parodontales sur...
ODF

Article réservé à nos abonnés Parodontite sévère : quand l’orthodontie et les traitements biomimétiques redonnent le sourire

Les maladies parodontales entraînent des destructions irréversibles des tissus muqueux et osseux, qui peuvent avoir d’importantes répercussions esthétiques et altérer...