Formation

ODF

Article réservé à nos abonnés Agénésie d’incisives latérales maxillaires

Face à une agénésie d’incisive latérale la décision est difficile entre les diverses possibilités thérapeutiques envisageables. Chaque cas est unique...
Parodontologie

Article réservé à nos abonnés Ulcérations buccales : l’arbre décisionnel

Une ulcération définit une perte profonde de muqueuse. Ce type de lésion présente un fond situé en dessous des plans...
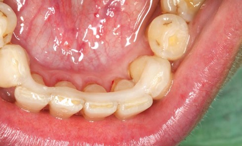
ODF

Article réservé à nos abonnés Traitement de l’agénésie de l’incisive latérale maxillaire

Fermer ou ne pas fermer ? Telle est la question qui passionne les orthodontistes depuis plusieurs décennies. En 2016, avec les...
Esthétique

Article réservé à nos abonnés Traitement focal de l’hypominéralisation traumatique de l’émail

Principe de l’érosion infiltrationIl consiste à atteindre le corps de la lésion par une première phase d’érosion à l’aide d’acide...
Prothèse

Article réservé à nos abonnés Préparation pour coiffes céramo-métalliques et céramo-céramiques

QuestionsQuestion 1 L’emploi d’une fraise à congé de type quart d’ovale (fig. 1) permet la réalisation de préparations optimale pour toutes...
Occlusodontologie

Article réservé à nos abonnés Technique de contention utilisant un renfort fibré

Actuellement, la mise en place d’une attelle répond à plusieurs indications [2]. Cela peut être la stabilisation de dents présentant...

Article réservé à nos abonnés Ulcérations nécrotiques de la langue

Motif de la consultation. Patiente âgée de 76 ans, envoyée pour un avis spécialisé devant la persistance de 2 ulcérations...

Article réservé à nos abonnés Spécial TENDANCES

Prendre l’air Comme le printemps est plutôt passé inaperçu, l’été est attendu avec impatience ! Mais pour certains, la période estivale...
Occlusodontologie

Article réservé à nos abonnés Cas de bruxisme

1 Valentin, 65 ans Motifs de consultationAlgie ancienne de l’ATM gauche, sensation d’ouverture limitée et déviée à droite. Examen clinique...
Médecine

Article réservé à nos abonnés A propos d’un œdème facial d’apparition brutale

Une jeune femme âgée de 16 ans, sans antécédents médico-chirurgicaux ni traitement en cours, consulte en urgence à l’Hôpital Max...

Article réservé à nos abonnés Les matériaux « esthétiques » du cabinet dentaire

Rappels d’esthétiqueLa définition colorimétrique d’une dent est un prérequis indispensable à sa restauration avec un matériau esthétique (Tableau 1). Cette prise...

Article réservé à nos abonnés Maquillage d’une pièce prothétique

Il est plus que probable, pour les assistantes travaillant dans un cabinet dentaire bénéficiant de la technologie CFAO, que ce...

Article réservé à nos abonnés Dialoguer avec le cabinet de radiologie

Le praticien adresse un patient à un radiologue : quels sont les types d’examens radiologiques concernés ? Comment expliquer au patient l’intérêt...

Article réservé à nos abonnés Modèle-type de prescription

Patient adressé pour une intervention de chirurgie orale CBCT

Article réservé à nos abonnés Fiches T et tableau des commandes

1. Fiche T. La couleur de la fiche indique le fournisseur habituel.Le nom du produit est mentionné (ici ClONa plus) :...
Prothèse

Article réservé à nos abonnés Réhabilitation prothétique d’une patiente atteinte de dystonie primaire congénitale généralisée

La dystonie est un trouble neurologique du mouvement caractérisé par des contractions musculaires soutenues ou intermittentes, rendant les postures et...