Formation

Implantologie

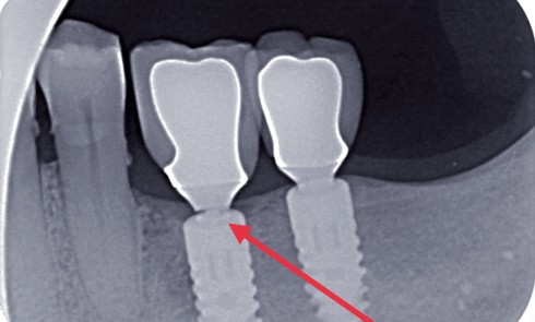
Article réservé à nos abonnés Que sait-on aujourd’hui des conséquences tissulaires du contact mini-vis/dent ?

Pour répondre à la question de la mise en place d’un implant au contact de tissus dentaires, voyons ce que...
Médecine

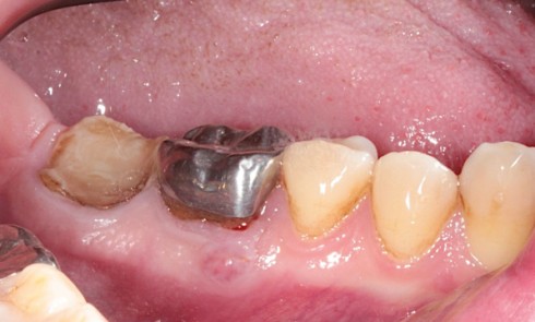
Article réservé à nos abonnés A propos d’une lésion jugale bilatérale persistante

On ne retrouve pas de lésions cutanées faciales. L’examen endobuccal (fig. 1a et b) révèle des plaques jugales bilatérales d’aspect...

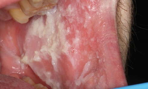
Article réservé à nos abonnés Lésions rouges : elles ne sont pas toujours bénignes !

Motif de la consultation. Patient de 55 ans venu consulter pour une gêne oropharyngée isolée. Histoire de la maladie. Persistance...

Article réservé à nos abonnés Rôle des solvants dans les systèmes adhésifs amélo-dentinaires

Structure et composition de la dentine : un challenge pour l’adhésion La dentine est composée (en poids) :– d’une phase minérale à...

Article réservé à nos abonnés Le point sur la communication des cellules du tissu osseux

L’ingénierie tissulaire L’ingénierie tissulaire se définit comme « l’ensemble des méthodes et des techniques s’inspirant de l’ingénierie et des sciences de...
Endodontie

Article réservé à nos abonnés Optimiser l’irrigation en endodontie au cabinet

La désinfection intra-canalaire au cours du traitement endodontique est essentiellement assurée par l’irrigation. La complexité anatomique du système canalaire limite...
Médecine

Article réservé à nos abonnés Conséquences des antibiotiques sur le microbiote intestinal

Le microbiote est le nouveau venu de la physiologie humaine. Il est présent dans de nombreux tissus et organes (peau,...
Médecine

Article réservé à nos abonnés Mémento antibiotiques

La notion de patient à risque d’infection est essentielle à considérer avant de prescrire un antibiotique. Trois catégories de patients...
Endodontie

Article réservé à nos abonnés Pronostic des retraitements endodontiques (orthogrades ou rétrogrades) versus implants

Les thérapeutiques endodontiques et implantaires ont un objectif commun : permettre une restauration fonctionnelle et esthétique ayant la pérennité la...
Endodontie

Article réservé à nos abonnés La réintervention endodontique chirurgicale

Le développement des nouvelles technologies endodontiques (limes NiTi rotation continue ou réciprocité…) et des aides visuelles dans nos cabinets permet...
Endodontie

Article réservé à nos abonnés Retraitement endodontique : révision ou correction du traitement précédent

Le traitement endodontique est une procédure qui donne des résultats prédictibles pour prévenir l’apparition, ou traiter les pathologies périradiculaires inflammatoires...
Endodontie

Article réservé à nos abonnés Eliminer les matériels et matériaux, renégocier

Le retraitement endodontique implique une évaluation préopératoire rigoureuse afin de comprendre les causes de l’échec du traitement initial et de...
Endodontie

Article réservé à nos abonnés La dépose des éléments prothétiques coronaires et intra-canalaires

Tout élément prothétique a une durée de vie limitée, et ce, malgré tous les moyens mis en œuvre lors de...
Endodontie

Article réservé à nos abonnés Choix de la stratégie de réintervention une approche philosophique

D’un praticien à l’autre, les options de réintervention face à une lésion apicale d’origine endodontique peuvent beaucoup varier. Quel que...
Endodontie

Article réservé à nos abonnés S’abstenir ou (ré)intervenir ? Quels critères décisionnels ? Apport de l’imagerie 3D

L’objectif du traitement endodontique est de prévenir l’apparition d’une parodontite apicale ou de la traiter si la lésion est déjà...
Endodontie

Article réservé à nos abonnés Comprendre et prévenir les échecs endodontiques d’origine bactérienne

La réintervention endodontique est un acte nécessaire suite à l’échec d’un traitement endodontique initial. Cet échec est principalement la conséquence...