Formation

Parodontologie

Article réservé à nos abonnés La prévention des péri-implantites

Depuis peu, l’analyse des résultats à long terme montre qu’une perte osseuse progressant en direction apicale autour des implants en...
ODF

Article réservé à nos abonnés Déminéralisations amélaires. Facteurs de risque et prévention

La formation des lésions opaques blanches sur la face vestibulaire des dents appareillées pendant et après un traitement orthodontique multi-...
Prothèse

Article réservé à nos abonnés Paramètres essentiels pour la réalisation d’une prothèse céramo-céramique sur zircone

Cet article se propose de faire un “tour d’horizon” des principaux paramètres à prendre en compte lors du choix d’un...
Prothèse

Article réservé à nos abonnés Aborder le maintien des tissus péri-implantaires par la voie de la biologie

Les paramètres permettant le maintien de manière précise et reproductible des tissus péri-implantaires sur le long terme ne sont pas...
Prothèse

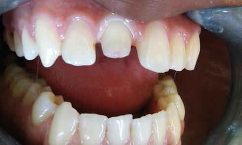
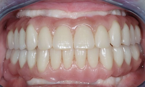
Article réservé à nos abonnés Prothèse amovible complète maxillaire opposée à une prothèse mandibulaire stabilisée sur barre

Dans cette publication, nous décrivons le cas d’un échec clinique prothético-implantaire, traité secondairement par une prothèse complète maxillaire et une...
Prothèse

Article réservé à nos abonnés Rebasages directs en prothèse amovible : indications, matériaux utilisés et mise en œuvre

Le succès en prothèse amovible nécessite un équilibre parfait entre l’adaptation fonctionnelle de la prothèse, le confort du patient et...
Prothèse

Article réservé à nos abonnés Les reconstitutions corono-radiculaires esthétiques par tenons en fibres de verre : quand ? Pourquoi ? Et comment ?

Qu’elle soit thérapeutique (résection tissulaire …) ou pathologique (carie, traumatisme…), la fragilisation des tissus dentaires peut s’avérer, dans certaines situations,...
Prothèse

Article réservé à nos abonnés Intérêts de l’utilisation des piliers coniques dans la conception des bridges supra-implantaires « sur pilotis »

Les bridges supra-implantaires « sur pilotis » sont des thérapeutiques fréquentes qui permettent de réhabiliter de manière fonctionnelle, fiable, durable et esthétique...
Prothèse

Article réservé à nos abonnés Réhabilitation complexe bimaxillaire utilisant un nouveau polymère : le “Pekkton”

Cette présentation a pour principal objectif l’utilisation d’un procédé faisant appel à un matériau nouvellement utilisé en prothèse dentaire. Nous...
Biomatériaux

Article réservé à nos abonnés MISE A JOUR – La pulpotomie sur dent temporaire

Vous êtes sur la page où seront rassemblées les mises à jour de cet article publié le 31 mars 2017

Article réservé à nos abonnés MISE A JOUR – Les composites en monocouche ou bulk-fill

Vous êtes sur la page où seront rassemblées les mises à jour de cet article publié le 31 mars 2017

Article réservé à nos abonnés MISE A JOUR – Les CVI à haute viscosité

Vous êtes sur la page où seront rassemblées les mises à jour de cet article publié le 31 mars 2017

Article réservé à nos abonnés MISE A JOUR – Réalisation d’un guide chirurgical implantaire au cabinet par impression 3D

Vous êtes sur la page où seront rassemblées les mises à jour de cet article publié le 31 mars 2017

Article réservé à nos abonnés MISE A JOUR – Etat de surface et rugosité des pièces prothétiques

Vous êtes sur la page où seront rassemblées les mises à jour de cet article publié le 31 mars 2017

Article réservé à nos abonnés MISE A JOUR – Les matériaux polymères

Vous êtes sur la page où seront rassemblées les mises à jour de cet article publié le 31 mars 2017

Article réservé à nos abonnés MISE A JOUR – Lésions cervicales non carieuses

Vous êtes sur la page où seront rassemblées les mises à jour de cet article publié le 31 mars 2017