Formation

Article réservé à nos abonnés Un « bouton » sur la langue

Motif de la consultation. Patient de 75 ans, venu consulter pour une lésion persistante du bord latéral gauche de la...
Parodontologie

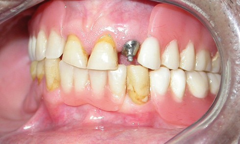
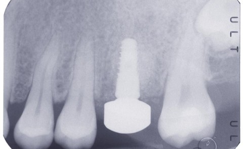
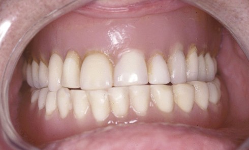
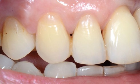
Article réservé à nos abonnés L’injection d’un gel d’acide hyaluronique pour repulper les papilles interdentaires ?

Les papilles gingivales, extensions de la gencive libre marginale sous le point de contact, occupent une place prépondérante dans l’esthétique...

Article réservé à nos abonnés BIEN-ÊTRE

Bien naître… Tout le monde ne peut pas bien naître, mais il nous appartient de faire tout pour être bien....
Endodontie

Article réservé à nos abonnés Le retraitement endodontique et l’instrumentation Ni-Ti rotative

Question 1 En présence d’un instrument fracturé dans le tiers moyen d’un canal : a. L’instrument brisé peut être contourné (by-passé)...
Implantologie

Article réservé à nos abonnés Simplification des protocoles en implantologie

La solution repose sur l’étude de l’anatomie et l’utilisation simultanée de la chaîne numérique, permettant ainsi de donner naissance à...

Article réservé à nos abonnés Regards vers le futur

A présent, parlons du futur… Il n’y a plus de saison. Voilà une expression que nous entendons souvent en ces...

Article réservé à nos abonnés Implications dentaires des missions spatiales habitées de longue durée

En soixante ans, l’espace est devenu l’un des rouages majeurs de notre civilisation, car il constitue le principal moyen global...
Prothèse

Article réservé à nos abonnés Refaire ou réadapter une prothèse

En 2007, parodiant Shakespeare, RL Ettinger écrivait « Treat or not treat that is the question”.En effet, lorsqu’un patient se présente...
Prothèse

Article réservé à nos abonnés La prothèse amovible partielle supra-radiculaire avec attachement axial : aspects théoriques et pratiques

L’évolution des connaissances en biologie, physiologie, biomécanique et biomatériaux ont permis à l’odontologie et plus précisément à la prothèse d’offrir...
Prothèse

Article réservé à nos abonnés PEEK vs Cr-Co : comparaison de deux types de châssis de prothèse amovible partielle

La prothèse amovible partielle fait l’objet depuis quelques années de recherches sur l’utilisation de nouveaux matériaux. Les données acquises sur...
Prothèse

Article réservé à nos abonnés Intérêt de la précision dans la détermination et dans l’enregistrement du rapport mandibulo-maxillaire chez l’édenté total

Les rapports spatiaux qui peuvent s’établir entre la mandibule et le maxillaire sont, par définition, « multiples et variés »...
Prothèse

Article réservé à nos abonnés Prothèse amovible complète supra implantaire mandibulaire et difficultés tissulaires

La prothèse amovible complète bimaxillaire muco-portée est la thérapeutique de réhabilita-tion prothétique la plus utilisée à ce jour chez les...
Prothèse

Article réservé à nos abonnés La prothèse composite dans la gestion esthétique et biomécanique d’un édentement unilatéral de grande étendue

La réhabilitation des édentements terminaux unilatéraux de grande étendue par prothèse amovible partielle métallique (PAPIM) conventionnelle pose plusieurs problèmes essentiellement...
Prothèse

Article réservé à nos abonnés Intérêt du bridge monolithique « full zircone » en CFAO semi-directe

Le remplacement d’une dent postérieure par des implants n’est pas toujours possible ni souhaitable en raison par exemple des contre-indications...
Prothèse

Article réservé à nos abonnés La dénutrition lors des réhabilitations dentaires prothétiques chez les patients âgés

La dénutrition protéino-énergétique est fréquente et grave chez les personnes âgées. Les individus qui ont encore des dents (naturelles, bridges...
Implantologie

Article réservé à nos abonnés Options thérapeutiques pour la mandibule édentée

Nous assistons actuellement à un accroissement du nombre de patients édentés du fait du vieillissement de la population et de...