Formation

Parodontologie

Article réservé à nos abonnés CAS CLINIQUE n° 6

Présentation du cas clinique Un patient âgé de 43 ans, fumeur, sans antécédent médical, est adressé par son dentiste pour...
Parodontologie

Article réservé à nos abonnés CAS CLINIQUE n° 5

Présentation du cas clinique Une patiente âgée de 78 ans consulte pour une blessure qui ne cicatrise pas dans le...
Parodontologie

Article réservé à nos abonnés CAS CLINIQUE n° 4

Présentation du cas clinique Un patient âgé de 55 ans, traité par chimiothérapie (Rituximab – Idelalisib – 3e cure) pour...
Parodontologie

Article réservé à nos abonnés CAS CLINIQUE n° 3

Présentation du cas clinique Un patient âgé de 56 ans, n’ayant jamais fumé, consulte en urgence pour une douleur gingivale...
Parodontologie

Article réservé à nos abonnés CAS CLINIQUE n° 2

Présentation du cas clinique Une jeune fille âgée de 10 ans se présente à la consultation d’odontologie pédiatrique, accompagnée de...
Parodontologie

Article réservé à nos abonnés CAS CLINIQUE n° 1

Présentation du cas clinique Un patient de 12 ans sans antécédent médical, a consulté pour des aphtes depuis 3 ans....
ODF

Article réservé à nos abonnés Temporisation des projets implantaires ou prothétiques : la solution T.O.B.B.I.

Comme nous venons de le lire dans ce numéro (Agénésies des incisives latérales : revoyons nos pratiques), nous sommes confrontés à...
Parodontologie

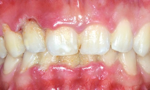
Article réservé à nos abonnés Ulcérations buccales et maladies générales

On peut observer des ulcérations buccales lors de nombreuses maladies systémiques. Lorsqu’elles surviennent avec les autres manifestations, le diagnostic est...
ODF

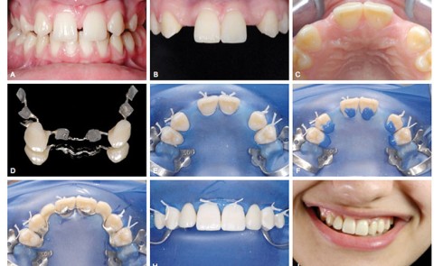
Article réservé à nos abonnés Agénésie des incisives latérales maxillaires : traitement par ouverture des espaces

Le cas présenté ici a été traité en orthodontie linguale. Il montre la nécessité d’interventions pluridisciplinaires préméditées afin d’obtenir un...
Parodontologie

Article réservé à nos abonnés Les maladies parodontales ulcéronécrotiques

Les maladies parodontales ulcéronécrotiques sont des entités cliniques dont l’ulcération par nécrose de la gencive est le principal signe pathognomonique....
ODF

Article réservé à nos abonnés Agénésies d’incisives latérales : comprendre et améliorer la prise de décision clinique

Le traitement d’un patient présentant une agénésie d’incisives latérales peut être vu, comme tout traitement médical, comme la succession d’une...
Parodontologie

Article réservé à nos abonnés Ulcérations orales d’origine traumatique et iatrogène

Après l’aphte, les ulcérations les plus fréquentes sont de causes traumatiques ou iatrogènes. Elles sont à rechercher au cours de...
Parodontologie

Article réservé à nos abonnés Carcinome épidermoïde et ulcérations buccales

Une tumeur maligne correspond à une prolifération cellulaire non contrôlée et anarchique dont l’expansion rapide est associée à une destruction...
ODF

Article réservé à nos abonnés Agénésies des incisives latérales : revoyons nos pratiques

Historique Différentes solutions thérapeutiques ont été utilisées au cours du temps pour compenser les édentements consécutifs aux agénésies d’incisives latérales....
Parodontologie

Article réservé à nos abonnés Aphtes et aphtoses bucco-pharyngés

DÉFINITIONLes aphtes sont des ulcérations de la muqueuse buccale spécifiques, secondaires à une vasculite leucocytoclasique. Les aphtes buccaux sont sporadiques...
ODF

Article réservé à nos abonnés Agénésie d’incisives latérales maxillaires

Face à une agénésie d’incisive latérale la décision est difficile entre les diverses possibilités thérapeutiques envisageables. Chaque cas est unique...