Formation

CFAO

Article réservé à nos abonnés CFAO : Nouvelles stratégies esthétiques assistées par ordinateur

La planification et la prévisibilité des résultats cliniques en réhabilitation esthétique représentent un véritable défi pour répondre aux besoins des...

Article réservé à nos abonnés Etats de surface et péri-implantite

Péri-implantite et surfaces rugueuses : polémique autour d’un problème de santé publique Dans les années 90, l’implantologie nous a été...
ODF

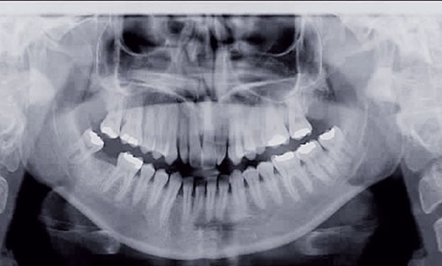
Article réservé à nos abonnés Utilisation thérapeutique du Motion Carriere

Nous sommes en présence d’une patiente adolescente âgée de 12 ans ½ dans une phase de croissance faciale favorable.Elle présente...
ODF

Article réservé à nos abonnés Utilisation thérapeutique du Motion Carriere

Nous sommes en présence d’une patiente en fin de croissance faciale, âgée de 16 ans. Elle présente une classe III...
ODF

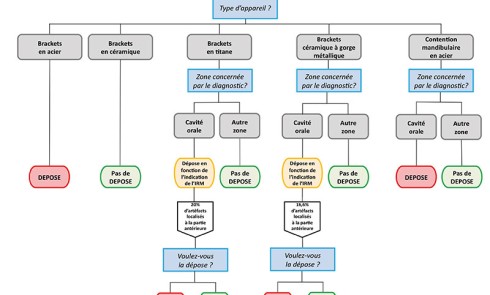
Article réservé à nos abonnés Quand faut-il déposer les appareils orthodontiques avant une IRM ?

Les appareils orthodontiques sont quelquefois déposés avant la réalisation d’un examen d’imagerie par résonance magnétique (IRM) de la sphère cervico-faciale...
ODF

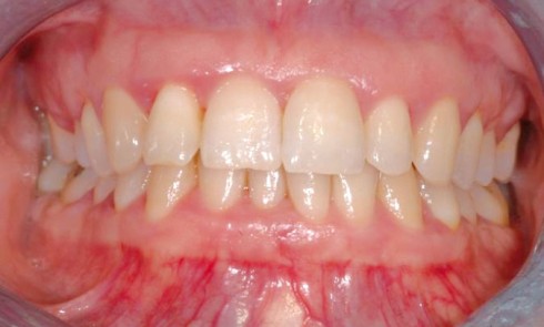
Article réservé à nos abonnés Traitement d’un cas de classe III

Cette patiente est venue consulter pour son occlusion inversée et ses importantes malpositions dentaires antérieures associées à la perte d’une...
Odontologie restauratrice

Article réservé à nos abonnés Finition et polissage des restaurations en résine composite

Question 1 : Les restaurations des lésions érosives répondent aux spécificités suivantes :a. Ce sont des restaurations souvent étendues au contour mal...
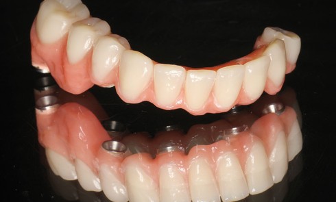
Implantologie

Article réservé à nos abonnés Gestion pragmatique de l’échec implantaire sans déroger à la solution implanto-portée

La pénétration de l’implantologie dentaire dans le tissu professionnel a atteint une phase de maturation. Nombreuses sont les formations offertes...
Endodontie

Article réservé à nos abonnés Le microscope opératoire en endodontie

L’utilisation du microscope opératoire en odontologie a été proposée en France dès la fin des années 1960 par les docteurs...
Chirurgie orale

Article réservé à nos abonnés Greffons osseux d’apposition allogéniques BioBank “modélisés” 3D

Les autogreffes représentent toujours le « gold standard » dans les techniques d’augmentation horizontale et/ou verticale de la crête alvéolaire. Elles sont,...
Hygiène et Asepsie

Article réservé à nos abonnés Les automates utilisés pour le traitement des porte-instruments dynamiques

Préalablement à leur passage dans l’automate de traitement, et dès la fin de leur utilisation, les PID doivent être purgés...
Parodontologie

Article réservé à nos abonnés Prévoir la progression des maladies parodontales

Les éléments du diagnostic parodontal que sont la profondeur de poche, le niveau d’attache, le saignement au sondage et l’examen...
CFAO

Article réservé à nos abonnés MISE A JOUR – Adhésion biomatériaux CFAO

Vous êtes sur la page où seront rassemblées les mises à jour de cet article publié le 31 mars 2016
Biomatériaux

Article réservé à nos abonnés MISE A JOUR – La céramique pressée

Vous êtes sur la page où seront rassemblées les mises à jour de cet article publié le 31 mars 2016
Biomatériaux

Article réservé à nos abonnés MISE A JOUR – Les ciments verres ionomères à haute viscosité

Vous êtes sur la page où seront rassemblées les mises à jour de cet article publié le 31 mars 2016
Biomatériaux

Article réservé à nos abonnés MISE A JOUR – Les full Mock-up

Vous êtes sur la page où seront rassemblées les mises à jour de cet article publié le 31 mars 2016