Formation

Article réservé à nos abonnés Dépister une maladie parodontale : comment être le plus efficace ?

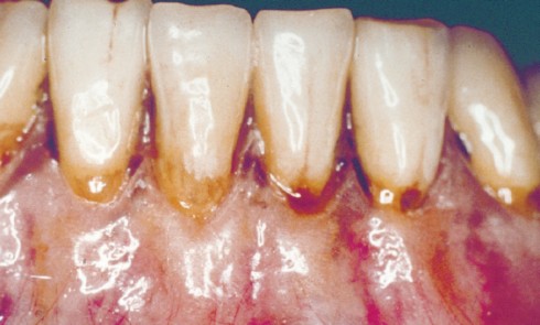
Les maladies parodontales sont des maladies inflammatoires d’origine infectieuse et multifactorielle. Une étude épidémiologique publiée en 2007 (1) a montré...

Article réservé à nos abonnés Dépistage des foyers infectieux bucco-dentaires

La cavité buccale est un milieu particulièrement septique. Elle est le siège de multiples infections aiguës ou chroniques dentaires et/ou...

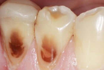
Article réservé à nos abonnés Dépistage des lésions des tissus durs : les formes cliniques les plus fréquemment rencontrées en omnipratique

Dépister les lésions des tissus durs fait partie de la prévention dentaire secondaire. La prévention secondaire consiste à réduire la...

Article réservé à nos abonnés Les lasers en médecine bucco-dentaire

Présentation Les premiers lasers CO2 apparaissent au début des années 1980 en odontologie. Technologie pourtant très innovante à cette époque,...

Article réservé à nos abonnés La sélection du comité scientifique

Biologie-Recherche Sophie Jung Les anomalies dentaires peuvent affecter le nombre, la taille, la forme, la structure ou l’éruption des dents....
Prothèse

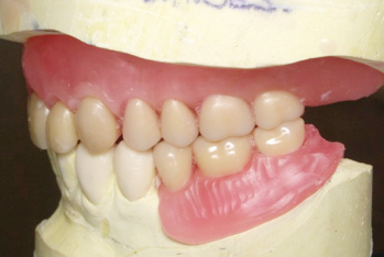
Article réservé à nos abonnés Personnalisation du montage esthétique en prothèse complète

La notion d’esthétique en prothèse complète a suscité de nombreux travaux et publications depuis plus d’un siècle, témoignant de l’intérêt...
Prothèse

Article réservé à nos abonnés Prothèse complète numérique versus conventionnelle : à propos d’un cas clinique

En raison de l’augmentation de l’espérance de vie, le nombre de patients édentés continue d’augmenter malgré les progrès de prévention...
Prothèse

Article réservé à nos abonnés Cas complexes en prothèse amovible complète : quelques solutions thérapeutiques

En préambule, une question se pose : qu’est-ce qu’un cas complexe en prothèse amovible, dans la mesure où, par essence, il...
Prothèse

Article réservé à nos abonnés La prothèse complète immédiate : données actuelles

Le passage à l’édentation totale demeure un sujet d’actualité malgré les progrès de la prévention. En effet, si la prévalence...
Prothèse

Article réservé à nos abonnés Prothèse amovible complète unimaxillaire : un traitement souvent complexe

Sans conteste, il s’agit du traitement prothétique le plus compliqué à résoudre pour le praticien.En effet, il convient de gérer...
Prothèse

Article réservé à nos abonnés Prothèses amovibles complètes : maquillages et caractérisations

L’étape du choix des dents est trop souvent estompée dans les cabinets dentaires et le patient n’y est pas suffisamment...

Article réservé à nos abonnés Erythème médio-palatin : ce n’est pas toujours une candidose !

Motif de la consultation. Patient de 69 ans venu consulter sur les conseils de son chirurgien-dentiste traitant. Histoire de la...
Odontologie restauratrice

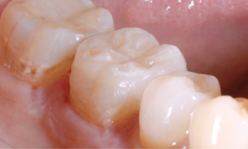
Article réservé à nos abonnés L’overlay : le successeur de la couronne périphérique

La dépulpation préventive dans le but d’éviter les sensibilités postopératoires, autrefois enseignée et pratiquée couramment, est aujourd’hui assimilable à une...
Médecine

Article réservé à nos abonnés Mémento antibiotiques

Les antibiothérapies Les règles de bon usage des médicaments antibiotiques en odontologie (médecine bucco-dentaire et chirurgie orale) sont édictées par...
Biomatériaux

Article réservé à nos abonnés Pouvoir d’adhésion intrinsèque des matériaux composites

Sur l’émail Les composites possèdent-ils des propriétés d’adhésion intrinsèque sur l’émail ? Le composite polymérisé sur l’émail propre et sec, sans...
Biomatériaux

Article réservé à nos abonnés And when bond a fiber reinforced post1 is a mandatory2 procedure? (Part 1)

So, is it still possible to have a biomimetic rationale using posts, when they are unvoidable3 ?The answer is YES… whenever...