Formation

ODF

Article réservé à nos abonnés La demande orthodontique du patient adulte

L’évolution de la société (demande esthétique et besoin de rajeunissement des patients, prise de conscience de la complémentarité prothèse, parodontie...

Article réservé à nos abonnés La première installation…

Le grand saut… Ce n’est pas tous les jours que l’on installe son cabinet dentaire. De plus, l’investissement tant financier...
Prothèse

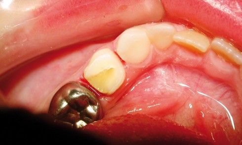
Article réservé à nos abonnés Empreinte optique et empreinte classique : un exemple de complémentarité

Une patiente, âgée de 71 ans, présente des délabrements coronaires au niveau des secteurs antérieurs maxillaire et mandibulaire dans un...
Hygiène et Asepsie

Article réservé à nos abonnés Place du laveur-désinfecteur dans la chaîne d’hygiène en médecine bucco-dentaire

Les dispositifs médicaux (DM) doivent subir une prédésinfection dès la fin de leur utilisation par un trempage au plus près...
Prothèse

Article réservé à nos abonnés « No-Post, No-Crown ». Formes de préparation contemporaines pour les restaurations adhésives

Depuis deux décennies, le concept d’adhésion a considérablement bouleversé la pratique de l’art dentaire et le mode de pensée du...
Pathologie

Article réservé à nos abonnés A propos d’une nécrose osseuse postextractionnelle

1. Quel(s) diagnostic(s) évoquez-vous ?a. Alvéolite suppurée postextractionnelle b. Ostéoradionécrose des maxillaires (ORN)c. Ostéosarcomed. Ostéonécrose des maxillaires (ONM) 2. Quelle(s) étiologie(s)...
Chirurgie orale

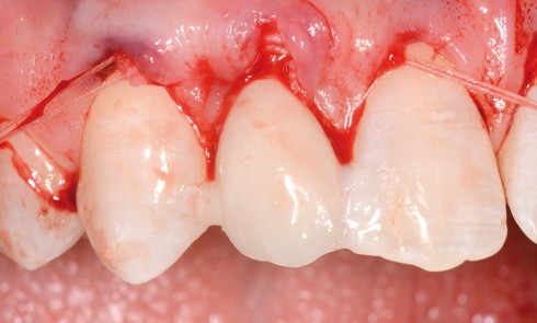
Article réservé à nos abonnés Greffe conjonctive enfouie tunnelisée

Le matériel 1 Préparation du site receveur 2 Lit receveur et prélèvementÉvaluation préopératoire de la muqueuse palatine, choix des zones...

Article réservé à nos abonnés Occlusion : rôle de l’assistante dentaire

On peut définir l’occlusion comme étant la façon dont les dents s’engrènent lorsque l’on ferme la bouche (fig. 1), ce qui...
Odontologie pédiatrique

Article réservé à nos abonnés La coiffe pédodontique préformée sur dent temporaire

Les coiffes pédodontiques préformées (CPP) sont introduites en odontologie pédiatrique en 1950 par Humphrey. Ce sont des couronnes métalliques, en...
Parodontologie

Article réservé à nos abonnés La prévention en parodontie

Les maladies parodontales sont très répandues et intéressent tous les âges. En France, plus de 80 % des adultes entre 35...

Article réservé à nos abonnés Fichier excel et gestion des stocks

De quoi s’agit–il ?Outil informatique de gestion des stocks : tableur Excel proposé par Stéphanie K, assistante dentaire qualifiée et...
Parodontologie

Article réservé à nos abonnés Spécial Parodontologie & Dentisterie implantaire

Une introduction à un numéro spécial est toujours un exercice de style auquel s’adonnent les auteurs avec délectation. Les raisons...
Médecine

Article réservé à nos abonnés ANTIBIOTIQUES : le bon usage

 Qu’est-ce qu’un antibiotique ?Au sens strict, les antibiotiques sont des agents antibactériens d’origine biologique élaborés par des champignons et diverses bactéries....
Chirurgie orale

Article réservé à nos abonnés Fraise chirurgicale

Question 1. Les fraises chirurgicales sont-elles à peu près toutes identiques et ont-elles les mêmes fonctions ? Question 2. Ces fraises...
Parodontologie

Article réservé à nos abonnés Le rôle de l’inflammation

Dans les deux derniers articles présentés dans ces pages (lire id du 25/2/2015 et du 2/3/2016), nous avons démontré que...