Formation

Biomatériaux

Article réservé à nos abonnés Pourquoi le transfert des apprentissages est-il nécessaire ?

Parce qu’il leur donne du sens et réduit la distance entre la théorie (la « science » des biomatériaux) et la pratique...
Biomatériaux

Article réservé à nos abonnés Le PEEK et le PEKK

Un nouveau matériau polymère, sous la dénomination de l’acronyme PEEK, est utilisé depuis quelques années en odontologie. Ce matériau est...
Prothèse amovible

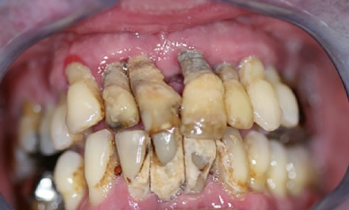
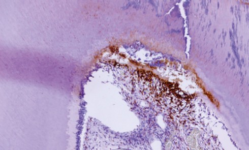
Article réservé à nos abonnés Site implantaire et lésion endodontique des dents adjacentes : quelles recommandations ?

La péri-implantite rétrograde (PIR) est une notion récente, se définissant comme une lésion cliniquement symptomatique à l’apex d’un implant (radioclarté...

Article réservé à nos abonnés Gestion d’une agénésie incisive latérale

Présentation du cas Une patiente de 30 ans se présente en consultation pour envisager le traitement d’une agénésie de l’incisive...

Article réservé à nos abonnés Intérêt du profil d’émergence des prothèses immédiates dans la gestion des tissus mous

Le traitement de la situation d’édenté complet en devenir par une prothèse immédiate implanto- portée a été maintes fois décrit...
Prothèse amovible

Article réservé à nos abonnés Empreinte secondaire et enregistrement de la relation intermaxillaire en PAC : approche neuromusculaire

La réhabilitation prothétique de l’édenté total constitue un véritable challenge thérapeutique pour le praticien. En effet, à une restauration fonctionnelle...
Prothèse amovible

Article réservé à nos abonnés L’usinage des bases prothétiques en prothèse amovible complète

Les éléments de prothèse conjointe élaborés de façon numérique, dans le cabinet du praticien ou dans les laboratoires de prothèse,...
Prothèse amovible

Article réservé à nos abonnés La prothèse partielle à châssis métallique : de l’empreinte optique à la fabrication additive

La réalisation d’une prothèse amovible partielle (PAP) nécessite un certain nombre d’étapes cliniques successives, bien définies dans la littérature [1-4]....
Prothèse amovible

Article réservé à nos abonnés Gestion numérique de l’occlusion en prothèse amovible partielle : montage des dents et réalisation des selles

L’élaboration de châssis métalliques de prothèse amovible partielle (PAP) par CFAO semble être aujourd’hui bien maîtrisée [1, 2]. En revanche,...
Prothèse amovible

Article réservé à nos abonnés Choix de la morphologie et du montage des dents postérieures: allier classicisme et innovation

Les dents constituent la partie visible et fonctionnelle des prothèses. Aux yeux des patients, elles représentent l’élément le plus important.Les...
Prothèse amovible

Article réservé à nos abonnés Le smile design chez l’édenté total : optimiser le choix des dents prothétiques grâce au numérique

Alors qu’en 1915, en se basant sur les nombreux progrès réalisés dans le domaine des soins conservateurs, G. W. Gillet...
Prothèse amovible

Article réservé à nos abonnés Apports de la CFAO en prothèse amovible complète implanto-retenue

Le traitement de l’édenté complet a vécu au cours des cinq dernières décades une véritable révolution avec l’avènement de l’implantologie...
Endodontie

Article réservé à nos abonnés La pulpite irréversible

La pulpite : de l’histo-physio-pathologie à la clinique Le mot « pulpite » est une contraction du mot « pulpe » et du suffixe « -ite »...

Article réservé à nos abonnés L’hypominéralisation molaires-incisives – MIH

Rappels sur la MIH  Définition Lors du 6e congrès de l’Académie Européenne d’Odontologie Pédiatrique (2003), il a été convenu que...

Article réservé à nos abonnés Dossier, Sexe & Bouche

SOMMAIRE Flash info : les IST, ça continue ! Brigitte Milpied Les infections sexuellement transmissibles (IST) représentent un problème de santé publique...
Prothèse

Article réservé à nos abonnés Restauration adhésive céramo-céramique en cantilever

L’arrivée de céramiques vitreuses renforcées au disilicate de lithium (IPS e.max, Ivoclar Vivadent) a permis d’allier résistance mécanique, aptitude au...