Formation

ODF

Article réservé à nos abonnés Traitement orthochirurgical d’une classe I DDM

Examen clinique À l’examen exobuccal, le visage est ovalaire, les étages de la face sont équilibrés. Le profil général est...
ODF

Article réservé à nos abonnés Apport des nouvelles techniques chirurgicales dans notre prise en charge

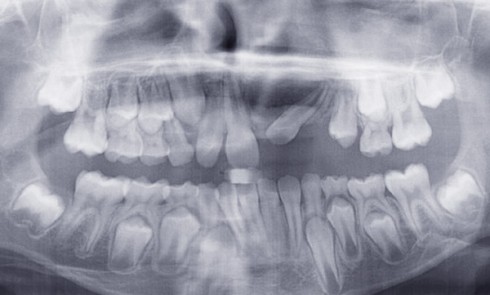
Mme M. présente une classe II squelettique par rétrognathie mandibulaire dans un contexte vertical hyperdivergent sévère se traduisant par un profil...
ODF

Article réservé à nos abonnés Gestion restauratrice post chirurgicale de l’enfant

Examen clinique Le jeune Yoan 9 ans est adressé par son chirurgien maxillofacial, suite à l’exérèse d’un kyste bénin du...
Implantologie

Article réservé à nos abonnés Avantages du pilier de cicatrisation anatomique personnalisé par CFAO dans le protocole d’implantation immédiate

Le point positif de l’extraction-implantation immédiate (EII) est d’abord la réduction du nombre de procédures chirurgicales et du temps de...
Occlusodontologie

Article réservé à nos abonnés La mastication… certes, mais !

1. Dents usées : un modèle archaïque peu économe des dents Des arcades dentaires usées dès le plus jeune âge sont...
Endodontie

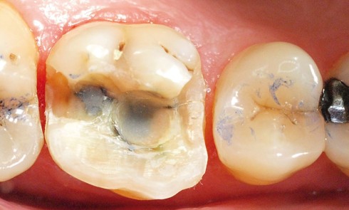
Article réservé à nos abonnés Préparations pour endocouronnes

Vrai ou faux… Question 1. La limite cervicale de l’endocouronne est réalisée sous forme d’un épaulement ou d’un congé large....
Esthétique

Article réservé à nos abonnés La séance de mock-up

Le matériel 1  De l’analyse à la clé de mock-up Situation initiale, sourire naturel, hors image calibrée pour le protocole....
Biomatériaux

Article réservé à nos abonnés L’image en MEB: And when bond a fiber reinforced post1 is a mandatory2 procedure? (Part 2)

When we get closer, when we increase the magnification of an endodontically treated tooth restored with a fiber reinforced post...
Occlusodontologie

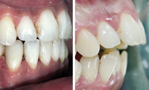
Article réservé à nos abonnés Occlusion, diagnostic et proposition de traitement

Présentation, diagnostic Voilà 6 mois, une patiente se présente à notre cabinet au motif d’une douleur récurrente sur le secteur...
Biomatériaux

Article réservé à nos abonnés Fracture par fatigue des éléments prothétiques

Caractérisation mécanique des matériaux Afin de répondre à ces problèmes d’échecs mécaniques, les ingénieurs et les fabricants proposent des matériaux...
Biomatériaux

Article réservé à nos abonnés Finitions esthétiques des céramiques usinées

Les restaurations en céramique usinée présentent des caractéristiques esthétiques et de biocompatibilité qui ont largement fait leurs preuves. Les restaurations...
Biomatériaux

Article réservé à nos abonnés Réalisation d’un guide chirurgical implantaire au cabinet par impression 3D

Conception du guide Traditionnellement, cette conception passe par une étude du cas clinique à partir de moulages d’empreinte. Après mise...
Biomatériaux

Article réservé à nos abonnés l’impression 3D

Dans les articles précédents, les concepts généraux de « fabrication additive » [1] (« Additive Manufacturing », AM), plus communément et injustement appelée « impression...
Biomatériaux

Article réservé à nos abonnés L’ostéointégration

L’implantologie endo-osseuse est devenue extrêmement commune en chirurgie dentaire pour servir de support à des restaurations fixes ou amovibles. Les...
Biomatériaux

Article réservé à nos abonnés Les systèmes adhésifs MR3 (Mordançage-Rinçage en 3 temps)

Matériel Seringue de gel d’acide orthophosphorique à 37 %Flacon de primer Flacon d’adhésif 2 microbrossesLampe à photopolymériser (> 600 mW/cm2)
Biomatériaux

Article réservé à nos abonnés Les systèmes adhésifs MR2 (Mordançage-Rinçage en 2 temps)

Matériel Seringue de gel d’acide orthophosphorique à 37 %Flacon (primer + adhésif)1 microbrosseChlorhexidine à 0,2 % et godetLampe à photopolymériser (> 600...