Formation

Article réservé à nos abonnés À propos d’une lésion pigmentée de la fibro-muqueuse palatine

QUIZ  1. Quels sont les éléments importants à faire préciser à l’interrogatoire ?a. Prise d’anticoagulants b. Recherche d’antécédents de traumatisme oralc....

Article réservé à nos abonnés Économie tissulaire et préparations partielles

« No-Post, No-Crown » Formes de préparation contemporaines pour les restaurations adhésivesI. Secteur antérieurII. Secteur postérieurSolène Marniquet, Gil Tirlet L’overlay le successeur...
Odontologie restauratrice

Article réservé à nos abonnés Reconstitution corono-radiculaire fibro-architecturée

La solution exposée dans cet article découle d’une analyse critique des concepts actuels, de l’exploitation de nos connaissances en matière...
Chirurgie orale

Article réservé à nos abonnés Point sur les indications d’avulsion des dents de sagesse et l’intérêt du CBCT sur les risques chirurgicaux

Les molaires permanentes sont issues d’une prolifération du bord libre de la lame dentaire qui évolue en direction distale (fig. 1)....

Article réservé à nos abonnés Dossier : Odontologie pédiatrique

SOMMAIRE   Coordination Frédérique d’Arbonneau, Faculté de Brest L’enfant, un patient comme les autres ? Hervé Foray, Sylvie Dajean-Trutaud Le MEOPA :...
Esthétique

Article réservé à nos abonnés Finition et polissage des composites

Vrai ou faux… Question 1. Plus les charges d’un composite sont importantes, plus il sera résistant et facile à polir...
Esthétique

Article réservé à nos abonnés Techniques de transfert du profil d’émergence lors de la confection de la prothèse d’usage

Le profil d’émergence de la couronne est : – créé au laboratoire ou au cabinet lors de la confection de la...

Article réservé à nos abonnés Accroissements gingivaux diffus pigmentés

CAS 1 Motif de la consultation. Patiente de 25 ans venue consulter pour un accroissement gingival saignant au moindre contact....
Prothèse

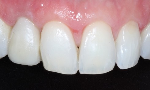
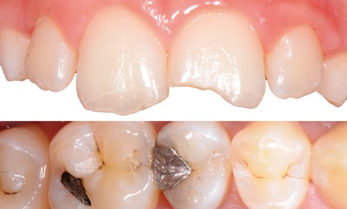
Article réservé à nos abonnés No-Post, No-Crown. Formes de préparation contemporaines pour les restaurations adhésives

Depuis deux décennies, le concept d’adhésion a considérablement bouleversé la pratique de l’art dentaire et le mode de pensée du...
Médecine

Article réservé à nos abonnés Une image radiologique atypique

1. Quel est le diagnostic évoqué par l’image radiologique ? a. Sinusite maxillaire droiteb. Lésion kystique maxillaire droitec. Sinusite aspergillaire droited....

Article réservé à nos abonnés DOSSIER : Prévention des risques

Effets des nuisances sonores Les nuisances sonores se rencontrent dans différentes situations : activités professionnelles, loisirs, et parfois de façon accidentelle....
ODF

Article réservé à nos abonnés Présentation d’un cas de classe II – Thérapeutique sur un schéma squelettique de classe III

Diagnostic (fig. 1 à 3) Sylvie se présente à l’âge de 15 ans avec une classe III squelettique (ANB -7,6°) d’origine maxillaire...
ODF

Article réservé à nos abonnés Intérêt de la chirurgie précoce dans un syndrome de Recklinghausen

Diagnostic synthétique Analyse esthétique : la patiente présente une asymétrie faciale (fig. 1a et b) associée à un profil convexe. Son...
ODF

Article réservé à nos abonnés Transposition complète canine première prémolaire maxillaires

Les dents concernées par une transposition complète ont permuté leur place et leurs axes dentaires sont parallèles entre eux (couronnes...
Prothèse

Article réservé à nos abonnés Traitement d’un édentement unitaire antérieur

Depuis quelques années, la dentisterie prothétique et restauratrice s’inscrit dans un schéma d’économie tissulaire maximale par l’intermédiaire de la dentisterie...
Endodontie

Article réservé à nos abonnés Utilisations cliniques des instruments soniques et ultrasoniques en endodontie

Propriétés physiques des instruments soniques et ultrasoniques Une vibration est définie par sa fréquence et son amplitude. Nous parlerons de...