Formation

Prothèse

Article réservé à nos abonnés Les reconstitutions corono-radiculaires en 2016

Les possibilités des techniques de collage doivent nous faire passer de concepts biomécaniques à des concepts adhésifs. Le concept suggéré...
Implantologie

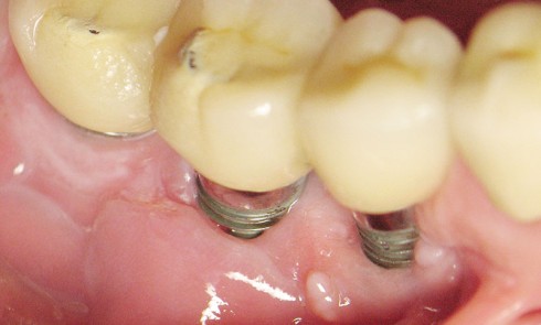
Article réservé à nos abonnés La cicatrisation péri-implantaire : de l’ostéointégration à la ré-ostéointégration ?

L’utilisation des implants pour remplacer les dents absentes est une méthode de référence, avec un bon résultat à long terme,...

Article réservé à nos abonnés La cicatrisation osseuse en chirurgie orale

La plupart des actes de chirurgie orale concernent directement ou indirectement le tissu osseux. Ainsi, il est nécessaire de comprendre...

Article réservé à nos abonnés La cicatrisation de la lésion apicale d’origine endodontique

La lésion apicale ou lésion inflammatoire péri-radiculaire d’origine endodontique (LIPOE) est une des affections les plus courantes de la planète.L’étude...

Article réservé à nos abonnés La cicatrisation pulpo-dentinaire : de la biologie à la clinique

Dans les ouvrages et publications cliniques et scientifiques, une confusion linguistique s’est installée depuis plusieurs années à propos des termes...

Article réservé à nos abonnés La cicatrisation : acteurs cellulaires et moléculaires

La cicatrisation regroupe l’ensemble des processus biologiques mis en œuvre pour permettre une reconstruction au moins partielle des tissus après...
Parodontologie

Article réservé à nos abonnés La chirurgie plastique parodontale en dentisterie esthétique

Présentation du cas Un patient de 28 ans se présente avec des lésions très importantes touchant aussi bien les secteurs...
Médecine

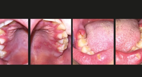
Article réservé à nos abonnés Des lésions buccales chez l’enfant

1. Quel est le diagnostic le plus probable ? a. Aphtose buccaleb. Candidose buccalec. Leucémie myéloïde aiguëd. Gingivo-stomatite herpétique 2. Le(s)quel(s)...
Odontologie pédiatrique

Article réservé à nos abonnés Approche de l’enfant et de l’adolescent en chirurgie buccale

Quel que soit l’âge, la chirurgie orale suscite encore trop souvent appréhension et angoisse. La prise en charge de la...

Article réservé à nos abonnés Lichen plan idiopathique ou réaction lichénoïde ?

Motif de la consultation : Patient de 65 ans venu consulter pour l’apparition d’une lésion douloureuse sur la joue gauche. Histoire...
CFAO

Article réservé à nos abonnés CFAO en prothèse amovible complète

La prévalence de l’édentement a diminué au cours des dernières années. Pourtant, le nombre de personnes totalement édentées âgées de...
Occlusodontologie

Article réservé à nos abonnés 2 cas de bruxisme

1 . Charles, 65 ans Motifs de consultationUsures des dents, prothèse. Examen cliniqueMuscles : muscles élévateurs denses.Dents : reconstruction globale...
Biomatériaux

Article réservé à nos abonnés La céramique pressée

Il existe de nombreuses méthodes de mise en forme de la céramique (pâte crue, pressée, usinage, impression 3D…) avec lesquelles...
Biomatériaux

Article réservé à nos abonnés Les secrets de l’isolation

Les feuilles de digue Elles peuvent être avec ou sans latex. Actuellement, les feuilles à base de latex, de préférence...
Biomatériaux

Article réservé à nos abonnés Qu’est-ce qu’un dispositif médical ?

Quelques définitionsLa réglementation applicable aux dispositifs médicaux est définie par la directive 90/385/CEE relative aux dispositifs médicaux implantables actifs et...
Biomatériaux

Article réservé à nos abonnés Les full Mock-up

Le recours aux techniques adhésives les plus récentes apporte aujourd’hui heureusement une réponse forte, innovante et réversible sans condamner davantage...