Formation

Prothèse

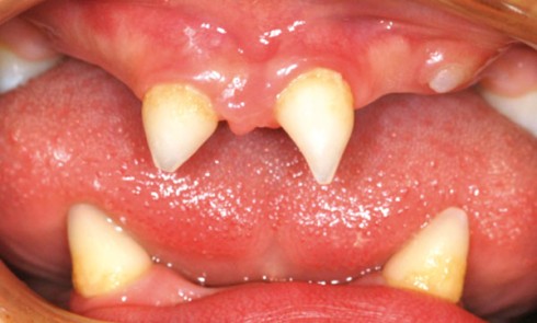
Article réservé à nos abonnés Restauration adhésive céramo-céramique en cantilever

L’arrivée de céramiques vitreuses renforcées au disilicate de lithium (IPS e.max, Ivoclar Vivadent) a permis d’allier résistance mécanique, aptitude au...
Prothèse

Article réservé à nos abonnés Gérer un échec en prothèse implantaire : apport des technologies actuelles

La réhabilitation des patients édentés totaux pose toujours en 2017 de nombreuses difficultés, en particulier dans le traitement de l’arcade...
Prothèse

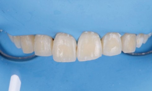
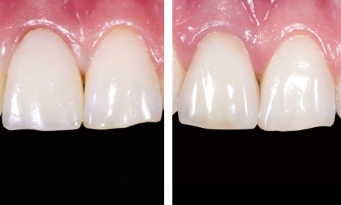
Article réservé à nos abonnés Reconstructions des dents antérieures dépulpées :

Problématiques de la reconstruction des dents antérieures dépulpées Pour les dents antérieures, les pertes de substanceverticales sont souvent importantes et...
Prothèse

Article réservé à nos abonnés Prothèse implantaire transvissée tout céramique collée sur embase titane

Examen clinique Un jeune patient consulte pour combler un édentement unitaire en 14. Un implant dentaire (Bone Level NC®, Straumann)...
Prothèse

Article réservé à nos abonnés Hypertrophie osseuse et réhabilitation prothétique par prothèse amovible complète immédiate d’usage

Le succès thérapeutique de toute réhabilitation prothétique complète passe par la confection d’une prothèse fonctionnelle et esthétique parfaitement intégrée au...
Prothèse

Article réservé à nos abonnés Utilisation du projet virtuel en odontologie dans une thérapeutique d’optimisation esthétique du sourire

Depuis plusieurs années, la demande esthétique des patients ne cesse de progresser. Dans nos sociétés modernes occidentales qui attachent beaucoup...
Prothèse

Article réservé à nos abonnés Dysplasie ectodermique hypohidrotique : prise en charge d’un cas clinique

Les dysplasies ectodermiques forment un groupe hétérogène de plus de 200 syndromes rares et complexes caractérisés par l’atteinte de plusieurs...
Prothèse

Article réservé à nos abonnés Paramètres essentiels pour la réalisation d’une prothèse céramo-céramique sur zircone

Dans la première partie de cet article [1], nous avons présenté l’historique et l’évolution du matériau zircone, les composants en...

Article réservé à nos abonnés Le binôme praticien-prothésiste Un couple fragile ?

Si l’histoire de l’art dentaire commence en Egypte à la fin de la quatrième dynastie (2500 avant JC), jusqu’à une...

Article réservé à nos abonnés Prescription et pose d’orthèses d’avancée mandibulaire : rôle de l’assistante dentaire

Rôle de l’assistante dentaire Décision de mise en place : que le patient soit envoyé par un médecin, par un...

Article réservé à nos abonnés Cabinet dentaire/laboratoire et si on s’organisait différemment ?

Que s’est-il passé ? Le praticien dira peut-être : Jérôme est mal organisé !L’assistante répondra : tout à fait … Jérôme rétorquera : je suis...

Article réservé à nos abonnés Présence parentale en salle de soins

Une étude de l’université de Yale a montré que les parents influençaient leur enfant dans leur ressenti émotionnel. Ainsi, l’accompagnement...

Article réservé à nos abonnés La communication au cœur de nos cabinets

Et pourtant cela reste essentiel pour que tous les autres rendez-vous se passent bien et que patient, assistante et praticien...
ODF

Article réservé à nos abonnés Tout ce que vous avez toujours voulu savoir sur la traçabilité sans jamais oser le demander

Pourquoi la traçabilité ? Pour prouver que la stérilisation a été faite et bien faite répondant ainsi à l’obligation de sécurité :...
ODF

Article réservé à nos abonnés Extrusion orthodontique d’une incisive maxillaire

Situation clinique (fig. 1 à 9) Orlhane B., 10 ans, est adressée à l’unité fonctionnelle d’orthodontie de l’hôpital Bretonneau par son dentiste...
ODF

Article réservé à nos abonnés Traitement des leucomes apparus lors des thérapeutiques orthodontiques fixes

Bien que les dispositifs multi-attaches constituent actuellement une entrave à l’hygiène bucco-dentaire beaucoup moins importante que par le passé, ils...