Formation

Prothèse

Article réservé à nos abonnés Présentation du patient, anamnèse, choix thérapeutiques

Nous avons pris en charge ce patient en mai 2014. Il s’agit d’un homme, âgé à l’époque de 56 ans, édenté...
Prothèse

Article réservé à nos abonnés Les prothèses muco-portées : étapes cliniques

Pour chaque patient édenté total, il est impératif de rechercher le cadre fonctionnel et esthétique idéal de la future prothèse...
Prothèse

Article réservé à nos abonnés Les prothèses muco-portées : étapes de laboratoire

Le modelage fonctionnel et l’enregistrement des rapports intermaxillaires exécutés par le praticien comportent toutes les informations précieuses à exploiter par...
Prothèse

Article réservé à nos abonnés Etapes chirurgicales : explorations préalables et chirurgie implantaire

La prothèse complète bimaxillaire muco-portée n’autorise pas une mastication aussi efficace qu’en denture naturelle. La fonction d’incision est contre-indiquée et...
Prothèse

Article réservé à nos abonnés Prothèses implanto-stabilisées : clinique

DÉCISION THÉRAPEUTIQUE Après la période d’ostéointégration, la troisième étape clinique peut débuter. Concernant ce patient, le choix de PMPIS, et...
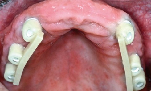
Prothèse

Article réservé à nos abonnés Prothèses implanto-stabilisées sur piliers télescopiques : étapes de laboratoire

Le patient est porteur d’une prothèse complète bimaxillaire mucoportée réalisée grâce à la piézographie qui a délivré toutes les informations...
Prothèse

Article réservé à nos abonnés Discussion, conclusion sur ce cas clinique

Avantages de la démarche • Lorsque le challenge, qui consiste à faire coïncider au mieux les exigences prothétiques définies par...
Prothèse

Article réservé à nos abonnés Une structure originale de formation et de soins en Prothèse Amovible Complète Aera Smile

JPL : Comment vous êtes-vous intéressé au domaine de la prothèse amovible complète ?PP : En 1988, j’ai suivi ma première formation à...

Article réservé à nos abonnés Macrocheilies mécaniques ou réactionnelles ?

CAS 1 Motif de la consultation. Patiente de 55 ans venue consulter pour une macrocheilie constituant une gêne esthétique majeure...
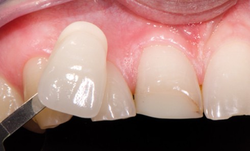
Odontologie restauratrice

Article réservé à nos abonnés Réhabilitation d’une incisive centrale

1. Vue vestibulaire de l’ancienne restauration en composite. Une visualisation de la teinte de base est effectuée. 2. Après une prise...

Article réservé à nos abonnés Péri-implantite et cancer

Dans un récent numéro de L’Information Dentaire était évoqué le problème des relations entre péri-implantite et cancer sous le titre...
Matériels

Article réservé à nos abonnés L’expo IDS 2017

Sommaire   Les coulisses de l’exposition Ambiance, fréquentation…Frédéric Bohin analyse le rendez-vous bisannuel de la médecine bucco-dentaire Zoom sur… Découvrez...

Article réservé à nos abonnés Impression et odontologie

Coordination scientifique Sylvain Catros, Maxime Jaisson Sommaire Impression 3D et « motion capture ».De nouvelles dimensions apportées à la prothèse complèteMaxime Jaisson...

Article réservé à nos abonnés Relation entre les désordres temporo-mandibulaires et les malocclusions

Durant de nombreuses années, la littérature a illustré le rôle clé des facteurs occlusaux dans le développement des dysfonctionnements de...

Article réservé à nos abonnés Épulis ou granulome à cellules géantes ?

CAS 1 Motif de la consultation. Patiente de 25 ans venue consulter pour l’apparition d’une tuméfaction gingivale « disgracieuse » et non...
Implantologie

Article réservé à nos abonnés Atrophie maxillaire extrême

La chirurgie pré-implantaire est bien décrite [1] et peut consister en des greffes d’apposition et/ou des comblements sinusiens avec des...