Formation

ODF

Article réservé à nos abonnés Thérapeutiques accélératrices du déplacement dentaire orthodontique : où en est-on en 2016 ?

L’accélération du déplacement dentaire orthodontique répond à une demande toujours croissante de traitements orthodontiques courts, en particulier chez l’adulte.De multiples...
ODF

Article réservé à nos abonnés Comment l’orthodontie favorise la régénération des lésions parodontales ?

Une grande partie de la population adulte souffre de parodontite. Bien souvent, dans les formes sévères, la diminution du boîtier...
ODF

Article réservé à nos abonnés Le diagnostic muco-gingival en orthodontie : avant, pendant, après. Quand faut-il intervenir ?

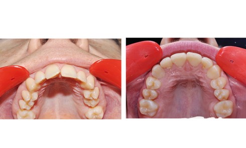
L’un des objectifs de l’orthodontie est d’améliorer l’architecture dento-parodontale et par là même prévenir la survenue de pathologies parodontales sur...
ODF

Article réservé à nos abonnés Parodontite sévère : quand l’orthodontie et les traitements biomimétiques redonnent le sourire

Les maladies parodontales entraînent des destructions irréversibles des tissus muqueux et osseux, qui peuvent avoir d’importantes répercussions esthétiques et altérer...
ODF

Article réservé à nos abonnés Chronologie du plan de traitement : paro, ortho, implanto

Depuis les travaux de Brånemark, l’implantologie moderne basée sur les données scientifiques offre une option thérapeutique fiable à long terme....

Article réservé à nos abonnés Une histoire de HPV !

CAS 1 Motif de la consultation. Patientde 48 ans venu consulter pour une lésion sur la pointe de la langue....

Article réservé à nos abonnés Prévention des complications infectieuses péri-implantaires par aéropolissage

Histopathologie Les tissus parodontaux péri-implantaires présentent des caractéristiques similaires à celles des tissus parodontaux des dents naturelles. Il existe cependant...
ODF

Article réservé à nos abonnés Evaluation esthétique de la chirurgie d’avancée mandibulaire

Ainsi, en présence d’une rétrognathie mandibulaire sans possibilité de croissance, deux options thérapeutiques sont envisageables. La correction de la classe...
ODF

Article réservé à nos abonnés Correction d’une classe II division 1 à l‘aide de la technologie Insignia d’orthodontie customisée

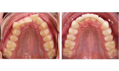
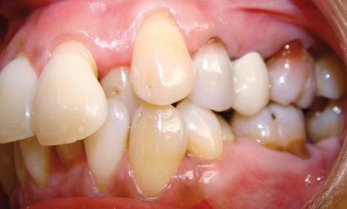
La patiente est une adulte de 22 ans présentant une rétrognathie mandibulaire associée à une endoalvéolie mandibulaire avec un défaut...
ODF

Article réservé à nos abonnés Chirurgie orthognathique en première intention

Avantages et inconvénients Cette approche présente plusieurs avantages pour le patient [2-4].• Elle évite l’aggravation esthétique et parfois fonctionnelle liée...
ODF

Article réservé à nos abonnés La dimension psychologique dans les protocoles orthodontico-­chirurgicaux

Les protocoles orthodontico-­chirugicaux sont notre quotidien dans la prise en charge de nos patients en orthodontie. Les indications orthodontiques ne...
ODF

Article réservé à nos abonnés Ostéotomies du rebord mandibulaire

L’anatomie du rebord mandibulaire présente deux structures majeures qui sont le menton et l’angle mandibulaire. Les ostéotomies conventionnelles ont longtemps...
ODF

Article réservé à nos abonnés 89e réunion scientifique de la SFODF

Evènement international Près de 600 participants étaient réunis dans le cadre enchanteur du Casino Municipal de Biarritz ; des français...
Implantologie

Article réservé à nos abonnés Dossier : l’assistante dentaire en implantologie

Sommaire  L’assistante en implantologie : la rigueur !Manon Djerfi, assistante dentaire L’assistante dentaire en implantologie a un rôle primordial dans le bon...
Implantologie

Article réservé à nos abonnés Réhabilitation et implantologie basale

Si certains articles échappent aux critères établis pour une publication dans notre revue, leur publication peut toutefois se révéler intéressante...
Odontologie restauratrice

Article réservé à nos abonnés Intérêts et mise en œuvre d’un teintier personnalisé

Les outils actuels sont-ils adaptés à l’enregistrement de la couleur dans les méthodes de restaurations directes ? Afin de répondre à...