Formation

Article réservé à nos abonnés L’empreinte optique

Qu’est-ce que l’empreinte optique ? L’empreinte optique est l’enregistrement des volumes bucco-dentaires à l’aide d’un système optique (caméra 3D)(fig. 1) permettant d’obtenir une...

Article réservé à nos abonnés Endodontie

Endodontie Je félicite Stéphane Simon d’avoir pris l’initiative de coordonner ce dossier de L’Information Dentaire sur l’Endodontie avec la volonté...
Implantologie

Article réservé à nos abonnés Protocole de mise en charge en 36 heures chez l’édenté total

De nos jours il est presque inconcevable de proposer un traitement implantaire au patient en voie d’édentement au maxillaire sans...
Pharmacologie

Article réservé à nos abonnés Mémento antibiotiques

DéfinitionL’antibiothérapie prophylactique, ou antibioprophylaxie, est définie par l’Agence Nationale de Sécurité du Médicament et des produits de santé (ANSM) comme...
Odontologie restauratrice

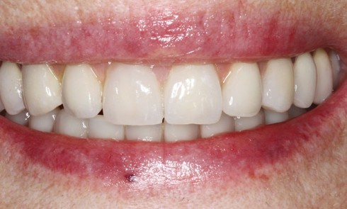
Article réservé à nos abonnés La préparation contrôlée des restaurations esthétiques en céramique collée : couronnes et overlays

Question 1Une épaisseur de 1 mm est recommandée pour réaliser une couronne céramo-céramique Vrai/Faux Question 2 Une fraise à congé conventionnelle...
Odontologie restauratrice

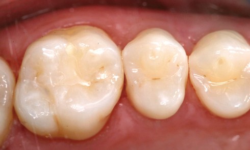
Article réservé à nos abonnés Utilisation des composites fluides pour les microcavités

S’il est admis aujourd’hui que les résines composite représentent les matériaux les plus actuels pour remplacer les tissus perdus dans...

Article réservé à nos abonnés Éclairer le consentement

Éclairer le consentement S’il est une notion commune à notre exercice à tous, qui ne doive pas être envisagée comme...

Article réservé à nos abonnés Mon parcours ADF

Mathilde Jacquemont Interne DESMBDFaculté de Bordeaux 1. Je parfais mon approche de la CFAO dans la gestion des tissus péri-implantaire...
Biomatériaux

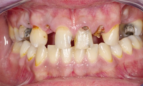
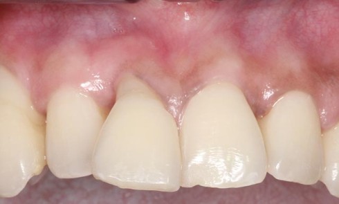
Article réservé à nos abonnés Indications et suivis de cas cliniques avec un substitut osseux synthétique

Suivi du cas clinique L’article publié en 2010 illustrait la gestion de l’extraction d’une 14 fistulisée avec préservation de la...

Article réservé à nos abonnés Scellements préventifs et thérapeutiques

Les scellements préventifs et thérapeutiques font partie de l’éventail des procédures cliniques appliquées à l’intervention minimale qui est le concept...

Article réservé à nos abonnés Dépistage des cancers buccaux

Les cancers des voies aérodigestives supérieures (VADS) comprennent d’une part les cancers de la lèvre, de la bouche et du...

Article réservé à nos abonnés Dépistage du Syndrome d’Apnées Obstructives du Sommeil (SAOS) par l’Odontologiste

Ronflements et apnées du sommeil sont largement sous-estimés en France alors qu’il est établi qu’ils peuvent être à l’origine de...

Article réservé à nos abonnés Dépistage des Dysfonctionnements de l’Appareil Manducateur et leurs facteurs de risque

Les Dysfonctionnements de l’Appareil Manducateur (DAM), aussi appelés Algies et Dysfonctionne-ments de l’Appareil Manducateur (ADAM) ou Dysfonctionnements Temporo-Mandibulaires (DTM), regroupent...

Article réservé à nos abonnés Diagnostic des anomalies bucco-dentaires associées aux maladies rares

Les maladies rares, définies par une prévalence inférieure à 1/2000, sont au nombre de 9 000 et pour la grande majorité...

Article réservé à nos abonnés Dépistage des usages chroniques de substances psychoactives illicites

L’addiction est une maladie complexe, d’un organe complexe, le cerveau, chez un mammifère complexe, dans une société complexe en évolution,...

Article réservé à nos abonnés Dépister une maladie parodontale : comment être le plus efficace ?

Les maladies parodontales sont des maladies inflammatoires d’origine infectieuse et multifactorielle. Une étude épidémiologique publiée en 2007 (1) a montré...